2026肺癌病友必看:21款获批新药+6大免疫黑科技,横扫八大靶点,临床治愈之路再提速
2026年肺癌患者必看:21款获批的肺癌新药+6大免疫黑科技,横扫八大靶点,临床治愈之路再提速
新年钟声即将敲响,此刻,每一位病友都值得为自己鼓掌——凭借这份坚韧与勇气,你们已顺利跨越2025,向着5年临床治愈的目标又迈进了坚实一步!2026年,中美两国已获批上市多款肺癌新药,这也意味着,将有更多病友能迎来全新治疗方案与重生希望。
肺癌作为全球死亡率最高的癌症,是威胁人类健康的主要癌症之一。为此,医学部特别整理这份《2026肺癌抗癌速查清单》,涵盖治疗方案盘点、2025年获批上市的新药、2026年即将上市的新药/新技术及康复指导等,愿为你2026年的抗癌之路照亮前行方向,建议收藏备用。
肺癌的基础诊断与治疗方案
肺癌发病率与死亡率呈快速上升趋势,严重威胁人类健康与生命安全,已位居我国城市人口恶性肿瘤死亡原因首位。精准的诊断是规范治疗的前提,以下为肺癌核心诊断要点及非小细胞肺癌基础治疗方案详解。
精准诊断核心:病理分型与分期+基因检测
1、快速明确病理分型与分期:病理分型是肺癌精准治疗的核心基础——不同分型的癌细胞特性、治疗敏感方向差异显著,明确分型可精准匹配前沿治疗方案(如靶向药、免疫治疗、ADC药物等)。肺癌主要分为以下两类:
①非小细胞肺癌(NSCLC):约占肺癌病例的80%~85%,为最常见类型,可选治疗方案丰富,生存期提升空间较大,进一步可细分为肺腺癌、肺鳞癌、大细胞肺癌等亚型。
▼不同分型非小细胞肺癌患者五年生存率(来源:美国国家癌症研究院SEER数据库)

②小细胞肺癌(SCLC):约占肺癌病例的15%~20%,具有生长快、扩散早、恶性程度高的特点,但对放化疗敏感性较强。近年,免疫联合化疗已成为标准治疗方案,双抗、新型靶向药等临床试验持续推进,疗效不断突破。
2、基因检测:锁定精准治疗靶点:非小细胞肺癌患者应优先开展广谱NGS多基因检测,覆盖EGFR、KRAS、ALK、ROS1、BRAF、NTRK、MET、RET、HER2、NRG1等常见及罕见靶点,同时检测PD-L1表达水平;采用组织联合血浆检测可提升检测准确性。其中,EGFR、ALK等常见突变患者可直接匹配对应靶向药;无驱动基因突变者可考虑免疫治疗;罕见靶点目前也有针对性新药可选。
▼肺癌常见突变基因及其靶向药大盘点

非小细胞肺癌基础治疗方式
1、手术治疗:临床Ⅰ期、Ⅱ期及ⅢA-N1期患者首选手术切除,疗效直接影响预后;也可选择冷冻切除、射频消融等微创介入术,具有创伤小、恢复快的优势。
2、放射治疗:局部治疗手段,仅作用于放射区域,适用于病灶无法切除或Ⅰ期外术后辅助治疗。通过高能射线照射肿瘤及邻近区域,减杀残留癌细胞、降低局部复发率,联合化疗可进一步提升疗效,助力临床治愈。
3、化学治疗:肺癌治疗核心手段之一,90%以上患者可能需接受,肿瘤缓解率达40%~50%。虽难以根治,但能延长生存期、改善生活质量,临床多与手术、放疗联合应用。
4、靶向治疗:细胞分子水平的精准治疗,针对明确致癌位点设计药物(被称为“生物导弹”),可特异性杀伤肿瘤细胞且不损伤正常组织。能显著延长癌基因驱动型患者的无进展生存期和总生存期,不少晚期患者生存期可超5年、10年甚至更久。
5、免疫检查点抑制剂治疗:以PD-1类药物为代表,已成为晚期非小细胞肺癌核心治疗,从二线升级至一线,单药及联合方案均有充分循证医学证据。与传统治疗不同,其通过激活自身免疫细胞杀伤肿瘤:肿瘤微环境会诱导T细胞高表达PD-1,与肿瘤细胞的PD-L1/PD-L2结合导致T细胞功能受抑,而PD-1抗体可阻断该通路,恢复T细胞抗肿瘤能力。
2025年非小细胞肺癌最新获批的靶向、免疫药物
对肺癌患者而言,这是一个满载奇迹的时代!2025年,中国NMPA及美国FDA已最新批准23款非小细胞肺癌靶向与免疫药物,一举覆盖8种热门靶点,为无数病友带来全新治疗选择与生存希望!
EGFR靶向药
1、舒沃替尼(Sunvozertinib)
①药物名称:舒沃替尼(Sunvozertinib,DZD9008,舒沃哲®,Zegfrovy®)。
②研发公司:迪哲医药。
③治疗靶点:EGFR。
④获批时间/地区:2025年7月2日、2025年9月26日(美国)。
⑤适应证:
1)成人经含铂化疗进展、确诊存在EGFR外显子20插入突变(EGFR exon20ins)的局部晚期或转移性非小细胞肺癌(2025年7月2日)。
2)EGFR外显子20插入突变型非小细胞肺癌(2025年9月26日)。
2、利厄替尼片
①药物名称:利厄替尼片(奥壹新®,研发代号ASK120067)。
②研发公司:江苏奥赛康药业。
③治疗靶点:EGFR。
④获批时间/地区:2025年4月25日(中国)。
⑤适应证:具有EGFR外显子19缺失(19DEL)或外显子21置换突变(L858R)的局部晚期或转移性非小细胞肺癌(NSCLC)成人患者的一线治疗。
3、马来酸美凡厄替尼片
①药物名称:马来酸美凡厄替尼片(商品名:迈瑞东®)。
②研发公司:中美华东。
③治疗靶点:EGFR。
④上市时间:2025年10月24日(中国)。
⑤适应证:EGFR 21号外显子L858R置换突变的局部晚期或转移性非小细胞肺癌(NSCLC)成人患者一线治疗。
ROS1靶向药
4、他雷替尼
①药物名称:他雷替尼(Taletrectinib,DS-6051b,AB106,达伯乐®,Ibtrozi)。
②研发公司:葆元生物。
③治疗靶点:ROS1。
④获批时间/地区:2025年6月11日(美国)、2025年1月2日(中国)。
⑤适应证:
1)成人局部晚期或转移性ROS1阳性非小细胞肺癌(2025年6月11日,FDA)。
2)成人一线未经ROS1-TKI治疗的ROS1阳性局部晚期或转移性非小细胞肺癌(NSCLC)(2025年1月2日,中国NMPA)。
ALK靶向药
5、地罗阿克片
①药物名称:地罗阿克片(曾用名:达希替尼片,产品代号:XZP-3621)。
②研发公司:轩竹生物。
③治疗靶点:ALK。
④获批时间/地区:2025年8月22日(中国)。
⑤适应证:未经过间变性淋巴瘤激酶(ALK)抑制剂治疗的ALK阳性的局部晚期或转移性非小细胞肺癌。
KRAS靶向药
6、枸橼酸戈来雷塞片
①药物名称:戈来雷塞片(glecirasib,JAB-21822,艾瑞凯®)。
②研发公司:加科思。。
③治疗靶点:KRAS。
④获批时间/地区:2025年5月22日(中国)。
⑤适应证:单药治疗成人至少接受过一种系统性治疗的KRAS G12C突变型晚期非小细胞肺癌。
MET靶向药
7、Teliso-V
①药物名称:Teliso-V(Telisotuzumab vedotin,ABBV-399,Emrelis)。
②研发公司:艾伯维(AbbVie)。
③治疗靶点:c-Met。
④获批时间/地区:2025年5月14日(美国)。
⑤适应证:既往接受过全身治疗的局部晚期或转移性、高c-Met蛋白过表达的非鳞状NSCLC成人患者。
8、伯瑞替尼肠溶胶囊
①药物名称:伯瑞替尼肠溶胶囊(曾用名:维瑞替尼,英文名:vebreltinib,研发代号:APL-101/PLB-1001/CBT-101)。
②研发公司:鞍石生物。
③治疗靶点:MET。
④获批时间/地区:2025年6月30日(中国)。
⑤适应证:MET扩增的局部晚期或转移性非小细胞肺癌。
9、埃万妥单抗注射液
①药品名称:埃万妥单抗注射液(锐珂®,Rybrevant,amivantamab-vmjw,代号为JNJ6372)。
②研发公司:杨森。
③作用靶点:EGFR/MET。
④获批时间/地区:2025年2月11日(中国)、2025年4月25日(中国)、2025年8月8日(中国)。
⑤适应证:
1)EGFR20号外显子插入突变(EGFR20ins)的局部晚期或转移性非鳞状非小细胞肺癌(NSCLC)一线治疗(2025年2月11日首次获批)。
2)联合卡铂+培美曲塞,用于EGFR19号外显子缺失(19del)/21号外显子L858R突变且经EGFR-TKI治疗进展的局部晚期或转移性非鳞状NSCLC成人患者(2025年4月25日)。
3)联合拉泽替尼(LAZCLUZE)用于EGFR 19del/L858R突变的局部晚期或转移性NSCLC成人患者一线治疗(2025年8月8日)。
10、皮下注射阿米凡坦单抗
①药物名称:皮下注射阿米凡坦单抗(阿米凡坦单抗和透明质酸酶-IPUJ,Rybrevant Faspro®)。
②研发公司:杨森制药。
③治疗靶点:EGFR/MET。
④获批时间/地区:2025年12月18日(美国)。
⑤适应证:EGFR突变的非小细胞肺癌。
HER2靶向药
11、宗格替尼
①药物名称:宗格替尼(Zongertinib,BI 1810631,圣赫途®、Hernexeos®)。
②研发公司:勃林格殷格翰公司。
③治疗靶点:HER2。
④获批时间/地区:2025年8月8日(美国)、2025年8月29日(中国)。
⑤适应证:
1)成人经FDA批准检测证实肿瘤存在HER2(ERBB2)TKD激活突变、且既往接受过全身治疗的不可切除或转移性非鳞状NSCLC(2025年8月8日,中国)。
2)成人存在HER2(ERBB2)激活突变、既往接受过至少一种系统治疗的不可切除局部晚期或转移性非小细胞肺癌(2025年8月29日,中国)。
12、注射用瑞康曲妥珠单抗
①药物名称:瑞康曲妥珠单抗(商品名:艾维达®)。
②研发公司:恒瑞医药。
③治疗靶点:HER2。
④获批时间/地区:2025年5月29日(中国)。
⑤适应证:单药用于成人存在HER2(ERBB2)激活突变且既往接受过至少一种系统治疗的不可切除的局部晚期或转移性非小细胞肺癌。
13、宗艾替尼片
①药物名称:宗艾替尼片(又名宗格替尼,英文名:Zongertinib,研发代号:BI 1810631,圣赫途®、Hernexeos®)。
②研发公司:勃林格殷格翰。
③治疗靶点:HER2。
④获批时间/地区:2025年8月29日(中国)。
⑤适应证:成人存在HER2(ERBB2)激活突变,且既往接受过至少一种系统治疗的不可切除的局部晚期或转移性NSCLC。
14、塞瓦替尼(Sevabertinib)
①药品名称:塞瓦替尼(Sevabertinib,BAY 2927088,Hyrnuo®)。
②研发公司:拜耳。
③治疗靶点:HER2/EGFR。
④获批时间/地区:2025年11月19日(美国)。
⑤适应证:经治的HER2突变晚期NSCLC成人患者。
PD-1/PD-L1
15、度伐利尤单抗
①药物名称:度伐利尤单抗(Durvalumab,英飞凡®,Imfinzi®)。
②研发公司:阿斯利康。
③治疗靶点:PD-L1。
④获批时间/地区:2025年11月24日、2025年6月4日(中国)。
⑤适应证:
1)单药用于成人接受铂类化疗后未出现疾病进展的局限期小细胞肺癌(LS-SCLC)(2025年6月4日)。
2)接受铂类药物为基础的同步或序贯放化疗后未出现疾病进展,且未携带已知表皮生长因子受体(EGFR)敏感突变或间变性淋巴瘤激酶(ALK)重排的不可切除Ⅲ期非小细胞肺癌(2025年11月24日)。
16、阿替利珠单抗
①药物名称:阿替利珠单抗(atezolizumab,商品名Tecentriq®)。
②研发公司:罗氏制药。
③治疗靶点:PD-L1。
④获批时间/地区:2025年11月14日(中国)。
⑤适应证:晚期非小细胞肺癌。
17、纳武利尤单抗(单药)
①药物名称:纳武利尤单抗(nivolumab,Opdivo,欧狄沃®)。
②研发公司:百时美施贵宝(BMS)。
③治疗靶点:PD-1。
④获批时间/地区:2025年4月22日(中国)。
⑤适应证:成人EGFR突变或ALK重排的可手术切除的II、IIIA和IIIB期非小细胞肺癌。
18、依沃西单抗(单药)
①药物名称:依沃西单抗(Ivonescimab,AK112)。
②研发公司:康方生物。
③治疗靶点:PD-1/VEGF。
④获批时间/地区:2025年4月25日(中国)。
⑤适应证:PD-L1阳性、EGFR、ALK突变阴性的局部晚期或转移性非小细胞肺癌。
19、“O+Y”双免方案(纳武利尤单抗+伊匹木单抗)
①药物名称:纳武利尤单抗注射液(Opdivo®,欧狄沃®,nivolumab,NIVO)+伊匹木单抗注射液(Yervoy®,逸沃®,ipilimumab,IPI)。
②研发公司:百时美施贵宝。
③治疗靶点:PD-1。
④获批时间/地区:2025年3月31日(肝癌)、2025年7月28日(肺癌)(中国)。
⑤适应证:用于PD-L1 TPS≥1%、无EGFR突变或ALK阴性的转移性非小细胞肺癌一线治疗,成为国内首个获批的肺癌双免疫联合疗法。
TROP2靶向药
20、德达博妥单抗(Dato-DXd)
①药物名称:德达博妥单抗(Dato-DXd,代号:DS-1062a,datopotamab deruxtecan,Datroway®)。
②研发公司:第一三共株式会社。
③治疗靶点:TROP2。
④获批时间/地区:2025年1月17日(乳腺癌)、2025年6月23日(非小细胞肺癌)(美国)。
⑤适应证:成人既往接受过EGFR靶向治疗与铂类化疗的局部晚期或转移性EGFR突变非小细胞肺癌。
21、芦康沙妥珠单抗
①药物名称:芦康沙妥珠单抗(SKB264,MK-2870,Sacituzumab Tirumotecan,sac-TMT,佳泰莱®)。
②研发公司:科伦博泰。
③治疗靶点:TROP-2。
④获批时间/地区:2025年3月10日(中国)。
⑤适应证:EGFR-TKI和含铂化疗失败的局部晚期或转移性EGFR突变非小细胞肺癌。
非小细胞肺癌73款已获批上市的靶向/免疫治疗方案大全





2026即将上市的肺癌新药
多款火遍癌友圈的明星药物与新技术,凭借显著疗效斩获突破性治疗认定及优先审批,其中部分将于 2026 年上市,值得肺癌病友满心期待!
塞瓦替尼(BAY 2927088)
1、药品简介
①药品名称:塞瓦替尼(Sevabertinib,BAY 2927088,Hyrnuo®)。
②研发公司:拜耳。
③适应证:非小细胞肺癌。
④预计上市时间:2026年Q2。
2、药物详情
塞伐替尼(通用名:Sevabertinib,研发代号:BAY2927088)是拜耳研发的口服小分子HER2选择性酪氨酸激酶抑制剂(TKI)。
2025年7月23日,该药的上市申请正式获中国CDE受理,并被纳入优先审评通道,拟适应症明确为携带HER2(ERBB2)激活突变且既往接受过一种全身性治疗的晚期NSCLC成人患者,预计2026年第二季度(Q2)在中国获批。
塔拉妥单抗
1、药品简介
①药物名称:塔拉妥单抗(Tarlatamab-dlle,Imdelltra®)。
②研发公司:安进公司。
③适应证:广泛期小细胞肺癌。
④预计上市时间:2026年Q1。
2、药物详情
塔拉妥单抗是安进研发的首款DLL3靶向双特异性T细胞接合剂(BiTE®),也是目前唯一获批用于侵袭性肺癌的DLL3靶向BiTE疗法,更是小细胞肺癌治疗领域的重要里程碑。2025年7月,该药的上市申请获NMPA受理并纳入优先审评,预计2026年第一季度(Q1)获批。
2026年值得关注的六大肺癌新技术
肺癌已进入“精准诊疗”与“全程管理”时代,治疗不再“一刀切”,而是基于基因分型、病理特征和患者整体状况的个体化战争。
mRNA疫苗
Vx-001是全球首个“优化隐蔽肽”策略创新疫苗,靶向通用肿瘤抗原TERT(端粒酶逆转录酶),可精准诱导特异性Vx-001/TERT572CD8⁺细胞毒性T细胞,其核心免疫反应与晚期/转移性非小细胞肺癌(NSCLC)患者总生存期(OS)改善密切相关。
《英国癌症杂志》发布其II期临床试验(NCT01935154)最终结果:这款化疗后维持免疫疗法,对IV期NSCLC患者的临床活性获明确验证。研究纳入221例HLA-A*201阳性、TERT表达的转移性NSCLC患者。
结果显示:Vx-001组中位OS14.3个月(安慰剂组11.3个月,HR=0.96,p=0.86,详见下图a),中位TTF3.6个月vs3.5个月(HR=0.89,p=0.86,详见下图b),33.7%(30例)患者疾病控制超6个月(安慰剂组25.7%,26例)。

▲图源“Br J Cancer”,版权归原作者所有,如无意中侵犯了知识产权,请联系我们删除
如今,这款抗癌黑科技终于正式启动临床了!国内患者现可通过医学部,了解详细的入排标准,或初步评估是否符合参加资格。
古巴CIMAvax-EGF肺癌疫苗
CIMAvax-EGF是晚期肺癌生物免疫疫苗,能激发自身免疫系统遏制癌症进展,无基因突变的患者也可获益!
《癌症杂志》真实世界研究证实其疗效:106例一线治疗后病情稳定的晚期非小细胞肺癌(NSCLC)患者接受该疫苗治疗,自首次注射起中位总生存期14.6个月(95%CI:10.6-18.8),一线治疗联合疫苗后中位总生存期达22.46个月(95%CI:19.92-25.0),6、12、24个月生存率分别达97.7%、82.7%、45.5%,这意味着近半数患者生存期≥2年!
CBC还报道过一则振奋人心的案例:68岁终生吸烟者M先生,5年前确诊晚期NSCLC时预期寿命不足1年,经多次放化疗后仍预后极差。2011年远赴古巴接受CIMAvax-EGF治疗,3个月后症状明显减轻、癌细胞受控,如今已无复发存活超5年,连医生都直呼不可思议!

▲图源“CBC”,版权归原作者所有,如无意中侵犯了知识产权,请联系我们删除
树突细胞(DC)疫苗
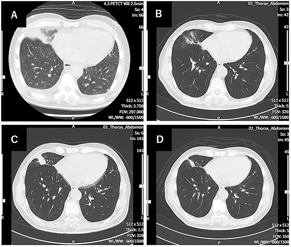
树突状细胞(DC)疫苗疗法,核心是通过呈递癌症抗原增强患者抗肿瘤免疫力。《Cureus》报道过WT1-DC疫苗治疗晚期肺癌的显著疗效案例:69岁男性确诊右肺中叶IV期鳞状细胞癌,因不耐受手术及放疗,接受WT1-DC疫苗+紫杉醇+卡铂AUC6化疗联合治疗。
治疗获益明确:CT显示,治疗前右下肺原发灶伴胸腔积液,114天后原发灶几乎消失;213天出现复发迹象,338天后复发灶缩小(详见下图)。PET-CT显示,治疗前除原发灶外,双侧肺、骨、肝多发转移,479天后仅残留右肺2个1.0cm病灶、肝脏1个1.7cm小转移灶,无新增转移。最终患者临床状态良好,PS评分为1分,可正常生活!

▲图源“Cureus”,版权归作者所有,如无意中侵犯了知识产权,请联系我们删除
TIL疗法
GC101是君赛生物自主研发的全球首款无需清淋预处理、无需IL-2注射的天然TIL细胞新药。2025年ESMO-IO大会首次公布其I期临床试验(NCT05417750)振奋数据:晚期非小细胞肺癌患者客观缓解率(ORR)41.7%(5/12,95%CI:15.2-72.3%),疾病控制率(DCR)66.7%(8/12,95%CI:34.9-90.1%,含5例部分缓解、3例疾病稳定),12个月总生存率高达66.7%(95%CI:33.7-86.0%)!
此外,国际顶级期刊《癌症探索》报道了lifileucel(Amtagvi)TIL疗法的振奋案例:41岁M先生确诊晚期粘液性肺腺癌(KRASG12D突变、PD-L10%),经卡铂+紫杉醇+派姆单抗三线治疗进展后接受TIL治疗,6周病灶显著缩小,12周肿瘤缩小81%!

NK细胞
SNK01是美国NKGen公司开发的自体NK细胞疗法,抗癌活性更强,已证实对多种肺癌细胞系有杀伤作用!
《癌症免疫治疗杂志》公布其I/IIa期研究(NCT04872634)振奋数据:12例入组患者客观缓解率(ORR)25%,其中SNK01联合西妥昔单抗/吉西他滨/卡铂组ORR高达50%;疾病控制率(DCR)100%(3例部分缓解PR、9例病情稳定SD,详见下图C),中位无进展生存期(PFS)143天——联合西妥昔单抗组PFS145天(114–N/E天),联合吉西他滨/卡铂组143天(107–246天)。

▲图源“BMJ”,版权归原作者所有,如无意中侵犯了知识产权,请联系我们删除
更令人振奋的是,1例吉非替尼耐药的腺癌患者,接受该联合方案二线治疗后,影像学检查显示病灶显著缩小(详见下图A)!

▲图源“BMJ”,版权归原作者所有,如无意中侵犯了知识产权,请联系我们删除
电场疗法
肿瘤电场疗法(TTFields)通过非侵入性电场破坏癌细胞分裂,借助便携式设备(含场发生器、皮肤阵列等)作用于肿瘤部位。其优势显著:居家佩戴即可治疗,不干扰日常生活;能精准靶向癌细胞(依托其分裂特性),对健康细胞几乎无影响!
《肺癌》杂志报道的单组I/II期试验显示,TTFields联合培美曲塞用于晚期非小细胞肺癌(NSCLC)二线治疗,安全性良好,疗效或优于单用培美曲塞,治疗区域疾病控制效果突出!研究纳入42例无法手术的IIIB期(伴胸腔积液)/IV期NSCLC进展患者,结果显示:部分缓解(PR)率14.6%(6例),病情稳定(SD)率48.8%(20例),中位总生存期(OS)13.8个月,1年生存率57%。

▲图源“Lung cancer”,版权归原作者所有,如无意中侵犯了知识产权,请联系我们删除
2026非小细胞肺癌患者:3大方向提升免疫,筑牢抗癌防线
肺癌患者本身免疫功能紊乱,而手术、放疗、化疗还会进一步损伤免疫—— 临床治疗后,快速调整免疫功能,是预防复发转移的关键!针对免疫低下或异常的患者,医生通常会建议胸腺肽类药物、干扰素注射,或细胞免疫回输等方式,助力恢复免疫识别与杀伤功能。具体可从三方面入手:
免疫调节剂:快速激活免疫基础
免疫调节剂属于非特异性免疫疗法,能助力免疫系统对抗癌细胞、细菌及病毒,包括胸腺肽、干扰素、白细胞介素等。临床中,放化疗后医生常会联合使用这类药物帮患者增强免疫,其中胸腺肽是最常用的免疫提升剂之一。
肠道菌群调节:解锁免疫"加速器"
越来越多研究证实,肠道菌群会影响化疗、靶向治疗、免疫治疗的疗效与安全性。益生菌作为“有益活性微生物”,能有效提升免疫功能 ——《癌症免疫学研究》报道的日本临床研究显示,118 例晚期非小细胞肺癌患者中,使用丁酸梭菌益生菌疗法(CBT)的患者,中位无进展生存期(PFS)达 250 天(未使用者仅 101 天),总生存期(OS)显著延长(361 天 vs 未达到,P=0.009,详见下图)。

▲图源“Cancer Immunol Res”,版权归原作者所有,如无意中侵犯了知识产权,请联系我们删除
饮食调理:营养为免疫"充电"
治疗前后,肿瘤本身或放化疗、手术等会导致患者食欲下降、厌食,影响营养吸收与免疫力,进而降低治疗耐受度、增加复发风险。建议通过以下饮食原则补充营养:
1、高蛋白膳食:按每公斤理想体重供给 1.2~2.0g 蛋白质,改善肿瘤导致的营养不良;
2、高纤维膳食:每日膳食纤维摄入≥30g,可在普食基础上适当增加富含膳食纤维的食物;
3、补充维生素与微量元素:重点摄入维生素 A、C、D、E 及铁、锌等,维持体重稳定,满足抗癌营养需求。
小编寄语
肺癌患者确诊后或当前治疗效果不佳时,最关心的就是能否找到权威专家,获取更优诊疗方案以改善预后。令人欣慰的是,过去十年,肺癌治疗取得长足进步,显著延长了晚期患者的生存期。
除了已提及的治疗方式,还有更多新药正在研发中,更多病友有望通过新药进一步延长生存。让我们共同期待:更多新药早日上市、造福患者!更盼2026年,肺癌病友都能战胜病魔,续写一个又一个十年生存期!医学部肺癌专家也将为病友提供会诊或第二医疗意见,助力大家了解更多治疗方向、做出明智选择。
参考资料
[1]Flores Vega YI,et al.Survival of NSCLC Patients Treated with Cimavax-EGF as Switch Maintenance in the Real-World Scenario. J Cancer. 2023 Apr 1;14(5):874-879. doi: 10.7150/jca.67189.
https://www.jcancer.org/v14p0874.htm
[2]Choi M G,et al.Safety and efficacy of SNK01 (autologous natural killer cells) in combination with cytotoxic chemotherapy and/or cetuximab after failure of prior tyrosine kinase inhibitor in non-small cell lung cancer: non-clinical mouse model and phase I/IIa clinical study[J]. Journal for Immunotherapy of Cancer, 2024, 12(3).
https://jitc.bmj.com/content/12/3/e008585
扫描进患者病友群
肺癌|胃癌|肝癌|结直肠癌|胰腺癌
乳腺癌|脑瘤|淋巴瘤|儿童肿瘤等
相关推荐
2026肺癌病友必看:21款获批新药+6
EGFR突变型患者在非小细胞肺癌中约占30%,在欧美患者中约占10%~20%,在亚洲患者中占比超过50%,是非小细胞肺癌的第二大致癌驱动因素。...
全球肿瘤医生网 2020-08-05
国研突破!近90%患者肿瘤显著缩小,新一
EGFR突变型患者在非小细胞肺癌中约占30%,在欧美患者中约占10%~20%,在亚洲患者中占比超过50%,是非小细胞肺癌的第二大致癌驱动因素。...
全球肿瘤医生网 2020-08-05
终于盼到了!2026年13款抗癌新药有望
EGFR突变型患者在非小细胞肺癌中约占30%,在欧美患者中约占10%~20%,在亚洲患者中占比超过50%,是非小细胞肺癌的第二大致癌驱动因素。...
全球肿瘤医生网 2020-08-05
控病率95%!JMT101+奥希替尼强强
EGFR突变型患者在非小细胞肺癌中约占30%,在欧美患者中约占10%~20%,在亚洲患者中占比超过50%,是非小细胞肺癌的第二大致癌驱动因素。...
全球肿瘤医生网 2020-08-05
DC疫苗联合疗法重创结直肠癌,中位总生存
EGFR突变型患者在非小细胞肺癌中约占30%,在欧美患者中约占10%~20%,在亚洲患者中占比超过50%,是非小细胞肺癌的第二大致癌驱动因素。...
全球肿瘤医生网 2020-08-05
【BRAF药物】新一代靶向药ST-189
EGFR突变型患者在非小细胞肺癌中约占30%,在欧美患者中约占10%~20%,在亚洲患者中占比超过50%,是非小细胞肺癌的第二大致癌驱动因素。...
全球肿瘤医生网 2020-08-05




![[field:title/]](/uploads/allimg/20200224/1-2002241I5262J.jpg)
![[field:title/]](/uploads/allimg/20200224/1-2002241I3461D.jpg)
![[field:title/]](/uploads/allimg/20200224/1-2002241H94LK.jpg)
![[field:title/]](/uploads/allimg/20200224/1-2002241HKW34.jpg)
![[field:title/]](/uploads/allimg/20200224/1-2002241H619327.jpg)
![[field:title/]](/uploads/allimg/20200224/1-2002241H34H52.jpg)
![[field:title/]](/uploads/allimg/20200224/1-2002241H22IH.jpg)
![[field:title/]](/uploads/allimg/20200224/1-2002241G93O18.jpg)

