覆盖超过30%的晚期胰腺癌患者!3类重要的胰腺癌治疗靶点,带来生存希望!
胰腺癌新药新进展,3类重要的胰腺癌治疗靶点,覆盖超过30%的晚期胰腺癌患者
胰腺癌是治疗最困难、恶性程度最高的恶性肿瘤之一。由于胰腺属于“无痛觉器官”,早期几乎无症状表现,患者几乎毫无自觉,因此胰腺癌存在起病隐匿、鉴别难度高的特点,确诊时经常已经发生了远处转移。再加上治疗靶点匮乏、疗效难以达到理想水平,晚期转移期的胰腺癌患者生存情况非常不理想。
在历年的统计数据之中,胰腺癌的当年新发患者数量通常很难进入前十,但死亡患者数量总能在前6左右,死亡率与发病率比值(能够反映疾病的临床预后)比其它恶性肿瘤更接近1,患者预后极差。
长期以来,转移性胰腺癌的5年生存率不足3%,被视为“癌王”、癌症患者最大的梦魇。直到近几年,大量新靶点的药物以及疗法投入临床,才终于改变了这样的困境。这一次,基因药物汇为大家重点列举出3个胰腺癌靶向治疗靶点。这3个靶点的药物发展迅速,新药疗效较好,且临床试验项目丰富,能够有效覆盖超过30%的晚期胰腺癌患者群体,希望能够为大家提供有益的帮助。
Claudin 18.2:消化道肿瘤的"救星"
我们常听说的Claudin 18.2是一种表现于细胞表面的蛋白质,属于紧密连接蛋白家族中的一种亚型,与细胞之间的黏附有关。因此,存在正常的结构的正常细胞裸露在外的表面几乎不会表达这种蛋白质,唯有部分癌细胞的表面才会有其存在。
胃癌(60%~80%)、胰腺癌(50%)、食管癌(30%~50%)和肺癌(40%~60%)等多类癌症、尤其是多类消化道肿瘤细胞都存在Claudin 18.2的高表达。根据相关报道,大约28%的胰腺癌患者,表达Claudin 18.2的癌细胞能够超过75%。
这样的癌细胞及正常组织间表达水平差别,以及高表达的存在率,让Claudin 18.2成为了一种识别癌细胞、并用于靶向治疗的标志物。目前几款进展较快、疗效较好的抗Claudin 18.2方案,包括Zolbetuximab(IMAB362)等靶向治疗药物,以及CT041等CAR-T细胞疗法,都在胰腺癌领域有所发展,临床试验迅速推动中,广泛招募患者。
不过目前为止Claudin 18.2还不是一个常规检测项目,患者需要依靠特定的免疫组化(IHC)检测手段来评估Claudin 18.2的表达情况。这几类癌症患者,希望参加相关项目的临床试验时,都可以咨询基因药物汇了解详情。
1、CT041
CT041是一款由我国自主研发的CAR-T细胞制剂,也是目前进展最快、成果最多的实体瘤CAR-T项目之一。
2021年ESMO大会更新的疗效数据非常出色:接受CT041治疗的患者,所有患者的整体缓解率达48.6%,疾病控制率达73%;其中胃癌患者整体缓解率为57.1%。对于既往接受至少2线治疗失败的胃癌患者,整体缓解率为61.1%,疾病控制率为83.3%。
目前,CT041的临床试验项目正在招收国内患者,符合标准或希望了解自己是否符合标准的患者,可以联系基因药物汇详细咨询。
KRAS靶向药
KRAS是胰腺癌最主要的几个驱动基因突变之一,根据既往的研究,其检出率在10%左右。
不过目前能够用于胰腺癌治疗的KRAS抑制剂,主要是几款已经在非小细胞肺癌及结直肠癌领域成果斐然的KRAS G12C抑制剂,如阿达格拉西布(MRTX849)和索托拉西布(AMG-510)。

这两款药物已经分别公开了治疗包括胰腺癌在内的多类消化道肿瘤的最新数据,疗效刷新历史!有这两款药物在前,众多KRAS抑制剂治疗胰腺癌患者的临床试验也受到了更广泛的关注。如果胰腺癌患者检测到了KRAS G12C突变,并且希望尝试相关新药的临床试验项目,可以咨询基因药物汇(400-686-1602)获取帮助。
1、阿达格拉西布
根据本年度美国临床肿瘤学会(ASCO)胃肠道肿瘤研讨会上公布的Ⅱ期KRYSTAL-1试验最新数据,Adgrasib(阿达格拉西布,MRTX849)在包括胰腺癌在内的多类消化道肿瘤的治疗当中,都具有非常出色的潜力。
此次Ⅱ期试验涵盖了包括胆道癌、阑尾癌、小肠癌、胃食道结合部癌、食道癌以及胰腺导管腺癌在内的多类消化道肿瘤。目前公开了27例可评估患者的治疗结果,患者均为KRAS G12C突变的患者,先前接受过至少2种系统性抗癌治疗。
结果显示,27例可评估的患者,整体缓解率为41%,疾病控制率高达100%,即全部受试患者均达到了临床疾病稳定。
在10例胰腺癌患者当中,整体缓解率为50%,中位缓解持续时间7.0个月,中位无进展生存期为6.6个月;其它患者的整体缓解率为35%,中位缓解持续时间为7.9个月,中位无进展生存期为7.9个月。
这说明什么?显然,KRAS G12C突变的胰腺癌患者,对于Adgrasib治疗的响应率更高,响应时间也非常不错;其它消化道肿瘤的患者,响应率也不错,响应时间更长。目前这款药物的多项临床试验均在进行当中,其中部分试验正在招募受试患者。希望尝试这款药物或其它同类药物的患者,可以咨询基因药物汇(400-686-1602)了解详情。
2、索托拉西布
同样是在本年度ASCO-GI上公布的数据,另一款经典的KRAS G12C抑制剂Sotorasib(索托拉西布,Lumakras,AMG-510)的疗效也非常出色。
根据Ⅰ/Ⅱ期CodeBreaK100试验的数据,使用Sotorasib治疗曾经接受过大量预处理(多线治疗,其中79%的患者接受过至少2种或更多治疗)的KRAS G12C突变的局部晚期或转移性胰腺癌患者,取得了不错的疗效。
患者38例,接受Sotorasib治疗的整体缓解率为21.1%,疾病控制率为84.2%,也就是说有84.2%的患者达到了临床疾病稳定。治疗的中位缓解持续时间为5.7个月,中位无进展生存期为4.0个月,中位总生存期为6.9个月。
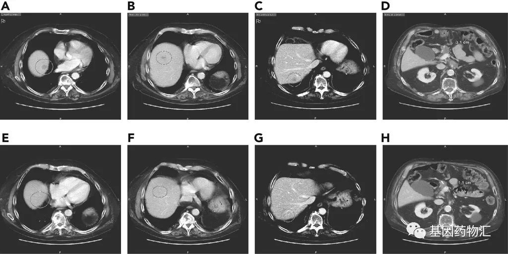
Sotorasib对于一部分存在多发转移的患者,同样有非常好的疗效。举例来说,一位64岁的女性患者,基线时存在肝脏、淋巴结、肺以及腹膜多个部位的转移,之前曾经接受过FOLFIRINOX方案的治疗。在接受Sotorasib治疗之前,她的肝脏上有一个直径2.2厘米的病灶;治疗18周后,病灶缩小到了0.8厘米。
NTRK靶向药
NTRK本身是一种检出率比较低的突变,在胰腺癌当中有检出,只是比例较低,约在5%以下。
但由于几款疗效非常出众的NTRK抑制剂的存在,这部分患者已经有机会得到非常好的治疗了。如果大家检测到了NTRK基因相关的突变,或有意向了解关于这些项目的信息,可以咨询基因药物汇(400-686-1602)。
1、拉罗替尼
拉罗替尼(Larotrectinib)是一款NTRK抑制剂,目前已经获批了实体瘤的适应症。在拉罗替尼取得了75%的超高缓解率的实体瘤临床试验当中,就有一部分胰腺癌的患者接受了治疗。
在这些获益的患者当中,相当一部分是已经接受过多种治疗、多次耐药、生存期非常不乐观的患者。凭借拉罗替尼的治疗,许多患者延长了很久的生命,生活质量也有保障!
这位患者的癌症类型比较罕见,属于胰腺腺泡细胞癌,是一种罕见的胰腺外分泌恶性肿瘤。
患者确诊时已是81岁高龄,伴有胰周淋巴结肿大,不过患者状态不错,接受了手术切除,但在术后一个周期的吉西他滨辅助治疗之后,因为耐受性比较差而停止了治疗。
6个月后,患者疾病再次进展,这一次仍然选择了吉西他滨治疗,但降低了剂量。患者的胰周淋巴结大小持续增加,6个周期的治疗后,方案更换为吉西他滨+白蛋白紫杉醇(Nab-紫杉醇)。
联合方案使用仅4个周期之后,患者疾病持续进展,并且发生了新的肝转移。此时的基因检测结果显示患者存在SEL1L-NTRK1融合突变,因此患者开始使用拉罗替尼。
和前一案例当中的患者一样,这位患者使用的方案为标准的100 mg剂量每日两次方案。至案例发布时,患者已经接受了13个月的治疗,影像学缓解效果良好,没有出现严重的不良反应。

小汇有话说
胰腺癌确实是危险的,以至于这类癌症一直被患者视为“癌中之王”、最凶险的恶性肿瘤。但同样的,胰腺癌也是目前靶向药物研究的重点,越来越多的新药投入到了这一适应症的研究当中。
我们期待更多新药、好药出现,让胰腺癌患者也能活得更久、痛苦更少。
扫描进患者病友群
肺癌|胃癌|肝癌|结直肠癌|胰腺癌
乳腺癌|脑瘤|淋巴瘤|儿童肿瘤等
相关推荐
结肠癌肝转移抗复发添重磅方案!DC疫苗让
EGFR突变型患者在非小细胞肺癌中约占30%,在欧美患者中约占10%~20%,在亚洲患者中占比超过50%,是非小细胞肺癌的第二大致癌驱动因素。...
全球肿瘤医生网 2020-08-05
国研H药创全球首例!胃癌围手术期免化疗适
EGFR突变型患者在非小细胞肺癌中约占30%,在欧美患者中约占10%~20%,在亚洲患者中占比超过50%,是非小细胞肺癌的第二大致癌驱动因素。...
全球肿瘤医生网 2020-08-05
【GPC3靶向药】新一代靶向药QLS31
EGFR突变型患者在非小细胞肺癌中约占30%,在欧美患者中约占10%~20%,在亚洲患者中占比超过50%,是非小细胞肺癌的第二大致癌驱动因素。...
全球肿瘤医生网 2020-08-05
乙肝相关肝癌有救了!SCG101 TCR
EGFR突变型患者在非小细胞肺癌中约占30%,在欧美患者中约占10%~20%,在亚洲患者中占比超过50%,是非小细胞肺癌的第二大致癌驱动因素。...
全球肿瘤医生网 2020-08-05
重磅!全球首个口服CDK2/4/6抑制剂
EGFR突变型患者在非小细胞肺癌中约占30%,在欧美患者中约占10%~20%,在亚洲患者中占比超过50%,是非小细胞肺癌的第二大致癌驱动因素。...
全球肿瘤医生网 2020-08-05
2025医保目录重磅更新:16款谈判药拓
EGFR突变型患者在非小细胞肺癌中约占30%,在欧美患者中约占10%~20%,在亚洲患者中占比超过50%,是非小细胞肺癌的第二大致癌驱动因素。...
全球肿瘤医生网 2020-08-05




![[field:title/]](/uploads/allimg/20200224/1-2002241I5262J.jpg)
![[field:title/]](/uploads/allimg/20200224/1-2002241I3461D.jpg)
![[field:title/]](/uploads/allimg/20200224/1-2002241H94LK.jpg)
![[field:title/]](/uploads/allimg/20200224/1-2002241HKW34.jpg)
![[field:title/]](/uploads/allimg/20200224/1-2002241H619327.jpg)
![[field:title/]](/uploads/allimg/20200224/1-2002241H34H52.jpg)
![[field:title/]](/uploads/allimg/20200224/1-2002241H22IH.jpg)
![[field:title/]](/uploads/allimg/20200224/1-2002241G93O18.jpg)

