从全身扩散到肿瘤消失,TIL疗法给了他第二次生命
黑色素瘤TIL疗法,TIL细胞免疫疗法治疗给了患者第二次生命
关键词:TIL疗法;黑色素瘤;免疫疗法
黑色素瘤是西方国家比较高发的一种恶性肿瘤,多于50岁以上人群发病。狂热的摩托车爱好者John·S没有想到,这种厄运也降临在他的头上。

摩托骑手John·S的抗癌之路
John的妻子凯茜是第一个注意到他背上奇怪形状的黑点的人。他们的家庭医生告诉他们,没什么事,但是五年后,这个黑点变成了渗水瘤子。活检表明是恶性黑色素瘤。John通过手术切除了肿瘤,但外科医生没能切干净肿瘤,癌症扩散了。
经历药物治疗、标准放射疗法和两轮伽玛刀放射治疗后,疾病进展依旧迅猛。很快,黑色素瘤感染了他的整个身体,在肿瘤他的皮肤下清晰可见。
然而一项免疫疗法改变了John的命运。他的一位主治医生与该疗法的负责人Whitman博士是医学院同学,他了解到Atlantic Health System正在进行II期肿瘤浸润淋巴细胞(TIL)临床试验,他认为现在处于III / IV期黑色素瘤的John可能有资格加入。
TIL是一项实验性的免疫治疗,肿瘤专家会从患者的肿瘤中提取免疫细胞,用免疫增强剂对其进行扩增,然后将其注入患者体内,最后输入刺激免疫系统的药物。

Whitman博士说:“一般来讲,TIL会替代效果较差的白细胞,能更好地发现、攻击和杀死癌细胞。”
John在莫里斯敦医疗中心接受了TIL治疗,该中心是美国少数几个站点之一,也是新泽西州唯一为IV期黑素瘤患者提供突破性治疗的站点。
Whitman博士说:“在单次治疗的四个星期内,我们可以看到对治疗有反应的患者出现有疗效的迹象。”
TIL II期研究的最新结果表明,38%的患者可以观察到肿瘤缩小。尽管有先前的治疗,但在66例晚期黑色素瘤患者中,也有2个完全缓解和23个部分缓解。
John是一位在TIL方面取得效果的患者。这种治疗使他的肿瘤缩小并逆转了黑色素瘤的生长。更重要的是,John的梦想骑摩托车在街上巡游再次成为现实。
John说:“感谢Whitman博士及其团队,这种治疗给了我第二次生命。现在,我很高兴能自己洗车,然后畅想明天骑行的快乐!”
TIL疗法的最新进展
TIL疗法作为过继性细胞疗法的一种,一直是肿瘤治疗领域的研究热点,并且在多种实体瘤的治疗上取得了卓越的成效。
01、晚期黑色素瘤疾病控制率达80%
一项最新的Ⅱ期临床试验纳入66例接受过PD-1治疗晚期黑色素瘤患者,结果显示:66例患者疾病控制率(DCR)达80%;客观缓解率达到38%,包括2例(3%)完全缓解,23例部分缓解(35%)和28例(42%)病情稳定。

试验中还发现,PD-L1阴性的患者对治疗也有响应,这说明对免疫检查点抑制剂无效的患者仍有希望获益于TIL疗法。
02、晚期结直肠癌4年无进展
在2016年发表的文献中,一名转移性结直肠癌患者接受了靶向KRAS G12D突变的TIL治疗后,患者肺部的7个转移灶中有6个明显缩小,其中3个完全消失。患者在4年后仍然没有疾病进展。

03、晚期宫颈癌疾病控制率89%,TILs获突破性疗法认定
2019年,一项针对宫颈癌患者的临床研究显示:27名可评估患者中44%(12名)的患者有效果,包括1名完全应答,9名部分应答和2个未确认的部分应答;疾病控制率为89%;
中位随访时间为3.5个月,12例患者中有11例持续应答。
基于此试验的积极数据,FDA授予该试验中应用的TIL疗法LN-145为突破性疗法认定。
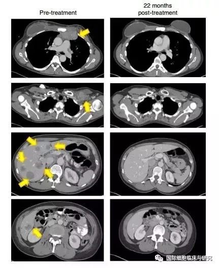
04、晚期乳腺癌完全缓解
一名难治性激素阳性转移性乳腺癌患者接受了4种突变蛋白(SLC3A2,KIAA0368,CADPS2和CTSB)的TILs,治疗22个月后,患者肿瘤完全消失,且4年后仍未出现进展或复发。这一案例发表在2018年《自然医学》(Nature Medicine)杂志上。

以上案例显示,TILs疗法在多种实体瘤中表现出优异的治疗效果,但并不是所有患者都适合该疗法,首先必须是实体瘤患者并且能取到肿瘤组织;其次要能顺利从肿瘤组织中分离所需要的淋巴细胞;另外,所分离的淋巴细胞拥有足够的活性,并且能充分扩增培养。任何一个环节出现问题都不能支持患者完成治疗。患者可登录全球肿瘤医生网向专家提交资料评估是否能受益于该疗法。
总体来说,TILs疗法在实体瘤的治疗中取得成绩还是比较令人欣喜的,但仍需进一步完善研究,并且需要大规模的临床试验来验证。我们期待,TILs疗法能尽快突破技术壁垒,攻克实体瘤,让更多癌症患者受益于免疫细胞治疗。
参考资料
1.https://www.atlantichealth.org/conditions-treatments/cancer-care/melanoma/john-story.html
2.https://www.yidianzixun.com/article/0QC784In
扫描进患者病友群
肺癌|胃癌|肝癌|结直肠癌|胰腺癌
乳腺癌|脑瘤|淋巴瘤|儿童肿瘤等
相关推荐
2026年靶向治疗抗癌风暴,突破困境,普
EGFR突变型患者在非小细胞肺癌中约占30%,在欧美患者中约占10%~20%,在亚洲患者中占比超过50%,是非小细胞肺癌的第二大致癌驱动因素。...
全球肿瘤医生网 2020-08-05
2026年这些肺癌疫苗正悄然改变患者的生
EGFR突变型患者在非小细胞肺癌中约占30%,在欧美患者中约占10%~20%,在亚洲患者中占比超过50%,是非小细胞肺癌的第二大致癌驱动因素。...
全球肿瘤医生网 2020-08-05
新一代NTRK基因融合突变靶向药TL11
EGFR突变型患者在非小细胞肺癌中约占30%,在欧美患者中约占10%~20%,在亚洲患者中占比超过50%,是非小细胞肺癌的第二大致癌驱动因素。...
全球肿瘤医生网 2020-08-05
实现33个月长生存!中国团队成功攻克&q
EGFR突变型患者在非小细胞肺癌中约占30%,在欧美患者中约占10%~20%,在亚洲患者中占比超过50%,是非小细胞肺癌的第二大致癌驱动因素。...
全球肿瘤医生网 2020-08-05
破解术后复发噩梦!NK细胞疗法让晚期胃癌
EGFR突变型患者在非小细胞肺癌中约占30%,在欧美患者中约占10%~20%,在亚洲患者中占比超过50%,是非小细胞肺癌的第二大致癌驱动因素。...
全球肿瘤医生网 2020-08-05
【胃癌CAR-T细胞疗法】IMC002注
EGFR突变型患者在非小细胞肺癌中约占30%,在欧美患者中约占10%~20%,在亚洲患者中占比超过50%,是非小细胞肺癌的第二大致癌驱动因素。...
全球肿瘤医生网 2020-08-05




![[field:title/]](/uploads/allimg/20200224/1-2002241I5262J.jpg)
![[field:title/]](/uploads/allimg/20200224/1-2002241I3461D.jpg)
![[field:title/]](/uploads/allimg/20200224/1-2002241H94LK.jpg)
![[field:title/]](/uploads/allimg/20200224/1-2002241HKW34.jpg)
![[field:title/]](/uploads/allimg/20200224/1-2002241H619327.jpg)
![[field:title/]](/uploads/allimg/20200224/1-2002241H34H52.jpg)
![[field:title/]](/uploads/allimg/20200224/1-2002241H22IH.jpg)
![[field:title/]](/uploads/allimg/20200224/1-2002241G93O18.jpg)

