5年生存率超67%!中山大学团队力挺免疫细胞疗法,让肺癌、胃癌、乳腺癌等长期无癌成可能
中山大学团队证实细胞免疫治疗法5年生存率超67%,让肺癌、胃癌、乳腺癌等长期无癌成为可能
癌症是一类兼具伪装性与进化性的复杂疾病,能通过持续变异逃避免疫系统监视;当前中国癌症新发病例数与发病率正持续上升。
近年来,逃避免疫攻击被公认为癌症的关键特征,这意味着宿主免疫系统是抑制肿瘤形成与进展的重要屏障。临床流行病学研究也证实,肺癌等部分癌症存在内源性抗肿瘤免疫反应。在此背景下,利用患者自身或经基因工程改造的免疫细胞疗法,正成为抗癌治疗的主流方向,代表性技术包括CAR-T、TCR-T、TIL细胞疗法。这类疗法通过改造或激活免疫细胞,使其重获识别并杀伤癌细胞的能力以清除病灶,在抗癌治疗中占据关键地位。
值得欣慰的是,2025年免疫细胞疗法迎来突破性进展!中山大学肿瘤防治中心等团队在《肿瘤免疫学》发文,研究聚焦原发性非小细胞肺癌(NSCLC)患者术后辅助治疗,既探讨了自体细胞免疫治疗(CIT)序贯化疗的疗效,更证实细胞因子诱导杀伤细胞免疫疗法对此类患者效果显著——这不仅凸显了免疫细胞治疗的巨大潜力,更为患者带来了切实的治疗新希望!

▲截图源自“Taylor & Francis”
中山大学团队证实:NK与CIK细胞联手抗非小细胞肺癌,预后优于传统化疗,5年生存率达67.8%
NK细胞作为先天免疫的重要组成部分,可通过NKG2D、NKp30、NKp40、NKp46等激活受体,识别并裂解缺乏MHC分子的细胞。因此,肿瘤细胞因缺乏MHCI类分子,更易受到NK细胞攻击。
CIK细胞是异质性免疫活性效应细胞群,包含CD3⁺CD56⁺NKT细胞、CD3⁻CD56⁺NK细胞及CD3⁺CD56⁻典型T细胞。其高细胞毒活性由其中CD3⁺CD56⁺细胞群的高增殖能力决定,且可通过不依赖MHC的NK样机制,杀伤广谱肿瘤细胞。这提示NK与CIK细胞联合应用时,可能凭借对不同肿瘤细胞的选择性细胞毒活性,产生协同抗肿瘤免疫反应[,因此有必要研究二者联合治疗非小细胞肺癌(NSCLC)的疗效。
中山大学肿瘤中心团队开展的这项研究,共纳入120例NSCLC患者。患者平均年龄为57.94±10.80岁(范围34~89岁),中位随访时间为33.0个月(范围8~127个月)。
结果显示:CIT组(辅助细胞免疫治疗联合化疗)的1年、3年、5年总生存率分别为96.4%、88.1%、67.8%,对照组(单纯化疗)则分别为91.2%、65.9%、52.2%;CIT组患者总生存率显著优于对照组(详见下图A;p=0.026)。进一步分析发现,CIK+NK组患者的预后明显优于单纯CIK组(详见下图B;p=0.034)。

▲图源“Oncoimmunology”,版权归原作者所有,如无意中侵犯了知识产权,请联系我们删除
2025年癌症患者必须要知道的四大免疫细胞疗法
除了上面提到的NK细胞、CIK细胞疗法外,2025年还有多款免疫细胞疗法凭借亮眼的疗效表现脱颖而出。
satri-cel:全球首个实体瘤CAR-T疗法冲刺上市!胃癌ORR超化疗5倍,胰腺癌患者病灶全消且持续完全缓解
satri-cel(CT041)是全球首个也是唯一已提交用于治疗实体瘤上市申请的CAR-T产品!2025年6月25日,该药中国国家药品监督管理局(NMPA)药品审评中心(CDE)提交新药上市申请,用于治疗Claudin18.2阳性晚期胃/胃食管连接部腺癌(G/GEJA)。
2期临床研究数据显示:satri-cel组疾病控制率(DCR)达63%(95%CI:52–72),远超TPC组的25%(95%CI14–39);确诊客观缓解率(ORR)为22%(23/104,95%CI:15–31),较TPC组的4%(2/52,95%CI:0–13)提升超5倍;凸显其在抑制肿瘤进展方面的显著优势。
在生存获益层面,satri-cel组中位总生存期(OS)为7.92个月(95%CI:5.78–10.02),较TPC组的5.49个月(95%CI:3.94–6.93)提升超30%,生存期改善趋势显著。此外,satri-cel组的中位无进展生存期(PFS)为3.25个月(95%CI:2.86–4.53),较TPC组的1.77个月(95%CI:1.61–2.04)延长近1倍。
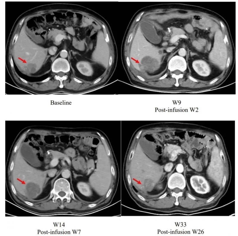
其中一个合并肝转移的胃癌患者治疗效果尤为突出。该患者在输注satri-cel后第2周,肝脏上的病变比基线大。但在后续随访观察中,病灶逐渐缩小,至输液后第26周时已小于基线水平(详见下图)。

▲图源“The Lancet”,版权归原作者所有,如无意中侵犯了知识产权,请联系我们删除
除了胃癌外,satri-cel(CT041)在治疗胰腺癌方面也展现除了振奋的疗效!《血液学与肿瘤学杂志》曾报道过一个典型案例:一名75岁胰腺癌患者,Claudin18.2表达为3+/60%,病理分期pT2N0,术后接受一线S-1单药化疗后出现肺转移,遂入组接受CT041回输治疗。
结果令人振奋:依据RECISTv1.1标准,患者在CT041输注后第4周即达部分缓解(PR),后续肺部转移病灶完全消失,实现完全缓解(CR)。截至2023年7月末次随访时,患者仍持续维持缓解状态,凸显satri-cel在胰腺癌治疗中显著的抗肿瘤活性与持久疗效。
▼该患者CT041治疗前后肺部病变的放射学评估

▲图源“J Hematol Oncol”,版权归原作者所有,如无意中侵犯了知识产权,请联系我们删除
TIL疗法让50%转移性乳腺癌患者肿瘤缩小,3.5-5年无新发癌症
美国国家癌症研究所(NCI)曾开展TIL疗法治疗转移性乳腺癌的临床研究。研究共纳入6例转移性乳腺癌患者,对其肿瘤样本进行基因测序后,从中分离、培养并扩增肿瘤浸润淋巴细胞(TIL),再将其回输患者体内,以调动免疫系统杀伤癌细胞。患者在TIL细胞回输前,均接受帕博利珠单抗治疗,以防止新回输的T细胞失活。
结果显示:50%的患者实现可测量的肿瘤缩小。其中1例2018年研究中记录的患者,至今无癌;另有2例患者肿瘤缩小率分别为52%(治疗6个月后)、69%(治疗10个月后)。上述获肿瘤缩小的患者经TIL治疗后,3.5年及5年内均无新发癌症。
下图展示了一例乳腺癌患者TILs治疗前后影像学变化:下图a(2015年12月,治疗前)显示,患者胸壁(上,左)与肝脏(下,左)均存在转移性病变;下图b(2021年5月,经TILs免疫治疗后)显示,患者肿瘤完全消退,且随访5年未出现新发癌症。

TCR-T联合DC疫苗:69%黑色素瘤患者肿瘤消退
TCR-T细胞疗法除单药应用外,还可与其他疗法联合使用,例如DC疫苗。《临床癌症研究》发表的一项临床试验(NCT00910650),便探讨了MART-1TCR转基因淋巴细胞过继转移联合MART-1肽脉冲树突状细胞(DC)疫苗,在HLA-A2.1阳性(即HLA-A*0201阳性)转移性黑色素瘤患者中的疗效。
该研究共纳入14例上述分型且MART-1阳性的转移性黑色素瘤患者,平均年龄50岁。患者分期分布为:9例为伴有内脏和/或骨转移的M1c期,4例为肺转移的M1b期,1例为仅皮肤、淋巴结及皮下转移的M1a期。
结果显示:69%(9例)患者出现肿瘤消退迹象;在10例可评估疗效的患者中,8例在治疗第30天通过PET扫描(详见下图)或体检,观察到初始抗肿瘤活性。

▲图源“Clin Cancer Res”,版权归原作者所有,如无意中侵犯了知识产权,请联系我们删除
无法手术+拒绝化疗!Robo1-CAR-NK疗法"救场"晚期胰腺癌,病灶受控且生存期超预期
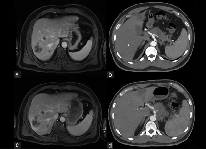
《癌症研究与治疗学杂志》报道了一例Robo1-CAR-NK细胞治疗肝转移性胰腺导管腺癌的案例分析。其中,Robo1是实体瘤治疗的潜在靶点,在胰腺癌等癌种中表达水平升高。
该患者为46岁男性,因上腹痛、CA19-9升高就诊,被确诊为胰腺导管腺癌(PDAC)伴肝转移(分期T4N1M1,IV期),胰腺肿瘤穿刺活检显示存在Robo1表达。治疗前CT及MRI扫描显示,胰腺存在约6cm×2.5cm×3cm的病变,伴淋巴结浸润,肝脏有多发性代谢亢进病灶(详见下图a、b),最大转移灶直径约3.5cm。因肿瘤无法手术切除且患者拒绝化疗,该患者入组接受Robo1特异性CAR-NK细胞输注治疗(临床试验编号:NCT03941457)。
治疗期间,患者在第2、3周静脉注射CAR-NK细胞后2小时出现中度发热(约38.5℃),24小时内迅速缓解;肝转移瘤穿刺注射后体温无明显变化。CAR-NK治疗后5个月内,胰腺病变及肝转移均得到控制(详见下图c、d)。后续未再给予进一步治疗,患者总生存期(OS)达8个月。

▲图源“JCRT”,版权归原作者所有,如无意中侵犯了知识产权,请联系我们删除
小编寄语
癌症治疗一直是困扰世界的难题,传统的手术、放化疗等抗癌方式,易出现复发或转移,因此迫切需要开发新型抗癌手段。随着医学技术的不断发展,癌症逐渐进入精准治疗的时代,以CAR-T、TCR-T、TIL细胞疗法等为代表的免疫细胞疗法,主要通过调动人体的免疫细胞,精准识别并杀灭癌细胞,与此同时对正常细胞组织的损伤较小,颠覆了传统的抗癌模式!
值得欣慰的是,今年这些过继性免疫细胞疗法都取得了突破性进展,不仅相继有多款产品获批上市,而且多项在研的临床试验也取得了重大进展,为癌症患者带来了新的曙光!对现有治疗方案不满意,或想寻求CAR-T、TCR-T、TIL、NK或CAR-NK疗法等国内外其他抗癌新技术帮助的患者,可先将近期病理报告。治疗经历等资料,提交至医学部,进行初步评估或申请国内外抗癌专家会诊。
参考资料
[1]Pan QZ,et al.Adjuvant cellular immunotherapy in patients with resected primary non-small cell lung cancer. Oncoimmunology. 2015 May 27;4(9):e1038017.
https://pmc.ncbi.nlm.nih.gov/articles/PMC4570139/
[]Li C, Yang N, Li H, et al. Robo1-specific chimeric antigen receptor natural killer cell therapy for pancreatic ductal adenocarcinoma with liver metastasis[J]. Journal of Cancer Research and Therapeutics, 2020, 16(2): 393-396.
https://journals.lww.com/cancerjournal/fulltext/2020/16020/robo1_specific_chimeric_antigen_receptor_natural.29.aspx
[2]Chodon T,et al.Adoptive transfer of MART-1 T-cell receptor transgenic lymphocytes and dendritic cell vaccination in patients with metastatic melanoma. Clin Cancer Res. 2014 May 1;20(9):2457-65.
https://pmc.ncbi.nlm.nih.gov/articles/PMC4070853/
[3]Qi C,et al.Claudin-18 isoform 2-specific CAR T-cell therapy (satri-cel) versus treatment of physician's choice for previously treated advanced gastric or gastro-oesophageal junction cancer (CT041-ST-01): a randomised, open-label, phase 2 trial[J]. The Lancet, 2025.
https://www.thelancet.com/journals/lancet/article/PIIS0140-6736(25)00860-8/fulltext
[4]Qi C,et al.CT041 CAR T cell therapy for Claudin18.2-positive metastatic pancreatic cancer. J Hematol Oncol. 2023 Sep 9;16(1):102.
https://pubmed.ncbi.nlm.nih.gov/37689733/
扫描进患者病友群
肺癌|胃癌|肝癌|结直肠癌|胰腺癌
乳腺癌|脑瘤|淋巴瘤|儿童肿瘤等
相关推荐
2026年靶向治疗抗癌风暴,突破困境,普
EGFR突变型患者在非小细胞肺癌中约占30%,在欧美患者中约占10%~20%,在亚洲患者中占比超过50%,是非小细胞肺癌的第二大致癌驱动因素。...
全球肿瘤医生网 2020-08-05
2026年这些肺癌疫苗正悄然改变患者的生
EGFR突变型患者在非小细胞肺癌中约占30%,在欧美患者中约占10%~20%,在亚洲患者中占比超过50%,是非小细胞肺癌的第二大致癌驱动因素。...
全球肿瘤医生网 2020-08-05
新一代NTRK基因融合突变靶向药TL11
EGFR突变型患者在非小细胞肺癌中约占30%,在欧美患者中约占10%~20%,在亚洲患者中占比超过50%,是非小细胞肺癌的第二大致癌驱动因素。...
全球肿瘤医生网 2020-08-05
实现33个月长生存!中国团队成功攻克&q
EGFR突变型患者在非小细胞肺癌中约占30%,在欧美患者中约占10%~20%,在亚洲患者中占比超过50%,是非小细胞肺癌的第二大致癌驱动因素。...
全球肿瘤医生网 2020-08-05
破解术后复发噩梦!NK细胞疗法让晚期胃癌
EGFR突变型患者在非小细胞肺癌中约占30%,在欧美患者中约占10%~20%,在亚洲患者中占比超过50%,是非小细胞肺癌的第二大致癌驱动因素。...
全球肿瘤医生网 2020-08-05
【胃癌CAR-T细胞疗法】IMC002注
EGFR突变型患者在非小细胞肺癌中约占30%,在欧美患者中约占10%~20%,在亚洲患者中占比超过50%,是非小细胞肺癌的第二大致癌驱动因素。...
全球肿瘤医生网 2020-08-05




![[field:title/]](/uploads/allimg/20200224/1-2002241I5262J.jpg)
![[field:title/]](/uploads/allimg/20200224/1-2002241I3461D.jpg)
![[field:title/]](/uploads/allimg/20200224/1-2002241H94LK.jpg)
![[field:title/]](/uploads/allimg/20200224/1-2002241HKW34.jpg)
![[field:title/]](/uploads/allimg/20200224/1-2002241H619327.jpg)
![[field:title/]](/uploads/allimg/20200224/1-2002241H34H52.jpg)
![[field:title/]](/uploads/allimg/20200224/1-2002241H22IH.jpg)
![[field:title/]](/uploads/allimg/20200224/1-2002241G93O18.jpg)

