收藏|结直肠癌患者《2025抗癌宝典》出炉!TCR-T,CAR-T,TIL等新疗法值得期待!
2025版结直肠癌抗癌宝典,已上市的结直肠癌靶向和免疫治疗药物以及结直肠癌新药新技术汇总
2025新年寄语
新年钟声即将敲响
在这个时刻
每一位病友都要为自己鼓掌
因为你们的坚强勇敢
成功的跨过了2024
向着5年临床治愈的大门又迈进了一步!
2024年,中国及美国
获批上市了大量新药,
2025将有更多的病友
迎来全新的疗法及希望
结直肠癌是全球第三大最常见的癌症,我国结直肠癌发病率居恶性肿瘤第2位,死亡率居第4位,全球负担正在增加,预计 2020 年至 2040 年间的发病率将增加 56%,达到每年超过 300 万新病例。医学部为大家奉上《2024年结直肠癌抗癌宝典》,包含了治疗方案盘点、2025即将上市的新药新技术和康复指导,请大家收藏,无论您处在肠癌治疗的哪个阶段,这份报告都将给您带来全新的生存机遇!希望在2025的抗癌路上为大家照亮希望之光~
本宝典包含
1、2024年加直肠癌已上市的靶向、免疫药物
2、2025结直肠癌新药全球招募
3、2025结直肠癌患者值得期待的抗癌新药新技术
4、2025结直肠癌患者如何提升免疫战胜癌症
5、2025结直肠癌全球专家推荐
2024获批上市的结直肠癌靶向、免疫药物
截至2025年1月,中国、美国共批准了11款靶向及免疫治疗药物用于结直肠癌。最新版临床实践指南(NCCN)中明确指出结直肠癌应检测以下靶点:RAS(KRAS和NRAS)、BRAF、MSI或MMR、HER2、NTRK等。
01、EGFR
西妥昔单抗
①2004年,依立替康(irinotecan) 单独用药或依立替康与其他化疗药物联用效果不佳的晚期结直肠癌患者,可联合应用西妥昔单抗和依立替康;
②2019年10月不能耐受依立替康的患者可单独应用西妥昔单抗。
帕尼单抗
①2006年9月,含氟尿嘧啶,奥沙利铂和伊立替康的化疗方案后病情仍然进展或转移的EGFR过表达的结直肠癌;
②2014年5月,联合FOLFOX 方案用于 Kras野生型mCRC 患者的一线治疗。
西妥昔单抗β注射液
2024年6月25日,西妥昔单抗β注射液获国家药品监督管理局(NMPA)批准上市,与FOLFIRI方案联合用于RAS/BRAF基因野生型转移性结直肠癌的一线治疗。该药的获批填补了我国近20年来,结直肠癌的EGFR靶向抗体药物的空白!
02、BRAF V600E
Encorafenib+Cetux/Pan
2020年4月,Encorafenib+Cetux/Pan获批上市,用于治疗携带BRAF V600E突变的转移性结直肠癌(mCRC)患者。这些患者已经接受过一种或两种前期疗法。这是FDA批准的首款针对携带BRAF基因突变mCRC患者靶向疗法。
03、VEGF
贝伐单抗
2004年2月26日获得FDA的批准,贝伐单抗(Avastin®,罗氏制药)是美国第一个获得批准上市的抑制肿瘤血管生成的药。需要注意的是,贝伐单抗一般对携带高表达EGFR肿瘤的患者更有效。
雷莫芦单抗
2015年4月,与FOLFIRI方案联合使用,用于治疗在使用贝伐单抗、奥沙利铂和氟嘧啶治疗期间或治疗之后有疾病进展的转移性结直肠癌患者。
瑞格菲尼
既往接受过以氟尿嘧啶、奥沙利铂和伊立替康为基础的化疗,以及既往接受过或不适合接受抗VEGF治疗、抗EGFR治疗(RAS野生型)的转移性结直肠癌(mCRC)患者
阿柏西普
2012年,与FOLFIRI 一起用于治疗已经转移(扩散到身体其他部位)的结直肠癌。用于其他化疗后病情未好转的患者
呋奎替尼(爱优特)
2019年1月获批,适用于既往接受过氟尿嘧啶类、奥沙利铂和伊立替康为基础的化疗,以及既往接受过货不适合接受抗血管内皮生长因子(VEGF)的治疗、抗表皮生长因子受体(EGFR)治疗(RAS野生型)的转移性结直肠癌(mCRC)患者。
04、PD-1/L1
Ipilimumab + Nivolumab
2018年,ipilimumab(伊匹单抗)与nivolumab(纳武单抗)联合用于氟嘧啶、奥沙利铂和伊立替康治疗后进展的转移性结直肠癌(mCRC)患者。
2024年10月14日,纳武利尤单抗联合伊匹木单抗“双免疫联合疗法”的上市申请,正式获得中国国家药监局(NMPA)批准,作为不可切除或转移性微卫星高度不稳定性(MSI-H)或错配修复缺陷型(dMMR)结直肠癌的一线治疗方案。值得一提的是,这是该适应症在全世界范围内的首次获批,同时也标志着该药物新适应症在中国实现了全球首发!这也意味着中国患者终于有机会先行接受这款新型治疗方法了,而无需再苦苦等待了!
Keytruda
2020年6月,一线治疗无法切除或转移性微卫星不稳定性高(MSI-H)或错配修复缺陷(dMMR)结直肠癌的患者癌症。
Opdivo
2017年8月,铂类化疗后进展的微卫星不稳定性(MSI-H)或错配修复缺陷(dMMR)成人或儿童(≥12岁)转移性结直肠癌
05、HER2
全球首款靶向HER2结直肠癌的重磅新药--图卡替尼
2023年1月19日,FDA批准全新组合疗法tucatinib (图卡替尼,Tukysa)联合曲妥珠单抗上市,治疗HER2 阳性结直肠癌 (CRC) 成人患者!值得一提的是,这是HER+结直肠癌获批的首款靶向治疗方案,具有里程碑式的意义!
06、KRAS
国内首款靶向KRAS结直肠癌的重磅新药--阿达格拉西部
2024年6月21日,美国食品药品监督管理局加速批准Adagrasib与西妥昔单抗联合,用于治疗KRAS G12C突变的局部晚期或转移性结直肠癌(CRC)的成年患者,这些患者既往接受过氟嘧啶、奥沙利铂和伊立替康为基础的化疗。
2025有望上市的肠癌新药
Kras + 肠癌一线联合方案即将获批
近期,针对KRAS G12C这一特定的突变亚型,sotorasib (Lumakras) 与帕尼单抗 (Vectibix) 联合方案为复发性结肠癌患者带来了一线希望——这种治疗可能为患者提供更长的生存机会。好消息是,FDA的PDUFA 日期更新为2025 年 1 月 17 日,这意味着,如果一切顺利,肠癌病友将在一个月后迎来这款全新的联合疗法。
2025肠癌患者最值得关注的新技术
疾病控制率高达95%!肠道菌群三联疗法重拳打击MSS难治型结直肠癌
中国的研究人员对至少二线系统治疗失败的微卫星稳定型(MSS)晚期结直肠癌患者进行了创新性治疗,通过“三联疗法”(肠道菌群移植 + PD-1单抗 + 靶向药)有效延长难治型结直肠癌患者的生存期,疾病控制率高达95%!

这项II 期试验从 2021 年 5 月 10 日到 2022 年 1 月 17 日,共招募了 20 名MSS mCRC 患者接受肠道菌群移植(FMT)联合替雷利珠单抗和呋喹替尼作为三线或以上治疗。
这些患者入组后首先进行初始“原生菌群耗竭”,做好肠道清洁准备和菌群定植,接着口服个性化定制的粪菌胶囊(胶囊化 FMT),剂量为 30 粒/天(相当于 3 瓶 40 mL 液体肠道微生态制剂),连续 3 天,3 周为一个周期;呋喹替尼每日口服一次;替雷利珠单抗每 3 周静脉注射一次。
截至 2023 年 7 月 10 日,中位随访时间为 13.7 个月。
结果显示:中位无进展生存期(PFS ) 为 9.6 个月,中位总生存期(OS)为 13.7 个月。患者被分为应答者(PFS ≥ 6 个月;n = 12)和无应答者(PFS < 6 个月;n = 8),60% 的患者靶病变大小缩小!在 ITT 人群中,客观缓解率(ORR) 为 20%,疾病控制率(DCR)高达 95%,这意味着95%的晚期难治性患者肿瘤出现了不同程度的缩小或控制稳定!

患者 05 和患者 07 是两个代表性病例,已证实最佳反应为 PR,肿瘤大幅缩小30%以上!

研究人员说:这项临床试验是第一项评估 FMT 联合替雷利珠单抗和呋喹替尼作为三线或以上疗法治疗 MSS mCRC 患者的抗肿瘤活性和安全性的前瞻性研究。我们的结果表明,FMT 联合替雷利珠单抗和呋喹替尼具有良好的抗肿瘤活性,且毒性可控!
想申请肠菌定制和调节的病友,可提交病历至医学部进行肠菌检测及方案评估。
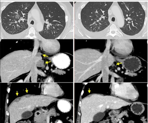
3名晚期肠癌患者肿瘤消退!全新TCR-T疗法重磅Ⅱ期研究数据公布
近期,一项由全球免疫学泰斗,美国癌症研究协会Steven A. Rosenberg 教授团队领导的针对患者独特的肿瘤新抗原而设计的全新TCR-T疗法公布重磅的2 期试验中期数据研究成果发表在了国际顶级医学期刊《自然医学》上,引起巨大轰动,也为全球结直肠癌患者点亮了新的希望!

在这项试验中,共有 7 名MMR(错配修复功能正常)的结肠直肠癌患者入组,值得一提的是,这些患者都是已经接受过两种或两种以上化疗后病情有所进展的晚期难治性患者。这些患者入组后,首先接受部分手术切除,并使用肿瘤样本来识别新抗原和新抗原反应性 T 细胞。然后将识别出的新抗原反应性 TCR 编码到逆转录病毒载体中,转导到患者的 自体外周血淋巴细胞 (PBL) 中,从而能够产生更强的抗肿瘤免疫力。结果显示:7 名患者中有 3 名出现部分反应,包括肝脏、肺和淋巴结转移消退,缓解持续时间为 4 至 7 个月。并且总体而言,治疗耐受性良好。
患者一
转移性直肠癌,左肺术后局部复发和纵隔淋巴结消退。

患者二
转移性结肠癌患者,支气管镜记录的右肺淋巴管炎受累(顶部,轴向)、腹膜后淋巴结和肝周肿瘤(中和底部,冠状方向)的消退。

患者三
转移性直肠癌患者的肝转移、门管淋巴结和多个肺转移的消退。

这项研究提供的早期结果表明,使用经过基因改造以表达个性化新抗原反应性 TCR 的 T 细胞进行过继性细胞治疗可以被耐受,并可介导转移性结直肠癌患者的肿瘤消退。
细胞疗法助力"逆天改命":晚期肠癌肝转移患者实现40个月无疾病生存
2020年9月,57岁的张先生因为腹部疼痛去医院进行详细的检查,结果被确诊直肠癌,并且已经出现了肝转移,幸运的是,张先生顺利的接受了直肠癌根治术,切掉了已经有橙子那么大的肿瘤(6.0×5.0公分),手术后的组织做了全基因检测,遗憾的是,没有发现治疗效果更好,副作用更小的靶向免疫药物,多学科团队会诊后制定了两轮辅助治疗后进行肝转移瘤的切除的方案。
为了达到更好的治疗效果,医疗团队认为在化疗方案中加上过继性免疫细胞能达到协同清除肿瘤的目的
于是,医生在张先生化疗前1~3天采集他的外周血40 mL,在体外培养扩增后,得到了100亿个NK细胞和60亿个CIK细胞,张先生每3周接受一次用自己的免疫细胞培养的自体CIK细胞或自体NK细胞静脉回输,同时联合化疗。
非常幸运的是,治疗后CT检查显示肝脏病灶竟然缩小了47%,达到了部分缓解(PR)。2020年底,张先生成功的进行了肝转移瘤切除术,术后为了清除身体里面残存的癌细胞,又接受了4个周期自体CIK/NK细胞联合6个周期化疗方案,让张先生万分惊喜的是,肿瘤标志物癌胚抗原均恢复正常范围内,治疗后生活质量改善,随访及增强CT检查未见肿瘤转移及复发!
张先生激动地说,“2020年,我达到了NED状态——没有疾病迹象,并且已持续长达40个月!”目前张先生已经从癌症晚期重新回到了正常生活!

(注:为保护患者隐私,文中均使用化名,病情及治疗经过略有删减)
晚期肠癌达到完全缓解!新一代TIL疗法点亮希望
美国研发的新型TIL疗法——TIDAL-01,将新鲜肿瘤切成碎片或游离培养于原发性扩增(preep)中。从患者配型血液中分离并扩增抗原提呈细胞(apc)。合成编码突变的肽,将其装载到apc上,并与自体TIL共培养。与传统TIL细胞相比,将TIL和装载肽的APCs共同培养后,FACS的新抗原反应性显著增强,抗癌杀伤力倍增!在1期临床研究中,4例可评估疗效的晚期微卫星稳定型(MSS)结直肠癌患者,经TIDAL-01治疗后,疾病控制率(DCR)达到50%,总体缓解率(ORR)达到25%,50%的患者表现出持续的临床益处,持续完全反应患者的无进展生存期超过1年。其中一例患者更是幸运地获得了深度且持久的持续完全反应,即达到完全缓解(CR)!
DCR 88%!CEA靶向CAR-T治疗实体瘤临床结果在ASCO上展示
2024年ASCO年会上,一项开放、单臂的临床研究入组了经过充分治疗后的晚期结直肠癌患者,根据输注方式不同分为 2 个亚组(静脉输注、经腹膜腔局部输注)。每个亚组包括剂量探索阶段( Part A)和剂量扩展阶段( Part B)。在剂量探索阶段,按照每组 3 例患者进行探索,从低剂量组开始递增进行,完成剂量探索后会对合适的推荐剂量进行剂量扩展,进一步验证其安全性及有效性。
研究结果表明:共40例患者接受了靶向CEA CAR-T细胞制剂治疗,其中静脉输注组24例,腹腔注射组16例。
有效性:腹腔注射组的客观缓解率(ORR)为25%,疾病控制率(DCR)为88%,其中高剂量腹腔注射组的ORR为28.5%,且高剂量组中取得缓解的患者其肿瘤持续缓解均超过5个月,其中包括1例患者在6个月随访时肿瘤病灶持续缩小76%。
静脉输注组的客观缓解率为8%,疾病控制率为67%。
抗癌"黑科技"--钇90微球
2022年2月,钇[90Y]微球注射液在中国获批,用于治疗经标准治疗失败的、不可手术切除的结直肠癌肝转移患者。钇90 (Yttrium 90),是一种放射性核素,可以发出高能量的纯β射线,治疗剂量的钇90聚集在肿瘤部位,β射线剂量足以杀死局部的肿瘤细胞,从而在肿瘤内部精准“爆破”。
疾病控制率100%!MRTX849为肠癌患者带来希望
KRAS抑制剂Adagrasib(MRTX849)在最新公布的数据显示,单独使用MRTX849能使87%的肠癌患者病灶缩小,而联合靶向药物西妥昔单抗后能达到更强的抗癌效果,100%的患者病情稳定或肿瘤出现不同程度的缩小!
近50%患者肿瘤缩小或消失!拉罗替尼为NTRK患者带来长效缓解
首个不限癌种的靶向药Larotrectinib 在2022年ESMO世界胃肠癌大会上发表了最新的长期数据。在19名结直肠癌患者中,总缓解率 (ORR) 高达47%,完全缓解率(CR)为5%,这意味着近一半的结直肠癌患者病灶显著缩小甚至消失。此外还有42%的患者病情稳定,疾病控制率达到了89%!
客观缓解率50%!CAR-T疗法为晚期肠癌患者点亮希望
2023年,国内的一款GCC19 CAR-T疗法公布了在结直肠中的最新数据,非常振奋人心!结果显示:在2级剂量组中,客观缓解率能达到50%(4/8)。
2024结直肠癌患者如何提升免疫战胜癌症
结直肠癌患者的免疫功能本身处于失常状态,而手术,放疗,化疗会对人体的免疫功能造成一定损伤,在临床治疗后,尽快调整免疫功能是预防复发转移的重中之重。
对于免疫功能低下或异常的患者,临床医生会建议注射胸腺肽类的药物、干扰素,恢复免疫试别功能和恢复免疫杀伤功能的细胞免疫回输等等。
01、免疫调节剂
免疫调节剂属于非特异性免疫疗法,有助于免疫系统对抗细菌,病毒及癌细胞,包括胸腺肽,干扰素及白细胞介素等。需要提升免疫的人群会注射免疫调节剂,比如在赴前线抗击疫情的医护人员都注射了胸腺肽来提升免疫力;临床医生会放化疗之后同时给予胸腺肽或干扰素,白细胞介素等免疫调节剂来增强癌症患者的免疫力。胸腺肽是临床最常用的提升免疫的调节剂之一。
02、过继性细胞调节
过继性免疫细胞治疗技术是通过采集人体自身免疫细胞,经过体外培养,使其数量扩增成千倍增多,靶向性杀伤功能增强,然后再回输到患者体内, 从而来杀灭血液及组织中的病原体、癌细胞、突变的细胞。如免疫细胞NK,DC,T细胞的临床辅助治疗已经过了大量的临床研究。
NK细胞调节
免疫细胞中重要成员之一—NK细胞。医学上,NK细胞在对抗癌症的第一道防线中扮演关键角色。NK细胞有两方面抗癌作用,一是上述的对肿瘤细胞的直接杀伤,通过释放后穿孔素和颗粒酶或通过死亡受体杀死肿瘤细胞;二是它通过分泌细胞因子和趋化因子扮演免疫系统的调节细胞角色,激活T细胞等的杀伤作用。这些特点使NK细胞能在肿瘤免疫治疗中大有可为,国内和国际上都正在进行大量临床研究。
树突细胞调节
树突细胞是目前所知的机体内功能最强的抗原提呈细胞,最大的特点是能够刺激初始T细胞进行增殖。因此,DC是机体免疫应答的始动者,在免疫应答的诱导中具有独特的地位。树突细胞在体内充分激活T细胞,促进T细胞对肿瘤的清除,树突细胞还能促进T细胞富集,增强对T细胞激活。
T细胞调节
细胞毒性T细胞(cytotoxic T cell,Tc或CTL),也称杀伤性T细胞,是一种监控并在需要时杀死靶细胞的细胞。细胞毒性T细胞对带抗原的靶细胞有记忆功能,一旦发现带特异性抗原的靶细胞,会刺激效应细胞毒性T细胞产生效应细胞毒性T细胞,消灭被感染的细胞或癌细胞。目前基于T细胞的CAR-T疗法已在中国、美国、日本等国家获批,TILs疗法及TCR-T疗法正在进行广泛的临床研究。除此之外还有多靶点复合抗原T细胞目前作为免疫调节手段进行相关的临床研究。
03、肠道菌群调节
越来越多的证据表明,癌症疗法会干扰机体的免疫反应,并导致免疫系统功能异常,进而影响化疗,放疗,靶向治疗,免疫疗法的效率。近年的重磅研究表明,肠道微生物可通过调节药物疗效,消除抗癌作用并介导毒性作用在癌症治疗中发挥重要作用。
04、饮食营养调节
平衡膳食。肿瘤患者首先需要做到平衡膳食,即通过食物摄入能够满足身体营养需求的多种营养素。其中尤其应保证足够的能量和蛋白质摄入,以利于维持体重稳定。高蛋白膳食。能量供给25~35kcal/kg/d,总能量在1500~2500kcal/d;蛋白质供给为每公斤理想体重1.2~2.0g,蛋白质占总能量的20%,以改善由于疾病消耗过多造成的营养不良状态,满足患者高代谢的需求。高纤维膳食。在普食基础上,增加含纤维丰富的食物。一日膳食中膳食纤维总量应不低于30g。食物选择多样性,搭配合理。建议每日应摄入20-30种食物, 2/3是植物性食物,1/3是动物性食物。为了让肿瘤患者获得真正适合自己的营养免疫食品,全球肿瘤医生网与国内外知名的营养专家合作,搭建专属肿瘤患者及家属的营养免疫商城,严格筛选具有科学依据的产品,个性化匹配每个患者的需求。
2024肠癌全球会诊专家与您携手抗癌
对于所有的肠癌患者来说,在确诊后及目前治疗效果不理想时最想了解的就是哪些肠癌专家能提供更好的诊疗方案,获得更好的治疗结局。2023全球肠癌专家将为病友提供会诊或第二医疗意见,可以帮助患者了解更多治疗选择,并作出明智的决定。
美国
Aparna Parikh 麻省总医院 消化肿瘤内科
Jeffrey A.Meyerhardt 丹娜法伯癌症研究院 消化肿瘤内科
Heinz-Josef Lenz 南加州大学诺里斯综合癌症中心
Kenneth Yu 纪念斯隆凯瑟琳
日本
土井俊彦 国立癌症研究中心先端医疗中心的中心长
设乐紘平 日本国立癌症研究中心 先进医疗开发中心
吉野孝之日本国立癌症研究中心 消化道内科主任
过去十年,肠癌的治疗已经取得了长足的进展,逆转了晚期患者的生存期,除了上面整理的内容,还有更多的新药正在研发中,更多的病友可以通过新药获得更长的生存期。让我们拭目以待,期待更多新药早日上市,造福大众!也期待2024,肠癌病友能够打败癌症,活过一个又一个10年!
扫描进患者病友群
肺癌|胃癌|肝癌|结直肠癌|胰腺癌
乳腺癌|脑瘤|淋巴瘤|儿童肿瘤等
相关推荐
【胃癌CAR-T细胞疗法】IMC002注
EGFR突变型患者在非小细胞肺癌中约占30%,在欧美患者中约占10%~20%,在亚洲患者中占比超过50%,是非小细胞肺癌的第二大致癌驱动因素。...
全球肿瘤医生网 2020-08-05
晚期肺癌实现完全缓解!2026非小细胞肺
EGFR突变型患者在非小细胞肺癌中约占30%,在欧美患者中约占10%~20%,在亚洲患者中占比超过50%,是非小细胞肺癌的第二大致癌驱动因素。...
全球肿瘤医生网 2020-08-05
【淋巴瘤疫苗招募】WGc-043疫苗剑指
EGFR突变型患者在非小细胞肺癌中约占30%,在欧美患者中约占10%~20%,在亚洲患者中占比超过50%,是非小细胞肺癌的第二大致癌驱动因素。...
全球肿瘤医生网 2020-08-05
4个月婴儿确诊致命脑瘤被判死刑,革命性抗
EGFR突变型患者在非小细胞肺癌中约占30%,在欧美患者中约占10%~20%,在亚洲患者中占比超过50%,是非小细胞肺癌的第二大致癌驱动因素。...
全球肿瘤医生网 2020-08-05
胰腺癌实现完全缓解!2026癌症疫苗,T
EGFR突变型患者在非小细胞肺癌中约占30%,在欧美患者中约占10%~20%,在亚洲患者中占比超过50%,是非小细胞肺癌的第二大致癌驱动因素。...
全球肿瘤医生网 2020-08-05
22款肺癌新药扎堆上市!2026这些基因
EGFR突变型患者在非小细胞肺癌中约占30%,在欧美患者中约占10%~20%,在亚洲患者中占比超过50%,是非小细胞肺癌的第二大致癌驱动因素。...
全球肿瘤医生网 2020-08-05




![[field:title/]](/uploads/allimg/20200224/1-2002241I5262J.jpg)
![[field:title/]](/uploads/allimg/20200224/1-2002241I3461D.jpg)
![[field:title/]](/uploads/allimg/20200224/1-2002241H94LK.jpg)
![[field:title/]](/uploads/allimg/20200224/1-2002241HKW34.jpg)
![[field:title/]](/uploads/allimg/20200224/1-2002241H619327.jpg)
![[field:title/]](/uploads/allimg/20200224/1-2002241H34H52.jpg)
![[field:title/]](/uploads/allimg/20200224/1-2002241H22IH.jpg)
![[field:title/]](/uploads/allimg/20200224/1-2002241G93O18.jpg)

