首个CEA CAR-T防复发试验数据炸裂,超57%患者两年未复发
首个CEA CAR-T治疗结直肠癌肝转移根治术后防复发试验数据炸裂,超57%患者两年未复发
约75%的结直肠癌肝转移患者,在根治术后两年内会因循环肿瘤细胞与微观残留病灶出现复发,这一困境长期困扰临床。嵌合抗原受体(CAR)T细胞疗法不仅在血液肿瘤中疗效明确,在复发性结直肠癌肝转移治疗中也颇具潜力;癌胚抗原(CEA)作为结直肠肿瘤高表达的糖蛋白,恰好是其理想靶向目标。
2025年ASCO大会公布了CEA CAR-T细胞治疗结直肠癌肝转移根治术后患者的I期临床试验(NCT05240950)数据。作为首个探索抗CEA CAR-T疗法延长此类患者无复发生存期的研究,其疗效令人振奋——57.14%的受试者在根治术后两年内未出现复发。
这一突破不仅为破解结直肠癌肝转移术后高复发的临床困局提供了全新方向,更给无数担忧术后复发的患者点亮了长久生存的希望,让肿瘤精准防控复发的愿景迈出了坚实且有力的一步!

▲截图源自“ASCO”
从防复发到缩病灶!CEA CAR-T双试验震撼:57.14%两年无复发+70%病情稳定
2025 ASCO大会报道的这项研究,共纳入48例结直肠癌肝转移患者,其中12例接受CAR-T细胞输注(1×10^6/kg与3×10^6/kg组各2例,6×10^6/kg组8例);输注前无复发的9例受试者,中位随访时间为23个月。
结果显示:在6×10^6/kg剂量组中,4例受试者输注后无复发生存期分别维持5、7、10、15个月;该剂量组57.14%的受试者在根治性切除术后两年内未复发。

▲数据源自“ASCO”,医学部整理汇总
综上,这项首个探索抗CEA CAR-T疗法延长此类患者无复发生存期的临床试验,结果显示未发生严重不良事件,且高剂量治疗可显著降低复发风险。
此外,我国还开展过另一项CEA CAR-T细胞疗法相关的I期临床试验(NCT02349724),旨在治疗CEA阳性结直肠癌(CRC)。
其数据同样振奋:在10例既往治疗已进展(PD)的患者中,7例治疗后病情稳定(SD),肿瘤直径仅呈轻微变化,其中两例患者的稳定状态持续超30周(7.5个月)。
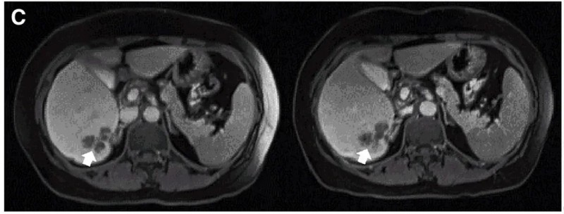
典型病例疗效尤为亮眼:P10患者接受DL4剂量治疗后,MRI证实肝内一处病灶缩小(详见下图)。
▼P10患者在CAR-T治疗前(左图)、治疗4周后(右图)的MRI对比

▲图源“Molecular Therapy”,版权归原作者所有,如无意中侵犯了知识产权,请联系我们删除
三大技术让CEA CAR-T,破解实体瘤治疗死结
癌胚抗原(CEA)是胃肠道癌症的高敏感性标志物,在结直肠癌(CRC)的组织及血清中广泛表达。值得注意的是,除胃肠道外,CEA仅在上皮细胞面向管腔的顶端膜面呈低水平表达,而这一区域难以被免疫细胞触及——这一特性使其成为CAR-T疗法的理想靶点。
该疗法的优先适用人群包括治疗失败、术后担忧复发及CEA指标异常的患者,适用癌种涵盖结直肠癌、非小细胞肺癌、乳腺癌、胃癌、胰腺癌等。针对实体瘤治疗难题,CEACAR-T疗法主要通过三大技术革新实现突破:
1、双平台突破微环境:PhiCAR®助力CAR-T细胞穿透肿瘤物理屏障,RESCAR®逆转免疫抑制信号,让“杀癌部队”顺利抵达病灶。
2、缺氧响应精准定位:针对肿瘤常处的低氧环境,该CAR-T细胞在此条件下活性更强,可精准锁定转移灶。
3、给药策略创新增效:腹腔直接注射使CAR-T细胞快速浸润肠癌腹膜转移灶,局部浓度达静脉输注的10倍,实现“火力集中打击”。

小编寄语
CEA CAR-T堪称实体瘤CAR-T研究领域的标杆。从临床数据来看,其安全性表现尤为亮眼:无论是在结直肠癌还是肺癌的临床研究中,均未出现3级以上细胞因子风暴或神经毒性;即便出现腹泻等常见副作用,经激素治疗后也能快速缓解。
目前,国内多家癌症中心正开展CEA CAR-T临床试验,晚期耐药、术后高危等患者均可提交病历评估入组资格。想寻求CAR-T、TCR-T、TIL等细胞疗法及其他国内外治疗新技术帮助的患者,可将治疗经历、影像学检查结果等,提交至医学部,进行初步评估。
参考资料
[1]Zhang W,et al.Safety and efficacy of anti-CEA CAR-T cells to prolong relapse-free survival of colorectal cancer liver metastases patients after radical resection[J]. 2025.
https://www.asco.org/abstracts-presentations/ABSTRACT491838
扫描进患者病友群
肺癌|胃癌|肝癌|结直肠癌|胰腺癌
乳腺癌|脑瘤|淋巴瘤|儿童肿瘤等
相关推荐
全球首例!肠道菌群三药联合助患者从疗效不
EGFR突变型患者在非小细胞肺癌中约占30%,在欧美患者中约占10%~20%,在亚洲患者中占比超过50%,是非小细胞肺癌的第二大致癌驱动因素。...
全球肿瘤医生网 2020-08-05
多线化疗失败也能救!NK细胞联合疗法打破
EGFR突变型患者在非小细胞肺癌中约占30%,在欧美患者中约占10%~20%,在亚洲患者中占比超过50%,是非小细胞肺癌的第二大致癌驱动因素。...
全球肿瘤医生网 2020-08-05
全球首个!Breyanzi CAR-T新
EGFR突变型患者在非小细胞肺癌中约占30%,在欧美患者中约占10%~20%,在亚洲患者中占比超过50%,是非小细胞肺癌的第二大致癌驱动因素。...
全球肿瘤医生网 2020-08-05
【会议通知】12月13日第一届重阳论坛:
EGFR突变型患者在非小细胞肺癌中约占30%,在欧美患者中约占10%~20%,在亚洲患者中占比超过50%,是非小细胞肺癌的第二大致癌驱动因素。...
全球肿瘤医生网 2020-08-05
CAR-GPC3 T细胞首次人体临床试验
EGFR突变型患者在非小细胞肺癌中约占30%,在欧美患者中约占10%~20%,在亚洲患者中占比超过50%,是非小细胞肺癌的第二大致癌驱动因素。...
全球肿瘤医生网 2020-08-05
《Nature》:个体化新抗原疫苗让六成
EGFR突变型患者在非小细胞肺癌中约占30%,在欧美患者中约占10%~20%,在亚洲患者中占比超过50%,是非小细胞肺癌的第二大致癌驱动因素。...
全球肿瘤医生网 2020-08-05




![[field:title/]](/uploads/allimg/20200224/1-2002241I5262J.jpg)
![[field:title/]](/uploads/allimg/20200224/1-2002241I3461D.jpg)
![[field:title/]](/uploads/allimg/20200224/1-2002241H94LK.jpg)
![[field:title/]](/uploads/allimg/20200224/1-2002241HKW34.jpg)
![[field:title/]](/uploads/allimg/20200224/1-2002241H619327.jpg)
![[field:title/]](/uploads/allimg/20200224/1-2002241H34H52.jpg)
![[field:title/]](/uploads/allimg/20200224/1-2002241H22IH.jpg)
![[field:title/]](/uploads/allimg/20200224/1-2002241G93O18.jpg)

