一场与"死神"的赛跑:CAR-T助肺癌脑转移者,从生存不足2月逆转至完全缓解,多癌种同步告捷
一场与“死神”的告别:CART细胞疗法帮生存不足两个月的患者逆转至完全缓解,多癌种同步告捷
2025年12月12日,《英国医疗保健》报道了一则振奋人心的病例:一名确诊为脑转移性小细胞肺癌的患者V女士,在接受CAR-T细胞疗法治疗满一年后,病情实现完全缓解——她胸部的肿瘤彻底消失,脑部的癌细胞也已坏死并逐步被清除。
值得一提的是,V女士,是美国首批接受CAR-T细胞疗法治疗脑转移性小细胞肺癌的患者之一。她的康复案例,直观印证了临床研究的重大价值:能让前沿创新疗法在大规模普及应用前数年,就为深陷困境的患者带去重生的生机。这不仅是CAR-T细胞疗法在实体瘤治疗领域的一次亮眼突破,更给无数晚期癌症患者和家属注入了强心针!

▲截图源自“uknow”
CAR-T治疗实体瘤的里程碑案例:助肺癌脑转移患者逆转命运,从2个月生存期到完全缓解
V女士是美国首批接受CAR-T疗法治疗脑转移性小细胞肺癌的患者之一,她的康复案例直观印证了临床研究的重要价值——能让前沿疗法在大规模普及前,就为绝境中的患者带去生机。而她的这场抗癌之战,并非一帆风顺。
2022年,52岁的V女士因持续声音嘶哑就医,检查结果令人震惊:胸腔内长有一个垒球大小的肿瘤,已压断她两根脊椎骨;进一步诊断确诊为小细胞肺癌伴脑转移。在化疗、放疗、免疫疗法等常规治疗手段相继失效后,医生告知她仅剩两个月的生存期。
然而天无绝人之路,彼时肿瘤内科专家郝忠林医学博士(ZhonglinHao,M.D,Ph.D)正主导一项创新性临床试验——将此前多用于血液癌症的CAR-T细胞疗法,拓展应用于小细胞肺癌治疗。该疗法的核心原理是:提取患者自身的T细胞进行基因改造,使其具备精准识别并攻击癌细胞的能力,再回输患者体内。这项试验,也是CAR-T疗法向肺癌领域探索的关键一步,毕竟该疗法当时尚未获批用于肺癌治疗。
▼嵌合抗原受体(CAR)的结构

▲截图源自“uknow”
但遗憾的是,V女士因服用背痛药物存在潜在副作用,不符合临床试验入组条件。为了帮她抓住这最后一线生机,郝医生向FDA申请紧急新药研究授权,让她得以在试验之外接受治疗——这类授权本就是为常规方案用尽、时间紧迫的危重患者量身定制。令人欣慰的是,申请最终获批,V女士于2024年9月9日顺利接受CAR-T治疗。整个输液过程仅90分钟,治疗后仅需住院一天监测潜在副作用。V女士回忆,以往每次放化疗后,她都需要很久才能恢复,而这次治疗后竟毫无不适感,久违地找回了身体正常的状态。
治疗满一年后,令人振奋的好消息传来:V女士的病情实现完全缓解(CR),胸腔内的肿瘤彻底消失,脑部的癌细胞也已坏死清除。如今的她,已经能够如常开车、购物,尽情陪伴儿孙共享天伦。她也希望用自己的经历鼓舞更多病友:“别像我当初那样恐惧,遇到愿意为你全力争取的医生,一定要选择相信。我坚信,这份生机也能惠及更多人”。
据悉,V女士的主治医生郝忠林博士正在撰写该病例报告,准备公开发表。他认为,这一病例充分展现了CAR-T疗法攻克脑转移实体瘤的巨大潜力,更坚定了科研人员探索创新疗法的决心,为那些治疗选择极其有限的癌症患者开辟新的希望之路。
▼V女士的主治医师获FDA紧急授权,为她实施 CAR-T 细胞疗法治疗

▲图源“uknow”,版权归原作者所有,如无意中侵犯了知识产权,请联系我们删除
CAR-T疗法精准狙击非小细胞肺癌,疾病控制率高达87%
其实,CAR-T疗法早已在肺癌治疗领域崭露头角。早在2025年ASCO大会上,就公布了一项关于CEA CAR-T细胞疗法治疗复发或难治性非小细胞肺癌的Ⅰ期临床试验振奋数据。

▲截图源自“ASCO”
该研究纳入18例经≥2线治疗后复发的成年转移性非小细胞肺癌患者,患者中位年龄60岁,既往接受治疗线数中位数达4线(范围2-10线)。其中15例患者接受了CEA CAR-T细胞静脉输注治疗,分别采用三种剂量水平(0.75×10⁶、1.5×10⁶和3×10⁶ CEA CAR-T细胞/kg),中位随访时间为5.7个月。
结果显示:7例患者达到部分缓解(PR),6例病情稳定(SD);最佳疾病控制率(DCR)达87%,客观缓解率(ORR)为47%。值得关注的是,肿瘤细胞中CEA染色强度≥30%且完整表达、无脑转移的患者,其无进展生存期(72.7%vs.25.0%,p=0.03)和总生存期(90.9%vs.0%,p=0.003)均显著优于其他患者。
综上,单次输注低氧反应性CEA CAR-T细胞,在复发/难治性非小细胞肺癌治疗中展现出良好疗效与可控安全性。这一发现也凸显了特定NK细胞状态及免疫相互作用,在CEA CAR-T疗法疗效发挥中的潜在价值。
▼不同剂量下的临床反应

除此之外,既往还报道过一则CAR-T疗法治疗肺癌的振奋案例:一名68岁男性非小细胞肺癌患者,治疗前右侧胸膜存在高摄取转移灶;在接受包含CAR-T细胞疗法的全身治疗后,PET/CT检查显示转移灶高摄取信号明显缩小,直接印证治疗有效。

▲图源“MDPI”,版权归原作者所有,如无意中侵犯了知识产权,请联系我们删除
两款创新CAR-T改写胶母治疗格局:国产通用型斩获80%缓解率,双靶点疗法1-2天缩小肿瘤
复发性高级别胶质母细胞瘤患者的中位生存期仅为6-8个月,且治疗选择极其有限。近年来,研究团队通过CRISPR-Cas9技术编辑,破坏内源性T细胞受体以预防移植物抗宿主病,并敲除HLAI类分子减轻宿主抗移植物反应,成功构建出通用型同种异体IL-13Rα2特异性CAR-T细胞(MT026)。
2026年1月6日,《自然通讯》杂志报道了我国一项针对MT026的首次人体临床试验(ChiCTR2000028801)该研究纳入了既往治疗失败、预期寿命较短的高级别胶质瘤患者,采用腰椎穿刺鞘内注射方式给予MT026。
结果显示:在入组的5例患者中,1例达到完全缓解(CR),3例达到部分缓解(PR),临床缓解率达80%。这些初步数据,有力支持了局部应用通用型异基因CAR-T细胞疗法治疗复发性胶质母细胞瘤的潜在价值。

▲截图源自“Nat Commun”
事实上,早在2024年,《自然医学杂志》就曾报道过另一款双靶点CAR-T细胞(CART-EGFR-IL13Rα2)Ⅰ期临床试验(NCT05168423)的振奋数据。该疗法创新性打破传统CAR-T单一靶点局限,同时靶向胶质母细胞瘤高表达的IL13Rα2(75%患者存在)与EGFR(60%患者存在)两种抗原,这项试验共纳入6例复发性胶质母细胞瘤患者。
治疗数据同样令人振奋:所有患者在接受鞘内注射后的1-2天内,复查MRI即显示肿瘤体积缩小(详见下图),且部分患者的疗效更维持了数月之久;此外治疗相关神经毒性处于可控范围。

▲图源“PennMedicineNews”,版权归原作者所有,如无意中侵犯了知识产权,请联系我们删除
综上,两款创新CAR-T细胞疗法的初步临床数据,均为治疗手段匮乏的复发性胶质母细胞瘤患者,点亮了新的生命希望。
GPRC5D CAR-T成多线治疗失败骨髓瘤免疫治疗新利器,PR率71%,CR率35%
靶向B细胞成熟抗原(BCMA)的CAR-T细胞疗法,虽已在晚期多发性骨髓瘤治疗中展现疗效,却存在较高复发率。在此背景下,G蛋白偶联受体C类5组D成员(GPRC5D)被证实为多发性骨髓瘤的全新免疫治疗靶点。
《新英格兰医学杂志》刊载了一项针对GPRC5D靶向CAR-T细胞疗法(MCARH109)的Ⅰ期剂量递增研究(NCT04555551)。该研究共纳入17例经多线治疗的多发性骨髓瘤患者,其中不乏BCMA CAR-T疗法复发的患者,研究设置四种剂量水平开展试验。入组患者中位年龄60岁(范围:38-76岁),既往接受治疗方案的中位数达6线(范围4-14线)。
研究结果显示:全队列中71%的患者达到部分缓解(PR)及以上疗效(95%置信区间[CI]:44%-90%),其中59%达到非常好的部分缓解(PR)及以上,35%实现完全缓解或严格意义上的完全缓解(CR)。全队列中位缓解持续时间为7.8个月(95%CI:5.7个月~未达到),25×10⁶~150×10⁶个细胞剂量组的中位缓解持续时间同样为7.8个月(95%CI:4.6个月至未达到)。中位随访10.1个月(95%CI:8.5至未达到)时,12例达到部分缓解及以上疗效的患者中,50%仍处于无进展状态,其中2例患者在接受MCARH109输注后,随访时间已超过1年(详见下图A)。

▲图源“N Engl J Med”,版权归原作者所有,如无意中侵犯了知识产权,请联系我们删除
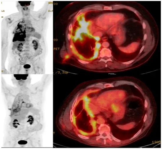
值得一提的是,下图展示了接受25×10⁶个CAR-T细胞治疗的患者1,在基线和治疗后的正电子发射断层扫描(PET)图像(详见下图B)。

▲图源“N Engl J Med”,版权归原作者所有,如无意中侵犯了知识产权,请联系我们删除
综上,这项研究证实GPRC5D是多发性骨髓瘤治疗中极具潜力的有效免疫靶点,为经多线治疗甚至BCMA CAR-T复发的患者,开辟了全新的治疗方向。
· CAR-T疗法的在招靶点及癌种 ·
好消息是,目前有多款CAR-T临床实验正在火热招募中,主要针对Claudin18.2、GPC3、GUCY2C、PSMA、CEA、间皮素(mesothelin)、MUC-1、BCMA、CD1、CD20等靶点。以及胰腺癌、胃癌、肝癌、结直肠癌、神经胶质瘤、肺癌、多发性骨髓瘤、多发性骨髓瘤、弥漫大B细胞淋巴瘤等癌种。
▼CAR-T细胞疗法的潜在治疗靶点

做过基因检测的患者,可自行查看基因检测报告,一旦发现存在上述突变,可将近期病理报告、基因检测报告等资料汇总后,提交至医学部,初步评估是否有机会参加相关临床试验。一旦审核通过,有机会获得”天价“疗法免费治疗的机会。
小编寄语
时至今日,CAR-T细胞疗法在血液系统恶性肿瘤的治疗领域已取得突破性进展,众多患者从中受益。令人欣慰的是,近年来全球的研究人员从未停止探索的脚步,持续钻研各种新型策略,致力于降低肿瘤抗原异质性,打破免疫抑制的困境,并在胃癌、脑瘤、胰腺癌、肝癌、结直肠癌等实体瘤领域取得了突破性进展!
小编也期望随着越来越多明星靶点的涌现、技术的不断革新,CAR-T疗法可以早日突破价格和癌症治疗的瓶颈,造福更多的癌症晚期患者,实现长期带瘤生存、提高生存质量、降低复发风险的美好愿景!想寻求CAR-T、TCR-T、TIL疗法等国内外抗癌新技术帮助的患者,可将病理检查报告、治疗经历、近期影像学检查等资料汇总后,提交至医学部,进行初步评估,或申请国内外抗癌专家会诊。
参考资料
[1]Wei S,et al.Hypoxia-responsive CEA CAR-T cells therapy for relapsed or refractory non-small cell lung cancer: A single-arm, open-label, phase I trial[J]. 2025.
https://ascopubs.org/doi/10.1200/JCO.2025.43.16_suppl.8517
[2]Ma H Y,et al.Advances in CAR T cell therapy for non-small cell lung cancer[J]. Current issues in molecular biology, 2023, 45(11): 9019-9038.
https://www.mdpi.com/1467-3045/45/11/566
[3]Li, X,et al.Intrathecal CRISPR-edited allogeneic IL-13Rα2 CAR T Cells for recurrent high-grade Glioma: preclinical characterization and phase I trial.Nat Commun(2026).
http://nature.com/articles/s41467-025-68112-6
[4]Bagley S J,et al.Intrathecal bivalent CAR T cells targeting EGFR and IL13Rα2 in recurrent glioblastoma: phase 1 trial interim results[J]. Nature Medicine, 2024, 30(5): 1320-1329.
https://www.nature.com/articles/s41591-024-02893-z?fromPaywallRec=false
[5]Mailankody S,et al.GPRC5D-targeted CAR T cells for myeloma[J]. New England journal of medicine, 2022, 387(13): 1196-1206.
https://www.nejm.org/doi/full/10.1056/NEJMoa2209900
[6]https://uknow.uky.edu/uk-healthcare/markey-patient-cancer-free-after-landmark-car-t-treatment
扫描进患者病友群
肺癌|胃癌|肝癌|结直肠癌|胰腺癌
乳腺癌|脑瘤|淋巴瘤|儿童肿瘤等
相关推荐
2026年这些肺癌疫苗正悄然改变患者的生
EGFR突变型患者在非小细胞肺癌中约占30%,在欧美患者中约占10%~20%,在亚洲患者中占比超过50%,是非小细胞肺癌的第二大致癌驱动因素。...
全球肿瘤医生网 2020-08-05
新一代NTRK基因融合突变靶向药TL11
EGFR突变型患者在非小细胞肺癌中约占30%,在欧美患者中约占10%~20%,在亚洲患者中占比超过50%,是非小细胞肺癌的第二大致癌驱动因素。...
全球肿瘤医生网 2020-08-05
实现33个月长生存!中国团队成功攻克&q
EGFR突变型患者在非小细胞肺癌中约占30%,在欧美患者中约占10%~20%,在亚洲患者中占比超过50%,是非小细胞肺癌的第二大致癌驱动因素。...
全球肿瘤医生网 2020-08-05
破解术后复发噩梦!NK细胞疗法让晚期胃癌
EGFR突变型患者在非小细胞肺癌中约占30%,在欧美患者中约占10%~20%,在亚洲患者中占比超过50%,是非小细胞肺癌的第二大致癌驱动因素。...
全球肿瘤医生网 2020-08-05
【胃癌CAR-T细胞疗法】IMC002注
EGFR突变型患者在非小细胞肺癌中约占30%,在欧美患者中约占10%~20%,在亚洲患者中占比超过50%,是非小细胞肺癌的第二大致癌驱动因素。...
全球肿瘤医生网 2020-08-05
晚期肺癌实现完全缓解!2026非小细胞肺
EGFR突变型患者在非小细胞肺癌中约占30%,在欧美患者中约占10%~20%,在亚洲患者中占比超过50%,是非小细胞肺癌的第二大致癌驱动因素。...
全球肿瘤医生网 2020-08-05




![[field:title/]](/uploads/allimg/20200224/1-2002241I5262J.jpg)
![[field:title/]](/uploads/allimg/20200224/1-2002241I3461D.jpg)
![[field:title/]](/uploads/allimg/20200224/1-2002241H94LK.jpg)
![[field:title/]](/uploads/allimg/20200224/1-2002241HKW34.jpg)
![[field:title/]](/uploads/allimg/20200224/1-2002241H619327.jpg)
![[field:title/]](/uploads/allimg/20200224/1-2002241H34H52.jpg)
![[field:title/]](/uploads/allimg/20200224/1-2002241H22IH.jpg)
![[field:title/]](/uploads/allimg/20200224/1-2002241G93O18.jpg)

