中国首款儿童白血病CD19 CAR-T获批!90%缓解+8年无癌,国研CAR-T全面围攻八大靶点+十大癌种
中国首款儿童白血病CD19 CAR-T产品获批,更多国研CART细胞疗法全面围攻八十大癌种大靶点
2025年11月7日,国家药品监督管理局(NMPA)通过优先审评审批程序,附条件批准重庆精准生物申报的普基奥仑赛注射液(pCAR-19B,普利得凯®)上市,适用于3~21岁CD19阳性的难治或复发急性B淋巴细胞白血病(首次缓解12个月后复发的患者需先接受挽救化疗)的治疗。
其上市不仅为相关患者带来了全新治疗选择,更在中国儿童及青少年复发/难治性B细胞急性淋巴细胞白血病(r/r B-ALL)适应症上,实现了CAR-T领域“零的突破”——这一里程碑式进展,既彰显了中国生物药研发的硬核实力,更为无数家庭点亮了生命希望,为血液肿瘤治疗开启了更具温度与力量的新篇!

▲截图源自“NMPA”
中国首款!普基奥仑赛凭双高数据(九成缓解+超98% MRD阴性),为患儿筑牢生命防线
中国首款儿童R/R B-ALL CAR-T正式获批
急性淋巴细胞白血病(ALL)是儿童最常见的恶性肿瘤之一,也是导致儿童和青少年死亡的主要原因之一。嵌合抗原受体(CAR-T)细胞疗法的出现,彻底改变了复发/难治性(R/R)B细胞ALL的治疗格局。
普基奥仑赛注射液(研发代码pCAR-19B,商品名:普利得凯®)是一款自体CAR-T细胞产品,核心优势在于优化的人源化CD19特异性单链可变区片段(scFv),专为提升治疗安全性设计。该产品此前已获中国国家药品监督管理局授予“突破性疗法认定”,适应症为B细胞急性淋巴细胞白血病(B-ALL);2025年11月7日正式获批上市,成为中国首款用于治疗儿童及青少年R/RB-ALL的CAR-T细胞治疗药物,成功填补了该领域治疗空白。
相较于传统CAR-T产品采用的鼠源抗人CD19scFv,普基奥仑赛通过人源化抗体改造技术,同时针对中国人群的MHC反应性进行优化,显著降低免疫原性及抗药抗体(ADA)的产生概率,有效规避“人抗鼠抗体反应”(HAMA反应)引发的副作用,避免疗效持续时间缩短的问题。
普基奥仑赛临床试验数据惊艳《Blood》,近90.63% ORR+98.27% MRD阴性
知名血液学期刊《Blood》发表了普基奥仑赛(研发代码pCAR-19B)针对中国复发/难治性B细胞急性淋巴细胞白血病(R/RB-ALL)儿童和青少年患者的关键性II期临床试验(NCT05334823)结果,该研究也是首个聚焦亚洲人群儿童B-ALL的关键性临床试验。
该研究共筛选89例年龄3~21岁的CD19+R/R B-ALL患者,所有入组患者均接受白细胞分离术,其中64例最终接受pCAR-19B输注。接受输注的患者中位年龄11岁(范围3-21岁),6.25%(4/64)为难治性病例,93.75%(60/64)为既往多线治疗或异基因造血干细胞移植后复发,75%(48/64)携带至少一个高危基因,中位随访时间211天(范围35-750天)。
结果显示:该产品最佳客观缓解率(ORR)达90.63%(58/64),其中78.13%(50/64)实现完全 缓解(CR),12.5%(8/64)达到伴不完全血细胞恢复的完全缓解(CRi),疗效优于已上市的同类抗CD19 CAR-T疗法;98.27%(57/58)的缓解患者达到微小残留病(MRD)阴性。此外,3个月时ORR为76.56%(49/64),中位缓解持续时间(DOR)10.61个月(95%Cl:7.66-20.96),中位总生存期(OS)23.92个月(95%Cl:9.86-未达到)。
综上,即便患者存在骨髓原始细胞负荷高、高危基因变异比例高等不利因素,pCAR-19B仍展现出高缓解率、高MRD阴性率、持久疗效及良好安全性,为中国R/R B-ALL患儿及青少年患者提供了全新治疗选择。

▲截图源自“Blood”
中美已获批上市的十三款CAR-T治疗产品
截至2025年11月7日,中国及美国共有13款CAR-T治疗产品获批上市,包括但不限于以下几类(详见下表):
1、Kymriah:用于复发或难治性弥漫大B细胞淋巴瘤(B-ALL)的治疗,中位总生存期(OS)达10.5个月,超60%的患者获得完全缓解(CR)。
2、Yescarta:用于复发或难治性弥漫大B细胞淋巴瘤/滤泡细胞淋巴瘤的治疗,中位总生存期(OS)达25.8个月。
3、Breyanzi:是一款针对CD19的转基因自体CAR-T细胞疗法,用于成人复发或难治性弥漫大B细胞淋巴瘤(LBCL)的治疗。
4、Tecartus:用于治疗复发或难治性套细胞淋巴瘤,此款CAR-T的2期ZUMA-3临床研究结果显示,56%的患者实现了完全缓解(CR)。
5、Abecma:治疗复发或难治性多发性骨髓瘤,整体缓解率达71%,完全缓解率(CR)可达39%。
6、泽沃基奧仑赛:治疗既往接受过程至少3线治疗后,病情进展的R/R MM患者,中位无进展生存期(PFS)可达25.0个月。
7、西达基奥仑赛:治疗既往接受过≥一线治疗的复发或难治性多发性骨髓瘤(R/R MM)成年患者,98%的患者对对治疗有反应,反应中位持续时间长达22个月!它是首款获得FDA批准的国产CAR-T疗法!
8、伊基奥仑赛:由驯鹿生物和信达生物联合研发,用于复发/难治性多发性骨髓瘤(R/R MM)的治疗,总体缓解率(ORR)竟高达96.0%(97/101)!12个月的中位无进展生存期(PFS)率高达78.8%!值得一提的是,它是全球首款全人源靶向BCMA CAR-T疗法,同时也是中国首款获批的BCMA CAR-T疗法!


CAR-T近期大事记:5款产品入围国谈商保目录,天价疗法纳入医保指日可待
第八次国家医保药品目录谈判(简称“国谈”)于2025年10月30日正式开启。本次调整的最大突破是首次增设商保创新药目录,为高价创新药开辟了新支付路径,CAR-T等创新产品的参与也成为核心看点。
据悉,国内目前已获批上市的7款CAR-T产品中,有5款申报了商保创新药目录(含3款同步申报基本医保的产品),分别为复星凯特的阿基仑赛、药明巨诺的瑞基奥仑赛、驯鹿生物的伊基奥仑赛、恺兴生命的泽沃基奥仑赛、合源生物的纳基奥仑赛,每针价格区间为99万-129万元,且均通过国谈前专家评审(详见下表)。

CAR-T瞄准实体瘤8大核心靶点,从无癌生存8年,到肿瘤近乎消退,横扫肠癌、胃癌等十余款癌种
01、CEA:针对结直肠癌、胃癌等
癌胚抗原(CEA)是胃肠道癌症的高敏感性标志物,在结直肠癌(CRC)的组织及血清中广泛表达。值得注意的是,除胃肠道外,CEA仅在上皮细胞面向管腔的顶端膜面呈低水平表达,而这一区域难以被免疫细胞触及——这一特性使其成为CAR-T疗法的理想靶点,适用于结直肠癌、非小细胞肺癌、乳腺癌、胃癌、胰腺癌等。
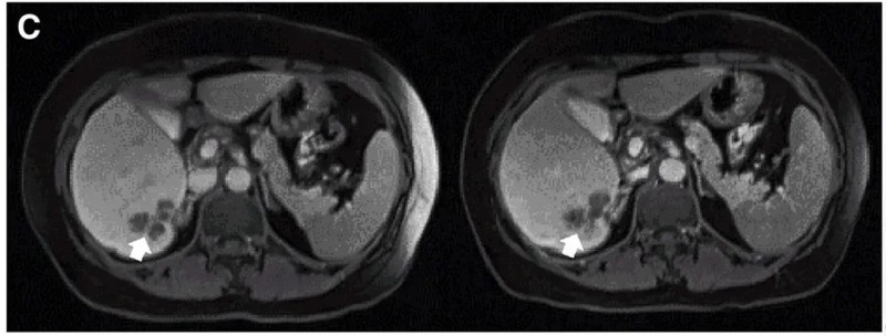
我国开展过一项“应用CEA CAR-T细胞疗法,治疗CEA阳性结直肠癌(CRC)”的I期临床试验(NCT02349724),数据令人振奋。
结果显示:在10例既往治疗已进展(PD)的患者中,7例治疗后病情稳定(SD),肿瘤直径仅呈轻微变化,其中两例患者的稳定状态持续超30周(7.5个月)。
其中一个典型病例(P10患者)的治疗效果尤为亮眼:该患者在接受DL4剂量CEA CAR-T细胞治疗后,MRI证实肝内一处病灶缩小,下图显示了该患者在CAR-T治疗前(左图)、治疗4周后(右图)的MRI对比。

▲图源“Molecular Therapy”,版权归原作者所有,如无意中侵犯了知识产权,请联系我们删除
02、CLDN18.2:针对胰腺癌、胃癌等消化道肿瘤
Claudin 18.2(CLDN18.2)是紧密连接蛋白CLDN18的家族成员,在多种恶性肿瘤中广泛表达,特别是消化系统恶性肿瘤,包括60%的胰腺肿瘤,80%的胃肠道腺瘤。除此之外,CLDN 18.2活化还可见于肺腺癌、食管癌、卵巢癌中,是具有广阔应用潜力的癌症热门靶点。
舒瑞基奥仑赛注射液(satricabtageneautoleucel,简称“satri-cel”,研发代码CT041)是科济生物研发的自体CAR-T细胞候选产品,拟用于治疗Claudin18.2阳性实体肿瘤,包括胃癌/胃食管交界处癌(GC/GEJ)、胰腺癌(PC)等。
2024年ASCO大会上公布了其治疗胃肠道肿瘤的1期临床试验(NCT03874897)最终结果,这是全球首个公开的CLDN18.2靶点CAR-T细胞治疗实体瘤的临床研究数据。
疗效结果显示,98例入组患者的客观缓解率(ORR)达37.8%,疾病控制率(DCR)为75.5%,中位无进展生存期(PFS)4.4个月(95%CI:4.0,6.0),中位总生存期(OS)8.4个月(95%CI:7.0,10.0)。其中47例疗效可评估的胃癌(GC)患者中,可测量病变患者的ORR达57.4%,DCR高达83.0%。

▲图源“ASCO”,版权归原作者所有,如无意中侵犯了知识产权,请联系我们删除
03、GPC3:针对肝癌
GPC3是一种参与细胞增殖、分化、迁移和凋亡的癌胚抗原,在正常组织中几乎未见表达,但在70%~80%的肝细胞癌中高表达,被认为是能精准打击肝癌细胞的“黄金”靶标!
国际知名期刊《Cancer Communications》,曾报道过CAR-GPC3 T细胞治疗晚期肝细胞癌获得长期生存的振奋案例。
该患者是一位50岁男性,确诊为肝细胞癌,且经多种治疗无效,病情持续进展,遂入组接受CAR-GPC3 T细胞治疗。结果显示:治疗6个月后,影像学肿瘤迹象消失,AFP(甲胎蛋白)恢复正常,更为惊喜的是,目前该患者已无癌生存长达8年!

04、HER2:针对胰腺癌、胆道癌、乳腺癌等
人表皮生长因子受体-2(HER2、ErbB2)是一种大分子I型跨膜蛋白,同时也是ErbB受体家族的一员,在胰腺癌、乳腺癌、胃癌、非小细胞肺癌、导管癌等癌种中过度表达。
在一项HER2-CAR T细胞的I期临床研究中,共纳入11例晚期胰腺癌和胆道癌患者,在接受环磷酰胺和纳米颗粒白蛋白结合紫杉醇预处理后,接受1~2个周期的HER2-CAR T细胞治疗。初步结果显示,治疗4.5个月后临床疗效部分缓解,5例患者病情稳定。
05、间皮素:针对胰腺导管腺癌、肺癌、三阴性乳腺癌等
间皮素(MSLN)对肿瘤细胞粘附、进展、增殖、存活和化疗耐药具有潜在影响,在间皮瘤、胰腺导管腺癌(PDAC)、肺癌、上皮性卵巢癌、三阴性乳腺癌(TNBC)、子宫癌等多种实体瘤中过度表达,研究显示抗间皮素CAR-T细胞具有强大的抗肿瘤活性。
在一项针对“静脉注射抗间皮素CAR-T细胞,治疗胰腺导管腺癌”的临床研究,共入组6例PDAC患者,经抗间皮素CART细胞治疗后。结果显示,这些患者病情稳定,其中两名患者的无进展生存(PFS)时间分别为3.8和5.4个月,且未出现相关不良并发症。PET显示,3例患者治疗后的代谢活性体积稳定,而一例活检证实间皮素表达的患者则下降了69.2%。
06、EGFRvIII:针对胶质母细胞瘤、非小细胞肺癌等
表皮生长因子受体变体Ⅲ(EGFRvIII)是胶质母细胞瘤(GB)相关特异性抗原,恶性胶质母细胞瘤的发病机制与表皮生长因子受体(EGFR)及 EGFRvIII 的过度表达相关,因此 EGFRvIII 被认为是治疗GB的理想靶点。
《新英格兰医学杂志》曾报道过一个“应用靶向野生型EGFR及EGFRv III的CARv3-TEAM-ET细胞,治疗复发性胶质母细胞瘤(GBM)”的惊艳案例(NCT05660369)。
该患者是一位57岁女性,因数周词汇困难及癫痫发作就诊,MRI示左顶叶强化肿块。开颅术后病理确诊为IDH野生型、MGMT未甲基化GBM,伴EGFRvIII阳性及EGFR拷贝数增加。放化疗后影像学提示肿瘤复发,遂入组通过脑室内导管接受CARv3-TEAM-ET细胞治疗。
结果显示:输注前MRI可见广泛复发病灶,输注后第5天MRI示肿瘤几乎完全消退(详见下图);治疗后脑脊液细胞外囊泡RNA中EGFRv III及EGFR拷贝数先降低,后均无法检测。

07、PSMA:针对前列腺癌
前列腺特异性膜抗原(PSMA)是一种II型跨膜蛋白,由大多数前列腺癌(PCa)细胞和肿瘤相关的新血管系统分泌的。通常在十二指肠和肾小管中表达,并特异性表达于前列腺癌上皮细胞,是前列腺癌诊断及治疗的重要靶点。
在一项I期临床试验中,5例前列腺癌患者在接受PSMA特异性CAR-T细胞治疗后,其中两名患者表现出前列腺特异性抗原反应,患者的临床结果与CART细胞输注水平呈负相关,与IL-2呈正相关。
08、GD2:针对胶质瘤、神经母细胞瘤、黑色素瘤等
神经节苷脂(GD2)是一种肿瘤相关碳水化合物表面抗原,与大多数正常组织表达的其他神经节苷脂不同,它在绝大多数神经母细胞瘤、黑色素瘤、视网膜母细胞瘤、尤文肉瘤中优先过度表达。GD2不仅能通过诱导细胞增殖、迁移和细胞凋亡抵抗来增强肿瘤发生;而且还表现出免疫抑制特性,在释放到循环中时,阻碍T细胞激活和树突状细胞成熟。
一项关于“GD2特异性CART细胞,治疗H3K27M突变的弥漫性中线胶质瘤(DMG)”的I期临床试验结果显示:GD2特异性CART细胞可显著增强TME中促炎细胞因子和趋化因子的释放,从而显著改善患者的临床症状。在第一次静脉注射后,1例患者的肿瘤体积缩小了90%。第二次脑室内输注后,肿瘤体积缩小了80%,且为观察到脱靶毒性。
做了基因检测的癌友,可自行查看检查报告,一旦发现存在上述突变,可立即联系医学部,初步评估是否有机会寻求CAR-T或国内外其他抗癌新技术的帮助,看不懂的病友也可致电医学部,详细解读报告。
小编寄语
随着中国首款儿童青少年R/R B-ALL CAR-T细胞药物——普基奥仑赛的正式获批,我国CAR-T领域再添一员猛将,并且填补了儿童R/R B-ALL治疗的空白!尤其是今年5款CAR-T产品入围国谈商保目录,这款“天价疗法”距离纳入医保的步伐也越来越近了,让无数饱受癌症摧残的患者看到了希望!
小编希望随着明星靶点的出现、CAR-T代数的不断更迭,能惠及越来越多的晚期癌症患者!想明确自身靶点或寻求过继性T细胞疗法(CAR-T、TIL、TCR-T)帮助的患者,可将治疗经历、完整的病理报告等资料,提交至医学部,进行初步评估。
参考资料
[1]Zhang R,et al.A Phase 2 Clinical Trial of Anti-CD19 CAR-T (pCAR-19B) in Chinese Pediatric and Young Adult with Relapsed/Refractory (R/R) CD19+ B-ALL: The First Pivotal Study in an Asian Population[J]. Blood, 2024, 144: 4205.
https://ashpublications.org/blood/article/144/Supplement%201/4205/532428/A-Phase-2-Clinical-Trial-of-Anti-CD19-CAR-T-pCAR
[2]Zhang W,et al.Safety and efficacy of anti-CEA CAR-T cells to prolong relapse-free survival of colorectal cancer liver metastases patients after radical resection[J]. 2025.
https://www.asco.org/abstracts-presentations/ABSTRACT491838
[3]QI C,et al.Claudin18. 2-targeted chimeric antigen receptor T cell-therapy for patients with gastrointestinal cancers: Final results of CT041-CG4006 phase 1 trial[J]. 2024.
https://meetings.asco.org/abstracts-presentations/232455
[4]Choi B D,et al.Intraventricular CARv3-TEAM-E T cells in recurrent glioblastoma[J]. New England Journal of Medicine, 2024, 390(14): 1290-1298.
https://www.nejm.org/doi/full/10.1056/NEJMoa2314390
扫描进患者病友群
肺癌|胃癌|肝癌|结直肠癌|胰腺癌
乳腺癌|脑瘤|淋巴瘤|儿童肿瘤等
相关推荐
【ADC药物免费招募】新一代靶向药YL2
EGFR突变型患者在非小细胞肺癌中约占30%,在欧美患者中约占10%~20%,在亚洲患者中占比超过50%,是非小细胞肺癌的第二大致癌驱动因素。...
全球肿瘤医生网 2020-08-05
化疗如何少遭罪?首次临床证实复合益生菌助
EGFR突变型患者在非小细胞肺癌中约占30%,在欧美患者中约占10%~20%,在亚洲患者中占比超过50%,是非小细胞肺癌的第二大致癌驱动因素。...
全球肿瘤医生网 2020-08-05
ADC新药在华获突破性认定,胃癌1年生存
EGFR突变型患者在非小细胞肺癌中约占30%,在欧美患者中约占10%~20%,在亚洲患者中占比超过50%,是非小细胞肺癌的第二大致癌驱动因素。...
全球肿瘤医生网 2020-08-05
中国首款!重庆精准生物自研儿童白血病CA
EGFR突变型患者在非小细胞肺癌中约占30%,在欧美患者中约占10%~20%,在亚洲患者中占比超过50%,是非小细胞肺癌的第二大致癌驱动因素。...
全球肿瘤医生网 2020-08-05
【BRAF药物免费招募】新一代靶向药JM
EGFR突变型患者在非小细胞肺癌中约占30%,在欧美患者中约占10%~20%,在亚洲患者中占比超过50%,是非小细胞肺癌的第二大致癌驱动因素。...
全球肿瘤医生网 2020-08-05
全球首个FRα靶向ADC国内首方落地!卵
EGFR突变型患者在非小细胞肺癌中约占30%,在欧美患者中约占10%~20%,在亚洲患者中占比超过50%,是非小细胞肺癌的第二大致癌驱动因素。...
全球肿瘤医生网 2020-08-05




![[field:title/]](/uploads/allimg/20200224/1-2002241I5262J.jpg)
![[field:title/]](/uploads/allimg/20200224/1-2002241I3461D.jpg)
![[field:title/]](/uploads/allimg/20200224/1-2002241H94LK.jpg)
![[field:title/]](/uploads/allimg/20200224/1-2002241HKW34.jpg)
![[field:title/]](/uploads/allimg/20200224/1-2002241H619327.jpg)
![[field:title/]](/uploads/allimg/20200224/1-2002241H34H52.jpg)
![[field:title/]](/uploads/allimg/20200224/1-2002241H22IH.jpg)
![[field:title/]](/uploads/allimg/20200224/1-2002241G93O18.jpg)

