欢喜哥离世敲警钟!原来沉默癌早有对策,早筛+创新疗法+术后防火墙,每个环节都能救命
欢喜哥肾癌离世,原来沉默癌早有对策,肾癌早筛+创新疗法+术后管理,每个环节都能救命
据“联合早报”2025年10月28日消息,香港资深艺人、曾在《使徒行者》中饰演“欢喜哥”、被观众亲切称为“绿叶王”的许姓老戏骨,于当日凌晨2时30分,因肾癌扩散引发多器官功能衰竭不幸离世,享年76岁。据悉,他生前长期带病工作,即便病危入院前仍坚持拍戏——一周前还能正常约访记者,却在短时间内病情急转直下陷入昏迷,最终回天乏术,生命的
骤然落幕令人猝不及防,也让他的离去更添惋惜。
而他的病逝更是揭开了肾癌这一“沉默杀手”的残酷面纱:早期症状隐匿,一旦出现转移往往预后极差。我们不禁追问:为何肾癌多发现即晚期?如何早期捕捉信号、从源头预防癌症?现阶段又有哪些抗癌新技术能为患者争取一线生机?
小编也希望通过本文,让更多人认识并重视癌症的早期筛查与前沿治疗,真正做到早发现、早干预、早治疗,带着“珍惜当下、不惧时间、向阳而生”的态度守护健康。正如他曾在视频中传递的信念:“世界上什么都不公平,唯独时间最公平,努力不是为了得到更多,而是为了人生有更多的选择”!

▲图源“zaobao”,版权归原作者所有,如无意中侵犯了知识产权,请联系我们删除
肾癌为何大多发现就是晚期?这三个核心原因必须重视
肾癌起源于肾脏,其中肾细胞癌(RCC)是最常见类型,约占肾癌总数的 90%。临床中多数患者确诊时已属晚期,背后核心原因可归结为三点:
1、缺乏早期筛查机制:与肺癌、乳腺癌等有常规推荐筛查项目的癌症不同,肾癌目前尚无广泛普及的常规筛查方案,多数人不会主动做肾脏相关检查(如肾脏超声、CT)。即便参与体检,项目也多以基础检查为主,若未针对性排查肾脏,早期微小肿瘤很容易被遗漏。
2、早期症状隐匿:肾癌早期肿瘤体积小,对肾脏及周围组织影响微弱,几乎不会出现明显症状。一旦出现腹部包块、腰痛(肿瘤压迫周围组织)、肉眼血尿(肿瘤侵犯肾盏或肾盂)等典型表现,往往意味着肿瘤已增大、侵犯周围结构甚至发生转移,此时病情多已进入中晚期。
3、转移早且“沉默”:肾癌具有早期转移的特性,转移初期(常见于肺、骨)多仅引发轻微、非特异性症状,比如轻微咳嗽、乏力、偶发骨痛。这些症状极易被误认为普通感冒、疲劳等常见问题,导致诊断延误,最终发现时病情已发展至晚期。
早期筛查:抓住"无症状期"的黄金窗口
欢喜哥的病情发展如此迅速,很可能与肾癌“早期隐匿”的特性直接相关。这类癌症早期极少出现“血尿、腰痛、腹部肿块”的典型三联征,导致多数患者确诊时已处于中晚期。遗憾的是,我国肾癌筛查覆盖率不足15%,多数患者直到出现明显症状才就医,最终错失最佳治疗时机。因此,针对性筛查成为挽救生命的关键环节。
01、明确高危人群,精准筛查
根据《居民常见恶性肿瘤筛查和预防推荐(2025版)》,明确推荐以下人群为高危人群,应重点进行筛查:
①遗传史:一级亲属有肾癌(如肾细胞癌的某些亚型)家族史;家族中有肾癌病史者,尤其是有遗传性疾病(如HLRCC综合征、VHL综合征、遗传性乳头状肾细胞癌、BHD综合征等)者。
②年龄55岁以上,尤其是男性。
③有慢性肾病(如慢性肾病或肾功能不全),或长期接受透析者,尤其是多囊肾病患者。
④吸烟、肥胖[体重指数(BMI)>30]、长期血压高人群。
⑤长期使用某些药物(如非那西丁、非甾体抗炎药、利尿剂等)。
⑥有职业暴露史者,如长期接触石棉、镉、有机溶剂等化学物质的人群(如报业印刷工人、焦炭工人、石油化工产品工作者等)。
⑦饮食不健康者,如长期摄入高脂肪、高蛋白食物,较少食用新鲜水果和蔬菜,以及长期饮用过多咖啡者。除了肾癌外,我们之前还曾介绍过“26类常见肿瘤的高危对象识别与筛查建议(2025版)”。
02、筛查手段:从超声到无创检测
①肾脏检查:作为首选初筛手段,无创且便捷,能发现直径1厘米以上的肿瘤;
②尿常规检查:肾癌可能合并血尿,尿常规检查有助于发现隐血阳性或红细胞数目超标的情况,从而提示可能患有肾癌。
③CT/MRI:超声发现异常后进一步检查,可明确肿瘤大小、位置及浸润范围。
④遗传咨询和基因检测:对于有遗传性家族史的高危人群,建议先接受遗传咨询和基因检测,若携带突变则需加强筛查。
癌症预防:从生活方式降低肾癌的发生风险
肾癌的病因虽未完全明确,但可控危险因素已得到充分证实。结合《2025中国肿瘤整合诊治指南(CACA)—肾癌》及流行病学研究,从源头预防可显著降低发病风险。
01、管理高血压:保护肾脏健康
高血压及其相关药物使用可能增加肾癌风险。定期监测血压,通过低盐饮食、运动或药物控制血压稳定,不仅护心也护肾。
02、控体重:避免代谢异常相关风险
肥胖与肾癌发病密切相关,尤其是腹型肥胖者风险更高。有研究发现,通过合理饮食与规律运动将BMI控制在18.5-23.9的健康范围,可降低20%-30%的肾癌风险。
03、戒烟:最明确的防控措施
吸烟是目前唯一公认的肾癌环境危险因素,正在吸烟者患病相对危险度达1.6。研究显示,戒烟后肾癌风险会随时间逐渐下降,戒烟10年以上者风险可接近非吸烟者水平。
04、其他防护:避免接触有害物质
长期接触重金属、化学溶剂等职业人群需做好防护;避免滥用止痛药和含马兜铃酸的草药,减少肾脏损伤风险。
肾癌治疗新突破:五大前沿疗法齐发力,为患者带来新曙光
欢喜哥因肾癌扩散离世的悲剧,折射出晚期肾癌治疗曾面临的困境。肾细胞癌占肾癌病例的 90% 以上,传统化疗放疗效果有限,转移性患者五年生存率仅约 12%。但随着医学不断进步,各类前沿抗癌手段陆续问世,部分癌症患者也因此迎来了治愈的希望。下面,小编将为大家简单盘点几类表现突出的前沿抗癌手段,供癌友们参考。
01、靶免联合治疗:延长生存期近一倍
2025年4月25日,中国肾癌治疗领域迎来首个且唯一获批的一线靶免联合治疗方案,为中高危患者带来新希望。该方案由阿昔替尼(英立达®)联合特瑞普利单抗构成,专门用于中高危不可切除或转移性肾细胞癌(RCC)患者的一线治疗。
RENOTORCH研究数据显示:接受该联合治疗的患者,中位无进展生存期较对照组提升近1倍,疾病进展或死亡风险降低35%,临床获益显著。目前,这一联合治疗方案已获多个国内外权威指南的高级别推荐。且阿昔替尼已纳入医保,大幅提升了可及性。
02、CTX130 CAR-T:首次实现18个月持久完全缓解
在第37届癌症免疫治疗学会年会(SITC)上,一则CTX130 CAR-T细胞治疗透明细胞肾细胞癌(RCC)的案例引发关注——患者成功实现持久完全缓解(CR),疗效惊艳!
该案例中的64岁男性患者,确诊透明细胞肾细胞癌后,虽接受过阿替珠单抗联合卡博替尼治疗,但病情仍复发且癌细胞转移至肺部和胸膜。随后,患者入组CTX130治疗肾细胞癌的1期临床试验(NCT04438083)。
治疗结果超出预期:患者接受CTX130治疗后先达到部分缓解(PR),治疗第3个月更奇迹般实现完全缓解(CR);至治疗第18个月复查时,完全缓解状态仍持续维持。这也是异基因CAR-T细胞治疗在肾癌领域首次达成如此持久的完全缓解,为晚期肾癌治疗带来新突破。

▲图源“BMJ”,版权归原作者所有,如无意中侵犯了知识产权,请联系我们删除
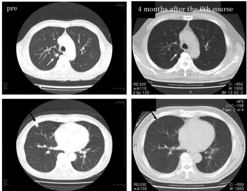
03、γ-δT细胞:肾癌肺转移患者实现2年持久完全缓解
γδ-T细胞是罕见T细胞亚群,虽仅占T淋巴细胞的0.5%~5%,但功能全面强大,堪称T细胞中的“特种部队”。其独特优势在于兼具抗肿瘤与抗感染双重作用,是天然免疫与获得性免疫的“桥梁”,在免疫响应中不可或缺。
《Anticancer Research》曾报道一则经典案例:一位61岁男性患者确诊位右侧透明细胞型肾细胞癌(3级,pT1b期)伴肺转移,行根治性肾切除术后接受3个月干扰素α(IFN-α)治疗,CT显示肿瘤负荷无明显变化。
治疗转折出现在IFN-α洗脱期1个月后:患者通过白细胞分离术获取外周血单核细胞(PBMC),静脉注射IL-2与唑来膦酸,随后输注活化的Vγ2Vδ2T细胞。
疗效令人振奋:患者多发性肺转移灶在回输Vγ2Vδ2 T细胞3个疗程后显著缓解,6个疗程后完全消失;完成最后一个疗程后,患者持续2年保持完全缓解(CR)状态(详见下图),且未接受额外针对肾癌的治疗。

▲图源“anticancer research”,版权归原作者所有,如无意中侵犯了知识产权,请联系我们删除
04、DC疫苗:无靶向可用肾癌患者获持久完全缓解
树突状细胞疫苗(DC疫苗)通过从患者体内提取DC细胞、负载特定肿瘤相关抗原(TAA)后回输,激发自身免疫系统对抗癌症。
《抗癌研究》杂志曾报道一项“新抗原肽脉冲DC疫苗单药治疗晚期实体肿瘤”的临床研究,多例患者治疗反应良好且无严重不良事件,其中一例肾细胞癌肺转移患者疗效尤为显著。
该患者2018年7月术后2个月出现多发肺转移,因肺静脉血栓无法使用靶向药,遂于2019年1月起接受新抗原肽脉冲DC疫苗治疗。
结果显示:接种3剂后获部分缓解(PR);接种6剂后接近完全缓解(CR),肿瘤基本消失;2020年8月复查CT,证实其维持持久完全缓解(CR)(详见下图)。

▲图源“Anticancer research”,版权归原作者所有,如无意中侵犯了知识产权,请联系我们删除
05、益生菌联合免疫治疗:肾癌缓解率提升近4倍
全球知名期刊《Nature Medicine》报道了一项1期临床研究(NCT05122546):评估益生菌CBM588联合纳武单抗+卡博替尼,治疗晚期转移性肾细胞癌(mRCC)的疗效。
结果显示:益生菌联合治疗组(CBM588+卡博替尼+纳武单抗)的客观缓解率(ORR)达74%,而对照组(仅接受卡博替尼+纳武单抗治疗)ORR仅20%,显著提高近4倍。此外,联合治疗组6个月无进展生存(PFS)率达84%,显著高于对照组的60%,无进展生存优势明显(详见下图)。

▲图源“Anticancer research”,版权归原作者所有,如无意中侵犯了知识产权,请联系我们删除
抓好术后管理:筑牢复发/转移"防火墙",护好来之不易的康复成果
对已接受治疗的癌症患者而言,复发转移是重要威胁。即便通过治疗清除了现存癌细胞,若术后未及时去除致癌高危因素,仍可能导致癌症卷土重来。据统计,约三分之一的肾癌患者会发展为转移性疾病,因此术后规范管理至关重要。
01、术后随访:动态监测病情变化
指南推荐术后随访频率:前2年每3-6个月复查1次(含肾脏超声、血生化);2-5年每6个月1次;5年后每年1次。高危患者需加做胸部CT或PET-CT,同时可通过三类检测早发现复发迹象:
①循环肿瘤细胞(CTC)检测:分析血液中脱落的恶性细胞,评估肿瘤存在状态、进展程度及治疗效果。
②循环肿瘤DNA(ctDNA)检测:捕捉基因水平异常变化,先于影像学发现癌变,实现“早筛查、早发现、早诊断、早治疗”。
③微小残留病灶(MRD)检测:发现治疗后残留的微量癌细胞,为评估复发风险、制定方案提供依据。
02、个性化疫苗:精准清除残留癌细胞
2025年《Nature》1期临床研究显示,肾癌个性化新抗原疫苗成效显著:9例晚期肾癌术后患者接受治疗后,中位随访3.3年均未复发,7例患者抗肿瘤T细胞数量飙升166倍。这类疫苗能为免疫系统发放“癌细胞通缉令”,精准识别并清除残留病灶,为高复发风险患者提供长期保护。
03、生活方式干预:巩固治疗效果
术后保持健康体重、戒烟限酒、规律运动,同时控制血压血糖,可显著降低复发风险。
04、饮食调理:均衡营养降风险
参考美国癌症研究所(AICR)与美国癌症协会(ACS)建议:合理搭配饮食(补充蛋白质,多吃新鲜果蔬、全谷物);限制红肉及加工肉制品摄入(建议≤90g);补充维生素、微量元素等,以提升免疫力、改善临床结局。
05、肠道菌群调节:筑牢免疫防线
人体70%的免疫细胞集中在肠道,肠道菌群作为体内生态关键“守护者”,是癌症防治的“隐形防线”。科学调节不仅能夯实健康基础,还能提升抗癌及免疫治疗效果,缓解手术与放化疗副作用。主要调节方式包括:适当补充益生菌与益生元、粪便微生物组移植(FMT)、增加膳食纤维摄入等。
小编寄语
欢喜哥虽已不幸离世,但他在荧幕上塑造的经典形象从未真正远去。这份遗憾也再次为我们敲响健康警钟:日常生活中需密切关注身体变化、坚持定期体检,唯有如此才能实现疾病的早发现、早治疗。即便不幸确诊肾癌,也不必放弃希望——它虽治疗有难度,却并非 “无药可医、无法可治”。
从戒烟控重的源头预防,到高危人群的定期筛查,再到先进疗法的规范治疗与术后的复发防控,每个环节都至关重要。现阶段,手术切除仍是肾癌的首选治疗方式,有手术机会的患者需尽早遵医嘱接受治疗;对于失去手术机会的晚期患者,也可结合自身病情选择适配的治疗方案。尤其近年来,随着新型靶向药物、免疫细胞疗法(如CAR-T细胞、γδ-T细胞)、癌症疫苗(如DC疫苗、mRNA疫苗)等不断涌现,为越来越多肾癌患者带来了长期生存的新可能。愿每一位癌友都能汲取这份力量,创造属于自己的抗癌奇迹。
若您对当前治疗方案不满意,或希望了解 TIL 疗法、DC 细胞疗法、癌症疫苗、肠道菌群调节等新型抗癌技术,可将治疗经历、近期病理检查报告、出院小结等资料,提交至医学部,获取初步病情评估或申请国内外抗癌专家会诊。
参考资料
[1]Pal S,et al.558 CTX130 allogeneic CRISPR-Cas9–engineered chimeric antigen receptor (CAR) T cells in patients with advanced clear cell renal cell carcinoma: results from the phase 1 COBALT-RCC study[J]. 2022.
https://jitc.bmj.com/content/10/Suppl_2/A584
[2]Kobayashi H,et al. Complete remission of lung metastasis following adoptive immunotherapy using activated autologous γδ T-cells in a patient with renal cell carcinoma[J]. Anticancer research, 2010, 30(2): 575-579.
https://ar.iiarjournals.org/content/30/2/575.long
[3]Morisaki T,et al.Efficacy of intranodal neoantigen peptide-pulsed dendritic cell vaccine monotherapy in patients with advanced solid tumors: A retrospective analysis[J]. Anticancer research, 2021, 41(8): 4101-4115.
https://ar.iiarjournals.org/content/41/8/4101
[4]Ebrahimi H,et al.Cabozantinib and nivolumab with or without live bacterial supplementation in metastatic renal cell carcinoma: a randomized phase 1 trial[J]. Nature Medicine, 2024: 1-10.
https://www.nature.com/articles/s41591-024-03086-4
[5]https://anticancer.shac.org.cn/CN/Y2025/V38/I2/2
[6]https://www.zaobao.com.sg/entertainment/story20251028-7728618
扫描进患者病友群
肺癌|胃癌|肝癌|结直肠癌|胰腺癌
乳腺癌|脑瘤|淋巴瘤|儿童肿瘤等
相关推荐
“手术成功”不等于万事大吉,新型癌症疫苗
EGFR突变型患者在非小细胞肺癌中约占30%,在欧美患者中约占10%~20%,在亚洲患者中占比超过50%,是非小细胞肺癌的第二大致癌驱动因素。...
全球肿瘤医生网 2020-08-05
2026年靶向治疗抗癌风暴,突破困境,普
EGFR突变型患者在非小细胞肺癌中约占30%,在欧美患者中约占10%~20%,在亚洲患者中占比超过50%,是非小细胞肺癌的第二大致癌驱动因素。...
全球肿瘤医生网 2020-08-05
2026年这些肺癌疫苗正悄然改变患者的生
EGFR突变型患者在非小细胞肺癌中约占30%,在欧美患者中约占10%~20%,在亚洲患者中占比超过50%,是非小细胞肺癌的第二大致癌驱动因素。...
全球肿瘤医生网 2020-08-05
新一代NTRK基因融合突变靶向药TL11
EGFR突变型患者在非小细胞肺癌中约占30%,在欧美患者中约占10%~20%,在亚洲患者中占比超过50%,是非小细胞肺癌的第二大致癌驱动因素。...
全球肿瘤医生网 2020-08-05
实现33个月长生存!中国团队成功攻克&q
EGFR突变型患者在非小细胞肺癌中约占30%,在欧美患者中约占10%~20%,在亚洲患者中占比超过50%,是非小细胞肺癌的第二大致癌驱动因素。...
全球肿瘤医生网 2020-08-05
破解术后复发噩梦!NK细胞疗法让晚期胃癌
EGFR突变型患者在非小细胞肺癌中约占30%,在欧美患者中约占10%~20%,在亚洲患者中占比超过50%,是非小细胞肺癌的第二大致癌驱动因素。...
全球肿瘤医生网 2020-08-05




![[field:title/]](/uploads/allimg/20200224/1-2002241I5262J.jpg)
![[field:title/]](/uploads/allimg/20200224/1-2002241I3461D.jpg)
![[field:title/]](/uploads/allimg/20200224/1-2002241H94LK.jpg)
![[field:title/]](/uploads/allimg/20200224/1-2002241HKW34.jpg)
![[field:title/]](/uploads/allimg/20200224/1-2002241H619327.jpg)
![[field:title/]](/uploads/allimg/20200224/1-2002241H34H52.jpg)
![[field:title/]](/uploads/allimg/20200224/1-2002241H22IH.jpg)
![[field:title/]](/uploads/allimg/20200224/1-2002241G93O18.jpg)

