2026肝癌"武器库"火力全开:16款新药+7大突破性技术!91%控病率+生存期超5年
2026年肝癌“武器库”火力全开:16款肝癌新药+7大突破性技术!91%控病率+生存期超5年
新年钟声即将敲响,此刻,每一位病友都值得为自己鼓掌——凭借这份坚韧与勇气,你们已顺利跨越2025,向着5年临床治愈的目标又迈进了坚实一步!2026年,中美两国已获批上市多款肺癌新药,这也意味着,将有更多病友能迎来全新治疗方案与重生希望。
肝癌作为全球癌症死亡的第三大原因,对国人健康的威胁尤为严峻——中国的肝癌发病与死亡人数均占全球一半以上,已成为亟待攻克的“健康杀手”。为此,医学部特别整理《2026肝癌抗癌速查清单》,涵盖治疗方案盘点、2025年获批新药、2026年即将上市的新药与新技术及康复指导等核心内容。无论你处于肝癌治疗的哪个阶段,这份清单都将为你带来全新生存机遇,照亮2026年的抗癌前行之路,建议收藏备用!
2025年最新获批上市的肝癌靶向、免疫药物
对肝癌患者而言,这是一个满载奇迹的时代!2025年,中国NMPA及美国FDA已最新批准3款肝癌靶向与免疫药物,为无数病友带来全新治疗选择与生存希望!
仑伐替尼
1、药品简介
①药物名称:仑伐替尼(Lenvatinib,商品名:乐卫玛®)。
②适应证:不可切除的非转移性肝细胞癌(HCC)。
③获批时间/地区:2025年7月22日(中国)。
2、药物详情
仑伐替尼是一款强效口服多靶点酪氨酸激酶抑制剂(TKI),2025年7月22日,该药获中国国家药品监督管理局(NMPA)批准新适应症:仑伐替尼联合帕博利珠单抗与经动脉化疗栓塞(TACE),用于不可切除的非转移性肝细胞癌(HCC)治疗。这是国内乃至全球首个获批的介入联合靶免治疗创新方案,标志着经大Ⅲ期研究证实的“TACE+靶免”方案正式落地。
本次获批基于Ⅲ期LEAP-012研究(NCT04246177)的亮眼数据:联合治疗组24个月总生存率(OS)达75%,高于安慰剂组的69%(HR=0.80);中位无进展生存期(PFS)为14.6个月,显著优于安慰剂组的10.0个月(HR=0.66)。
菲诺利单抗注射液
1、药品简介
①药品名称:菲诺利单抗注射液(Finotonlimab,SCT-I10A,安佑平®)。
②研发公司:神州细胞。
③适应证:既往未接受系统治疗的不可切除或转移性肝细胞癌。
④治疗靶点:PD-1。
⑤上市时间:2025年2月8日(头颈部鳞状细胞癌)、2025年2月28日(肝细胞癌)(中国)。
2、药物详情
菲诺利单抗注射液是神州细胞自主研发的重组人源化抗PD-1IgG4单克隆抗体,2025年2月28日,其与贝伐珠单抗注射液(SCT510)的联合疗法获国家药监局(NMPA)批准,用于既往未接受系统治疗的不可切除或转移性肝细胞癌。
临床数据显示:该联合治疗组客观缓解率(ORR)达33%,显著高于对照组的4%;中位无进展生存期(PFS)7.1个月(对照组2.9个月),疾病进展风险降低50%;中位总生存期(OS)22.1个月(对照组14.2个月),患者死亡风险降低40%。
“O+Y”双免方案(纳武利尤单抗+伊匹木单抗)
1、药品简介
①药物名称:纳武利尤单抗注射液(Opdivo®,欧狄沃®,nivolumab,NIVO)+伊匹木单抗注射液(Yervoy®,逸沃®,ipilimumab,IPI)。
②研发公司:百时美施贵宝。
③治疗靶点:PD-1。
④适应证:不可切除的成年肝细胞癌一线治疗(美国)、不可切除或晚期肝细胞癌一线治疗(中国)。
⑤获批时间/地区:2025年4月11日(美国)、2025年3月31日(中国)。
2、药物详情
“O+Y”双免方案在2025年一举斩获中美双批准:
①2025年3月31日,该“双免联合方案”新适应症获中国NMPA批准:用于不可切除或晚期肝细胞癌(HCC)成人患者一线治疗,成为国内首个且唯一获批的肝癌一线双免疫联合疗法。
②2025年4月11日,FDA批准纳武利尤单抗联合伊匹木单抗用于成人不可切除肝细胞癌一线治疗,肝癌正式迈入双免黄金时代,死亡风险降低21%。
中美已获批上市的16款肝癌靶向/免疫治疗方案大全(截至25年12月)
截至2025年12月,中国NMPA与美国FDA已累计批准16款肝癌靶向及免疫药物,为患者带来多元治疗选择!更令人振奋的是,多个热门靶点的多款新药正同步在中国开展临床试验——这意味着国内患者无需远赴海外,就能有机会免费用上美国最新抗癌药物!对此感兴趣的患者,可直接致电医学部,进行初步评估或了解详细的入排标准。

2026即将上市的肝癌新药
多款火遍癌友圈的明星药物与新技术,凭借显著疗效斩获突破性治疗认定及优先审批,其中部分将于2026年上市,值得肝癌病友满心期待!
爱可仑赛
1、药品简介
①药物名称:爱可仑赛注射液(EAL®)。
②研发公司:永泰生物。
③适应证:肝细胞癌。
④预计上市时间:2026年Q2。
2、药物详情
爱可仑赛注射液是永泰生物自主研发的扩增活化淋巴细胞(EAL)疗法,也是国内首款申报上市的实体瘤细胞免疫治疗药物。其核心作用机制为体外激活扩增患者自身抗肿瘤淋巴细胞,回输后增强机体免疫监视能力,精准清除术后微小残留病灶(MRD),从根源上降低肝癌复发风险。
2025年3月31日,该药的上市申请正式获CDE受理,并同步纳入优先审评通道,拟适应症为原发性肝细胞癌根治术后高复发风险患者的辅助治疗,预计2026年Q2在中国获批,有望成为全球首个肝癌术后辅助细胞免疫治疗药物,填补肝癌术后无有效免疫预防方案的临床空白。
2026年值得关注的七大肝癌新技术
肝癌已进入“精准诊疗”与“全程管理”时代,治疗不再“一刀切”,而是基于基因分型、病理特征和患者整体状况的个体化战争。
C-CAR031 CAR-T疗法:肿瘤持续缩小超12个月
C-CAR031是西比曼生物研发的靶向GPC3(肝癌黄金靶标)CAR-T疗法,采用双重靶向设计:既特异性结合肝癌、肺癌等实体瘤高表达的GPC3,又搭载TGFβ信号通路阻断“分子盾”,可突破肿瘤微环境免疫抑制。
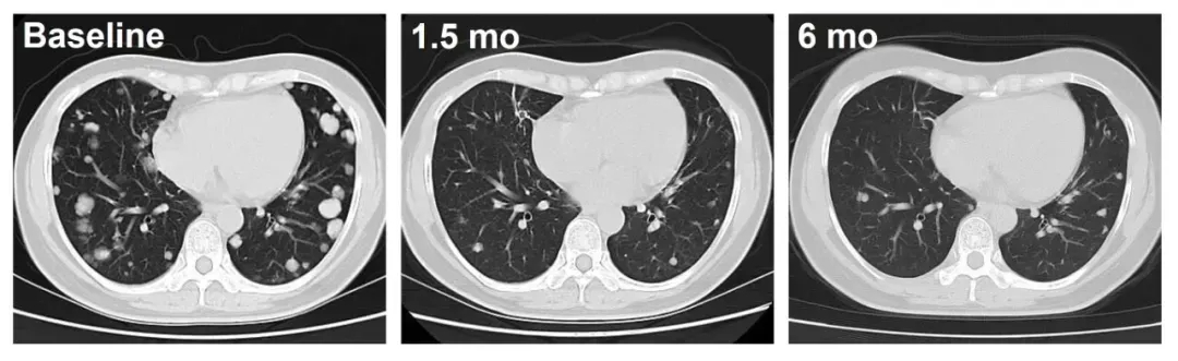
其针对经1-6线治疗失败的晚期肝癌(HCC)的IIT临床数据显示:两例患者(C023、C010)治疗后均实现肿瘤持续退缩的振奋疗效:患者C010(DL3)随访超12个月,肿瘤持续稳定缩小;患者C023(DL4)治疗1.5个月后,肺转移病灶深度应答,影像学可见肿瘤显著缩小(详见下图)。
▼C023号患者治疗前后影像学对比

▼C010号患者治疗前后影像学对比

▲图源“ASCO”,版权归原作者所有,如无意中侵犯了知识产权,请联系我们删除
TCR-T疗法
SCG101 TCR-T:抗癌+抗病毒双重疗效,DCR达66.7%,HBV病毒同步清零
SCG101是针对乙肝表面抗原(HBsAg)特定表位的自体TCR-T疗法,可特异性靶向HBV相关肝细胞癌(HBV-HCC)细胞,通过细胞溶解与非细胞溶解机制同步清除肿瘤细胞及HBV感染细胞,一箭双雕实现“抗癌+抗病毒”!
《肝病学》杂志报道其临床研究(NCT05339321)显示,SCG101单药治疗HBV-HCC疗效与安全性俱佳:客观缓解率(ORR)33.3%,疾病控制率(DCR)66.7%,全组中位无进展生存期(PFS)12.8周,1例患者无进展状态超2年(含非靶病灶,详见下图D)。

▲图源“BMJ”,版权归原作者所有,如无意中侵犯了知识产权,请联系我们删除
SCG101还曾在2023年公布过突破性案例:1例患者单剂治疗后,靶病灶第28天缩小66%达部分缓解(PR),第4个月进一步缩小至74.5%且1处病灶完全消失(详见下面影像图),无进展生存期超6.9个月(未联合其他治疗);HBV病毒同步清零——肝脏免疫组化显示HBsAg阳性肝细胞100%清除,血清HBsAg从557.96IU/mL骤降至第7天1.3IU/mL、第28天0.08IU/mL(详见下图)。

▲图源“SCG”,版权归原作者所有,如无意中侵犯了知识产权,请联系我们删除
Liocyx-M004:晚期肝癌总生存期延长3倍
Liocyx-M004是全球首个针对HBV相关肝细胞癌的mRNA编码TCR-T疗法,也是首个获美国FDAIND批准并纳入快速通道的HBV病毒抗原靶向TCR-T疗法。
早期临床研究(NCT03899415)成果亮眼:患者中位总生存期达33.57个月,是FDA批准一线药物索拉非尼(10.7个月)的3倍多。其中1例患者疗效尤为突出:第二剂输注后,出现ALT、GGT、AST及胆红素短暂3级升高(提示明确靶向效应),肝脏肿瘤显著缩小超30%,疗效持续30个月(详见下图)。

▲图源“LIONTCR”,版权归原作者所有,如无意中侵犯了知识产权,请联系我们删除
ADP-A2AFP:难治性肝细胞癌DCR达66.7%,最长生存超5年
ADP-A2AFP是靶向甲胎蛋白(AFP)的亲和力增强型自体TCR-T疗法,亦是首个用于晚期难治性肝细胞癌(HCC)评估的TCR-T疗法。
《肝病学杂志》公布其I期首次人体临床研究(NCT03132792)振奋数据:21例不适合移植/手术的AFP阳性HCC或其他肿瘤患者,经环磷酰胺+氟达拉滨淋巴清除预处理后输注该疗法。
结果显示:总体反应率(ORR)9.5%、疾病控制率(DCR)66.7%,含1例完全缓解(CR)、1例部分缓解(PR)(缓解者均为HCC患者)及12例病情稳定(SD);14例SD持续6.7~73.0周,其中8例≥16周(详见图1),1例患者首次输注后随访近5年仍存活。

▲图源“Journal of hepatology”,版权归原作者所有,如无意中侵犯了知识产权,请联系我们删除
BST02 TIL细胞疗法:全球首个肝癌TIL,ORR达50%
BST02注射液是百吉生物研制的过继性免疫细胞治疗产品,由患者自身肿瘤浸润淋巴细胞扩增制成,适用于肝细胞癌、胆管癌等肝癌类型。其原理为:从患者肿瘤组织中采集富集肿瘤特异性淋巴细胞,经体外细胞因子诱导增殖并维持干性,扩增抗肿瘤T细胞后回输体内杀伤肿瘤。
2023年10月26日,BST02获美国FDA批准进入临床试验,成为全球首个针对肝癌的临床阶段TIL产品,亦是首个覆盖全肝癌类型的TIL疗法。
2025ASCO大会公布其突破性数据:疾病控制率(DCR)100%(2/2),客观缓解率(ORR)50%(1/2);最佳反应患者多个病灶持续显著缩小,肝脏靶病灶输注后84天缩小57.1%,门静脉癌栓缩小51.8%。

▲截图源自“ASCO”
NK细胞疗法
自然杀伤细胞(NK细胞)是造血干细胞分化而来的先天免疫细胞,作为人体第三类淋巴细胞,既能直接杀伤肿瘤细胞,又能通过调节肿瘤微环境发挥抗癌抗病毒双重作用,堪称对抗癌细胞的“天然斗士”!
2025年欧洲肿瘤内科学会(ESMO)大会公布自体NK细胞疗法联合肝动脉灌注化疗(HAIC)治疗中期/局部晚期肝细胞癌(HCC)Ⅱa期研究数据,疗效亮眼:经独立影像评估委员会(IRC)评估,客观缓解率(ORR)68.75%(完全缓解CR18.75%、部分缓解PR50.00%),疾病控制率(DCR)100%;中位缓解持续时间(DOR)为12.65个月(95%CI:4.60,22.21)。
mRNA疫苗LK101:肝癌生存期超4年
LK101注射液是编码肿瘤新生抗原的mRNA体外转染树突细胞(DC)制备的疫苗,兼具mRNA与DC疫苗双重优势,可带来长期抗癌效应,且耐受性好、安全性高。2023年3月15日,该药获国家药监局CDE批准新药临床试验(IND,受理号:CXSL2200612),适应症为晚期实体瘤。作为国内首个获美国FDAIND批准的肿瘤新生抗原mRNA疫苗、首个获批临床的个性化肿瘤新生抗原疫苗及完全个性化mRNA编辑产品,其临床进展堪称行业里程碑。
2024年ASCO大会上,公布了其治疗肝细胞癌的首次人体临床研究(NCT03674073)振奋数据,结果显示:疫苗接种组1年复发率18.2%、2年复发率36.4%,对照组分别达33.3%、51.4%;两组中位随访48.4个月(接种组)vs38.8个月(对照组),对照组3人死亡,接种组12名患者全部存活,意味着他们的生存期已超过4年。
好消息是,目前LK101注射液已启动肺癌领域探索,针对驱动基因阴性(不含KRAS突变)非小细胞肺癌。感兴趣的病友可致电医学部,进行初步评估或了解详细入排标准。

▲截图源自“ASCO”
DC疫苗联合TACE:中晚期肝癌疾病控制率达91.7%
树突状细胞(DC)作为专业抗原呈递细胞(APC),在适应性免疫系统的启动与调节中发挥关键作用。体外经HepG2细胞系裂解物脉冲处理的DC,可在部分晚期肝细胞癌患者中诱导抗原特异性T细胞反应。在此基础上,Ⅱ期ImmunoTACE临床试验进一步评估了该DC疫苗联合TACE治疗中晚期HCC的初步疗效,研究数据同步发表在2025《临床癌症研究》杂志中。
该研究纳入55例经组织学/细胞学确诊的中晚期HCC患者,随机分为两组:第1组(27例,TACE+环磷酰胺预处理)、第2组(28例,TACE+环磷酰胺预处理+DC输注),最终两组各24例可评估疗效。
结果显示:RECIST标准下,第2组中位无进展生存期(PFS)18.6个月,显著优于第1组的10.4个月(HR=0.43;单侧80%CI上限0.57;P=0.016,详见下图A),中位总生存期(OS)第2组25.7个月vs第1组21.5个月(HR=0.61;95%CI:0.27–1.38,详见下图C)。本地RECIST1.1标准下,第2组客观缓解率(ORR)54.2%(13/24)、疾病控制率(DCR)91.7%(22/24),均显著高于第1组的29.2%(7/24)、66.7%(16/24)。

▲图源“AACR”,版权归原作者所有,如无意中侵犯了知识产权,请联系我们删除
电场疗法突破晚期肝癌治疗瓶颈,疾病控制率91%
电场疗法与手术、放疗、化疗截然不同,其通过针对性调节特定频率电场,精准作用于癌细胞分裂相关蛋白质的电特性,破坏快速有丝分裂的癌细胞,阻止其增殖并促使自发死亡。
肝癌2期临床试验(HEPANOVA)数据亮眼:21例晚期肝癌患者中,客观缓解率(ORR)达9.5%,为索拉非尼单药治疗历史对照组的两倍以上;疾病控制率(DCR)76%,高于历史对照组的43%-52%。尤其在完成至少12周治疗的11例患者中,ORR提升至18%,疾病控制率更是高达91%!
2026肝癌患者:3大方向提升免疫,筑牢抗癌防线
肝癌患者本身免疫功能紊乱,而手术、放疗、化疗还会进一步损伤免疫—— 临床治疗后,快速调整免疫功能,是预防复发转移的关键!针对免疫低下或异常的患者,医生通常会建议胸腺肽类药物、干扰素注射,或细胞免疫回输等方式,助力恢复免疫识别与杀伤功能。具体可从三方面入手:
免疫调节剂:快速激活免疫基础
免疫调节剂属于非特异性免疫疗法,能助力免疫系统对抗癌细胞、细菌及病毒,包括胸腺肽、干扰素、白细胞介素等。临床中,放化疗后医生常会联合使用这类药物帮患者增强免疫,其中胸腺肽是最常用的免疫提升剂之一。
肠道菌群调节:解锁免疫"加速器"
肠道是人体最大消化器官,也是机体与外界接触最广泛的器官之一——约70%免疫细胞聚集于此,肠道内百万亿级微生物群(细菌、真菌、病毒等)共同守护健康。
研究证实,肠道菌群直接影响化疗、靶向及免疫治疗的疗效与安全性,其在癌症免疫治疗中的关键作用已获广泛认可。因此,不少患者通过针对性干预调节肠道菌群以提升疗效、改善预后,常见方式包括粪便微生物移植(FMT)、益生菌/益生元补充、饮食调理等。
临床研究(NCT04264975,FMT治疗晚期难治性胃肠道肿瘤)为肝癌患者带来突破:一例纳武单抗耐药的转移性肝癌(HCC)患者(R7),经持续免疫治疗联合粪便微生物移植(FMT)治疗后,疗效显著:肿瘤逐步缩小,第2次FMT治疗8周后缩小30.5%,后续进一步缩小至47.7%,最终实现部分缓解(PR,详见下图);同期血清甲胎蛋白(AFP)、PIVKA-II(拮抗剂Ⅱ诱导蛋白)显著下降。

▲图源“Cell Host Microbe”,版权归原作者所有,如无意中侵犯了知识产权,请联系我们删除
饮食调理:营养为免疫"充电"
治疗前后,肿瘤本身或放化疗、手术等会导致患者食欲下降、厌食,影响营养吸收与免疫力,进而降低治疗耐受度、增加复发风险。建议通过以下饮食原则补充营养:
1、平衡膳食:肿瘤患者首先需要做到平衡膳食,即通过食物摄入能够满足身体营养需求的多种营养素。其中尤其应保证足够的能量和蛋白质摄入,以利于维持体重稳定。
2、高蛋白膳食:按每公斤理想体重供给1.2~2.0g蛋白质,改善肿瘤导致的营养不良。
3、高纤维膳食:每日膳食纤维摄入≥30g,可在普食基础上适当增加富含膳食纤维的食物。
4、补充维生素与微量元素:重点摄入维生素A、C、D、E及铁、锌等,维持体重稳定,满足抗癌营养需求。
小编寄语
肝癌患者确诊后或当前治疗效果不佳时,最关心的就是能否找到权威专家,获取更优诊疗方案以改善预后。令人欣慰的是,过去十年,肝癌治疗取得长足进步,显著延长了晚期患者的生存期。
除了已提及的治疗方式,还有更多新药正在研发中,更多病友有望通过新药进一步延长生存。让我们共同期待:更多新药早日上市、造福患者!更盼2026年,肝癌病友都能战胜病魔,续写一个又一个十年生存期!医学部也将为病友提供会诊或第二医疗意见,助力大家了解更多治疗方向、做出明智选择。
参考资料
[1]Zhang Q,et al.Phase I study of C-CAR031, a GPC3-specific TGFβRIIDN armored autologous CAR-T, in patients with advanced hepatocellular carcinoma (HCC)[J]. 2024.
https://meetings.asco.org/abstracts-presentations/234377
[2]Meyer T,et al.Phase I trial of ADP-A2AFP TCR T-cell therapy in patients with advanced hepatocellular or gastric hepatoid carcinoma[J]. Journal of hepatology, 2025.
https://www.journal-of-hepatology.eu/article/S0168-8278(25)02404-3/fulltext
[3]Gonzalez-Cao M,et al.350 Long term survivors from Phase Ib-II trial of tumor-loaded monocyte-derived dendritic cell vaccination plus atezolizumab in ES-SCLC[J]. 2025.
https://aacrjournals.org/clincancerres/article/31/16/3412/763982/Addition-of-Dendritic-Cell-Vaccination-to
[4]https://www.liontcr.com/en-blog-posts/lion-tcr-announces-data-presentation-for-its-lead-t-cell-product-liocyx-m-at-easl-digital-liver-cancer-summit-2021
扫描进患者病友群
肺癌|胃癌|肝癌|结直肠癌|胰腺癌
乳腺癌|脑瘤|淋巴瘤|儿童肿瘤等
相关推荐
【胃癌CAR-T细胞疗法】IMC002注
EGFR突变型患者在非小细胞肺癌中约占30%,在欧美患者中约占10%~20%,在亚洲患者中占比超过50%,是非小细胞肺癌的第二大致癌驱动因素。...
全球肿瘤医生网 2020-08-05
晚期肺癌实现完全缓解!2026非小细胞肺
EGFR突变型患者在非小细胞肺癌中约占30%,在欧美患者中约占10%~20%,在亚洲患者中占比超过50%,是非小细胞肺癌的第二大致癌驱动因素。...
全球肿瘤医生网 2020-08-05
【淋巴瘤疫苗招募】WGc-043疫苗剑指
EGFR突变型患者在非小细胞肺癌中约占30%,在欧美患者中约占10%~20%,在亚洲患者中占比超过50%,是非小细胞肺癌的第二大致癌驱动因素。...
全球肿瘤医生网 2020-08-05
4个月婴儿确诊致命脑瘤被判死刑,革命性抗
EGFR突变型患者在非小细胞肺癌中约占30%,在欧美患者中约占10%~20%,在亚洲患者中占比超过50%,是非小细胞肺癌的第二大致癌驱动因素。...
全球肿瘤医生网 2020-08-05
胰腺癌实现完全缓解!2026癌症疫苗,T
EGFR突变型患者在非小细胞肺癌中约占30%,在欧美患者中约占10%~20%,在亚洲患者中占比超过50%,是非小细胞肺癌的第二大致癌驱动因素。...
全球肿瘤医生网 2020-08-05
22款肺癌新药扎堆上市!2026这些基因
EGFR突变型患者在非小细胞肺癌中约占30%,在欧美患者中约占10%~20%,在亚洲患者中占比超过50%,是非小细胞肺癌的第二大致癌驱动因素。...
全球肿瘤医生网 2020-08-05




![[field:title/]](/uploads/allimg/20200224/1-2002241I5262J.jpg)
![[field:title/]](/uploads/allimg/20200224/1-2002241I3461D.jpg)
![[field:title/]](/uploads/allimg/20200224/1-2002241H94LK.jpg)
![[field:title/]](/uploads/allimg/20200224/1-2002241HKW34.jpg)
![[field:title/]](/uploads/allimg/20200224/1-2002241H619327.jpg)
![[field:title/]](/uploads/allimg/20200224/1-2002241H34H52.jpg)
![[field:title/]](/uploads/allimg/20200224/1-2002241H22IH.jpg)
![[field:title/]](/uploads/allimg/20200224/1-2002241G93O18.jpg)

