61岁影帝涂们因食管癌病逝,距确诊仅1月!到底哪些新药新技术能够延长生存期?
食管癌(食道癌)新药、新技术、新疗法有哪些
12月12日,据导演王瑞消息称,著名演员涂们在凌晨逝世,享年61岁。他的代表作包括电影《老兽》、《悲情布鲁斯》等。2017 年,他凭借电影《老兽》中的精彩表现,获得金马奖最佳男主角。
《老兽》的导演周子阳透露涂们在11月上旬就检查出患有食管癌,并已经发展到晚期的地步,虽然他曾采取积极治疗,做了2次化疗都医治无效,最终他选择放弃治疗回到家乡呼伦贝尔,在那里度过最后的时光。

涂们老师突然离世的消息一出,众多艺人和网友为之惋惜,哀悼,这无疑是演艺圈的一大损失!
从确诊到离世仅用了一个月的时间,食管癌恶化如此之快,让我们不禁后怕,在唏嘘之余,不禁要思考面对晚期食管癌,目前到底有什么新药物(靶向、免疫等药)、新技术能够显著延长生存期,带来更多的临床获益?今天无癌家园小编就给大家梳理下,以供各位参考。
晚期食管癌预后较差,延长生存期迫在眉睫
中国是“民以食为天”的国家,饮食文化历史悠久,珍馐美味数不胜数。再加上中国人喜食烫食、腌制食品及高油高盐的食物,均容易诱导食管癌的发生。
中国每年的食管癌新发和死亡患者数,占全球发病和死亡的一半,是名副其实的食管癌大国。而且在癌症的组织学类型上,中国患者也与欧美有着巨大的差异,90%以上的食管癌患者为鳞癌,而欧美国家鳞癌患者的比例只有50%左右。
通常情况下,患者在初次确诊时,多已为晚期或伴有远处转移,患者的主要治疗手段多为化疗。但化疗治疗的有效率可达40%~60%,但一线治疗失败后的中位生存期仅为5~10个月,5年生存率处于5%的水平停滞不前,临床上迫切地需要新药物和新治疗方案的出现。

近年来,靶向治疗和免疫治疗迅速崛起,尤其以单克隆抗体/免疫检查点抑制剂(PD-1/PD-L1)抑制剂为代表的免疫治疗的成功,为食管癌的治疗突破带来了新的契机。
食管癌PD-1/PD-L1免疫治疗药物
01、K药打响第一炮,预示食管癌正式进入免疫时代
2019年7月,美国FDA批准了Keytruda(pembrolizumab,K药,派姆单抗,帕博利珠单抗)用于食管癌的治疗,具体适应症是PD-L1阳性的复发性局部晚期或转移性食管鳞状细胞癌。这让食管癌治疗50年来第一次看到了新药带来的曙光。

该获批是基于KEYNOTE-181试验,这是一项全球的大型临床研究,是全球第一个在食管癌治疗中头对头对比较免疫治疗与标准化疗的Ⅲ期随机对照研究,成功打破了近50年食管癌治疗的僵局,证明在食管癌治疗中,K药单药治疗比化疗更有效。
该临床研究纳入了628例患者(复发性局部晚期或转移性食管或食管胃交界癌的患者),其中包括123例中国患者。
派姆单抗组和化疗组的总生存期分别为8.4个月和5.6个月,延长了2.8个月的生存时间,疾病死亡风险减少45%;一年生存率分别为36.3%和16.7%,增加了两倍多。
在之前近50年食管癌治疗的临床研究中,从未有过任何先例,显示出试验药物组生存率比标准治疗组提高到2倍以上!所以,KEYNOTE-181研究这一高级别临床证据对于食管癌治疗具有里程碑式的意义。所以,派姆单抗很快获得FDA批准用于食管鳞癌的治疗。
【无癌家园PD-1相关临床试验招募】
【针对实体瘤】
目前有关于派姆单抗(帕博利珠单抗)针对实体瘤的相关临床试验正在招募,想要参加的患者可以咨询无癌家园医学部了解详细入排标准。
【部分纳入标准】
晚期dMMR/MSI-H实体瘤;除结直肠外,无线数要求;
【部分排除标准】
接受过免疫治疗的(抗PD-1、抗PD-L1、抗PD-L2或任何其他免疫调节mAb)
02、FDA首批!O药强势出圈,死亡风险降低23%
2020年6月11日,百时美施贵宝宣布,纳武利尤单抗(Nivolumab,商品名:Opdivo,中文商品名:欧狄沃)获美国食品和药品管理局(FDA)授予优先审评资格,加速批准既往氟尿嘧啶和铂类药物化疗后不可切除的晚期、复发性或转移性食管鳞状细胞癌(ESCC)患者的治疗。
值得特别强调的是,Opdivo是被批准用于上述ESCC患者群体、无论PD-L1表达水平如何的第一个肿瘤免疫疗法。这项研究的批准基于III期ATTRACTION-3试验,共纳入419例患者(401例来自日本、韩国、中国台湾),主要研究终点为总生存期(OS)。
结果显示,与化疗组相比,Opdivo治疗组中位生存期显著改善、死亡风险降低23%(HR=0.77)、中位生存期OS延长2.5个月(10.9个月 vs 8.4个月)。

Opdivo治疗组12个月和18个月生存率(OS率)分别为47%和31%、化疗组分别为34%和21%。无论肿瘤PD-L1表达水平如何,均观察到Opdivo对生存益处。

2021年9月29日,FDA 正式受理纳武利尤单抗+伊匹木单抗和纳武单抗+化疗药物用于不可切除的晚期、复发或转移性食管鳞状细胞癌的成人患者一线治疗适应症的申请。
2022年4月5日,欧盟委员会批准纳武单抗联合伊匹木单抗(即“O+Y”双免疫疗法),用于一线治疗PD-L1表达≥1%的不可切除的晚期、复发或转移性食管鳞状细胞癌成年患者。
同天,欧盟委员会还批准了O药+化疗(氟嘧啶和铂)联合疗法用于治疗肿瘤细胞 PD-L1表达为1%或更高的不可切除的晚期、复发或转移性食管鳞状细胞癌成人患者的一线治疗!
CheckMate-648试验临床研究结果
1.在PD-L1 ≥1%的患者中,O+Y组 vs 化疗组:中位总生存期分别为13.7个月 vs 9.1个月;1年生存率分别为57% vs 37%;O+Y组相较于单纯化疗的死亡风险降低36%(HR 0.64)。
2. 在全随机人群中,O+Y组 vs 化疗组:中位总生存期分别为12.8个月 vs 10.7个月;客观缓解率分别为35.4% vs 19.7%,同比增长了近2倍;1年生存率分别为54% vs 44%;O+Y组相较于单纯化疗的死亡风险降低22%(HR 0.78)。
3.在全随机人群中,O+化疗组 vs 化疗组:中位总生存期分别为13.2个月 vs 10.7个月;12个月无进展生存率分别为24% vs 16%;客观缓解率分别为47% vs 27%。
对患者报告结果的探索性分析显示,与化疗相比,接受Opdivo治疗的患者生活质量取得显著的整体改善。
03、总缓解率翻3倍,卡瑞利珠单抗有望开启长生存之路
2020年6月19日,据国家药品监督管理局(NMPA)官网显示,卡瑞利珠单抗(商品名:艾瑞卡)新适应症获批!而且还是一次性获批两个适应症(相关受理号为CXSS1900034、35):
联合培美曲塞和卡铂一线治疗晚期或转移性非鳞非小细胞肺癌
单药二线治疗晚期食管鳞癌
卡瑞利珠单抗(Camrelizumab)是我国恒瑞医药自主研发的PD-1单抗隆抗体,且具有自主知识产权。在2019年早已在中国上市,此前有两种获批适应症:复发/难治性霍奇金淋巴瘤和晚期肝细胞癌。

截止目前,算上本次斩获的2个新适应症,共计4个适应症,覆盖4个癌种。
食管癌靶向治疗药物
2018年11月26日,整个医疗界和癌友圈都为一款FDA新批准上市的抗癌药物沸腾,这就是全球首个不区分肿瘤来源用于初始治疗的靶向药--Vitrakvi ®(拉罗替尼,larotrectinib,下文统称拉罗替尼),用于成人和小儿具有神经营养受体酪氨酸激酶(NTRK)基因融合的实体瘤治疗。
01、在NTRK基因扩增食管癌中,拉罗替尼具有抗肿瘤活性
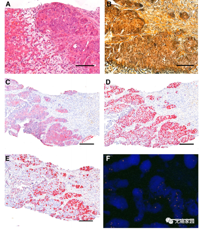
今天小编跟各位癌友分享一则2020年4月份刊登在《The Oncologist》杂志上的NTRK基因扩增食管癌临床案例,以供大家参考。

此名患者是一位71岁的男性,2018年12月感到吞咽障碍、伴有咳嗽、呼吸困难等症状,3个月内体重减轻20公斤,身体状况不佳,ECOG体力状况评分为3分(生活仅能部分自理,日间一半以上时间卧床或坐轮椅)。患者没有酗酒、吸烟史,也未得过肿瘤,食管胃十二指肠镜检查显示在食管中断有狭窄性食管癌,CT显示双侧肺转移,超声检查和CT显示多发性肝转移。食管肿瘤活检和经超声检查控制肝活检诊断确认。
经过FoundationOne CDx测试等常规组织学检查,确定患者为转移性鳞状细胞食管癌。测序结果中显示肿瘤组织中含有NTRK1基因突变,遂从2019年2月4日开始服用拉罗替尼治疗,患者接受2×100毫克的标准剂量,治疗期间未发生副作用。

患者常规组织学检查测序结果
患者治疗前于2019年1月4日完成螺旋CT扫描,起初显示出多处肺和肝转移。在治疗后评估ECOG体力状况评分为1,并且体重增加9公斤,能够离开医院且生活自理。2019年4月17日进行的随访活检检查(食管胃十二指肠镜检查)证实了患者的食管再无肿瘤。

患者食管支架治疗前用拉罗替尼及治疗后6周食管胃十二指肠镜检查结果
除了拉罗替尼外,目前全球对于NTRK药物的研发正在如火如荼地进行中,给更多患者带来新希望!无癌家园医学部特地为各位癌友们整理了目前正在招募的NTRK抑制剂的信息,希望给各位急于寻医问药的患者更多的治疗选择!

无癌家园建议食管癌患者:
1、至少接受与食管癌相关的十几个基因的检测。
2、最好一次性接受癌症全基因检测(几百个相关基因),这样能够获得更多与治疗相关的药物信息和临床试验信息。
目前用于治疗食管癌的靶向治疗重要靶点包括:
Her2、EGFR、PDL 1 、MSI-H、HPV和EBV等
考虑经济因素的患者可以重点检测指南推荐的靶点。但是随着基因检测技术的进步和成本的下降,国际医学专家更加强调食管癌患者做更多的基因检测,最好一次性做癌症全基因检测帮助食管癌患者获得更全面的治疗信息。
CAR-T疗法治疗食管癌
CAR-T疗法就是嵌合抗原受体T细胞免疫疗法,是一种治疗肿瘤的新型精准靶向疗法。通过基因工程技术将T细胞激活,并装上定位导航装置CAR(肿瘤嵌合抗原受体),将T细胞这个普通“战士”改造成“超级战士”,即CAR-T细胞,专门识别体内肿瘤细胞,并高效杀灭肿瘤细胞,从而达到治疗恶性肿瘤的目的。
目前,随着阿基仑赛注射液、瑞基奥仑赛注射液前后在中国获批上市,癌症治疗领域火速掀起一阵“CAR-T热”。的确,CAR-T技术在多种血液肿瘤,如白血病、淋巴瘤、多发性骨髓瘤中,表现出不俗的疗效,让许多濒临绝境、无药可治的血癌患者,一大半都获得了良好的疗效。
虽然,CAR-T疗法在实体肿瘤方面如肝癌、胃癌、胰腺癌等消化系统肿瘤中也取得了一定的疗效,但是少之又少,这主要是碍于靶点选择困难、CAR-T细胞进入肿瘤组织困难、CAR-T细胞进入肿瘤组织后容易被其他免疫抑制性的分子或细胞所阻挡无法发挥作用等。
但国内外的学者针对CAR-T进行了多种改造,不断地发现新靶点,以用于治疗多种实体肿瘤。
目前已经有利用以EpCAM、HER2为靶点的CAR-T治疗食管癌的临床研究正在开展。
目前,无癌家园有多款血液肿瘤及实体瘤的CAR-T临床试验正在进行招募,有意向者可咨询医学部具体评估病情!

肿瘤浸润淋巴细胞(TILs)疗法治疗食道癌
TILs疗法,简单点讲就是将手术切除的肿瘤组织中的淋巴细胞分离纯化,挑选出其中能特异性抗癌的淋巴细胞,扩增活化后回输。这类疗法拥有30多年的历史,最早用于恶性黑色素瘤,近年来在宫颈癌、肺癌等多种实体瘤中都给出了不俗的数据。
01、首个实体瘤细胞免疫疗法获FDA突破性疗法称号
2019年6月,FDA批准肿瘤浸润淋巴细胞(TIL)治疗方法LN-145为突破性的治疗指定,这是用于实体瘤的细胞免疫疗法首次获此殊荣,相信距离上市也仅是时间问题,一旦FDA批准,这将是首款用于实体瘤的细胞免疫疗法,将给癌症患者带来巨大的生存获益。
02、疾病控制率80.3%,随访时间延长至28.1个月,TILs疗法有望上市
就在刚刚落下帷幕的2021年AACR会议上报道了自体肿瘤浸润淋巴细胞在经预处理的晚期黑色素瘤中能够产生持久的反应,即基于TILs细胞的创新型疗法LN-144(Lifileucel)表现出积极的客观缓解率,对晚期黑素瘤患者进行了28.1个月的随访后,其中位反应持续时间尚未达到。此结果一经发出,再次引起轰动!
TILs免疫疗法招募
目前无癌家园有一款TILs免疫细胞临床试验正在招募中,主要治疗恶性实体肿瘤(包括肺癌、食道癌、卵巢癌、宫颈癌、乳腺癌、胆道癌)等癌种。若想参加请咨询无癌家园医学部,详细评估病情。
日本食管癌手术治疗经验丰富,处于国际领先水平
癌研有明病院的食道癌外科,负责人是渡边雅之医生,该医生也是医院的副院长,同时兼任着消化器外科部长和食道癌外科部长,可见病院对食道外科的重视。食道癌领域,很多国内诊断为无法手术的上段食道癌患者,也有在有明成功手术的经历。
食道癌手术的难度之一是体现在淋巴结的清扫,食道因为其特殊的功能和构造,周边的密布淋巴结,这也是食道癌容易出现淋巴结转移的原因之一,因此,手术在切除时需要做到淋巴结的充分清扫,以降低患者的复发风险。

而对于早期的食道癌患者,会考虑采取内视镜手术的形式进行治疗,而ESD手术等内视镜手术,在癌研有明的食道外科、胃癌、大肠癌方面都已经拥有多年的治疗经验,几位不同科室的医生都是该领域的佼佼者。
此外,关于食道癌术后并发症的发生,癌研有明病院的食道癌外科,拥有专门针对食道癌术后并发症的控制团队和流程,通过科学有效的管理,将患者术后并发症的几率降低到最小。
除此之外,癌研有明病院在胃癌、大肠癌、肝胆胰外科等消化道肿瘤的手术量常年排名日本第一,并且极高的五年生存率远超日本其他医院。
对于有海外就医需求的患者,如果所属疾病属于该院适合的领域,可以先预约远程会诊咨询是否适合,如果确认适合接收患者治疗的话,即便在疫情期间,也可以通过申请日本医疗签证的形式赴日进行治疗。如果有其他希望了解的内容,也可以直接咨询无癌家园医学部。
质子治疗食管癌
食管癌的治疗方法主要包括手术、放疗和化疗,其中放疗是最重要的方法之一。但是由于食道特殊距离心脏和肺部太近,传统X射线辐射会增加短期和长期副作用,而且后续研究显示这些多余的放射剂量会严重影响患者的预后,从而增加患上心脏病或肺部疾病的风险。因此,质子治疗可能是治疗晚期食道癌患者的绝佳选择。
由于质子射线拥有独特的布拉格效应,可以确保射线治疗剂量尽可能集中到肿瘤病灶区域。同时最大程度地降低对心脏和肺部的风险。质子治疗提供了无与伦比的精确度:它到达肿瘤部位并停止,以更高的剂量靶向肿瘤并增加治疗成功的可能性。
01、实锤!选择质子治疗毒副作用最小
谈到食管癌质子放疗治疗的前瞻性临床研究,就不得不提2019年第61届美国放射肿瘤学会(ASTRO)年会上,美国MD安德森癌症中心的研究者汇报了这项比较食管癌质子放疗对比光子放疗的随机对照临床ⅡB期研究。
此试验共纳入2012年4月~2019年11月共计145例局部晚期食管癌患者,中位随访时间为44.1个月。质子放疗组(73例)较光子放疗组(72例)显著降低总的毒性反应(IMRT 39.9 vs PBT 17.4 )。在严重毒性反应方面,IMRT组有3例5级毒性反应,而PBT组无5级毒性反应发生。另外,质子放疗组和光子放疗组的PFS无统计学差异(中位PFS 28.5个月 vs 18.1个月)。而两组的总生存及生活质量评分均无统计学差异。
这项临床试验研究充分证实了质子放疗较常规光子放疗可显著降低局部晚期食管癌患者的毒性反应,而两组患者的总生存和无疾病进展生存期均与光子放疗相似。
02、再添实锤!质子治疗食管癌的剂量优势
多项研究发现心脏和肺等器官受照与毒性作用及术后并发症的发生密切相关。据《胃肠肿瘤学》杂志刊登的一篇关于各项放疗技术治疗食管癌患者的剂量优势的文章显示,与3D适形放疗(3DCRT)相比,IMRT改善了器官的剂量分布;治疗计划和剂量学的比较研究进一步显示,与3DCRT和IMRT相比,质子治疗可显著降低心脏和肺的照射剂量。质子治疗可最大程度地保护心脏前部组织,减少心脏的照射剂量,具有明显的临床优势。(想了解质子治疗请咨询无癌家园医学部)

图为质子治疗与IMRT治疗食管癌的剂量学比较,左为质子治疗,右为调强放疗
(注:Dmax,最大点剂量;Vx,体积乘以Gy的x剂量;MLD,平均肺部剂量;MHD,平均心脏剂量;MLivD,平均肝脏剂量;MKD,平均肾脏剂量)
除了上述临床研究的疗效外,新版美国国家综合癌症网络(NCCN)最新版指南将质子治疗作为头颈部肿瘤治疗食管癌的标准治疗方法之一。指南中指出,患者若在治疗中需要减少危及心脏、肺部等重要器官的剂量,但3D技术又无法实现时,可以选择适型调强放射治疗或质子治疗。
小编认为,随着医疗技术的日益更新,对于无法进行手术、不耐受化疗和放疗、没有其他治疗选择的患者,质子治疗将会给更多的实体瘤患者带来希望,由于其毒副作用较小、剂量最佳等优势,质子治疗将会备受关注,我们共同期待质子治疗能够使越来越多的癌症患者受益。
权威专家推荐
胃肠道肿瘤专家

Jeffrey A. Meyerhardt博士
职称:内科副教授(哈佛医学院),主任医师
职务:胃肠道肿瘤中心临床主任,临床研究室副总监
小编有话说
食管鳞癌的病因特别复杂,为进一步提升其治疗的效果,需要以“组合拳”,即免疫肿瘤药物联合放疗、化疗和其他免疫肿瘤药物等是目前临床研究的重点和热点。
此外,无癌家园告诫各位癌友们,在如何选择最佳治疗方案和用药上应该求助于国内外权威专家,这样才能少走弯路,从而得到最大的临床获益。
如果您对于目前的治疗方案有疑问,或者想要咨询更合适的治疗方案,请联系无癌家园医学部申请国际会诊。
扫描进患者病友群
肺癌|胃癌|肝癌|结直肠癌|胰腺癌
乳腺癌|脑瘤|淋巴瘤|儿童肿瘤等
相关推荐
“手术成功”不等于万事大吉,新型癌症疫苗
EGFR突变型患者在非小细胞肺癌中约占30%,在欧美患者中约占10%~20%,在亚洲患者中占比超过50%,是非小细胞肺癌的第二大致癌驱动因素。...
全球肿瘤医生网 2020-08-05
2026年靶向治疗抗癌风暴,突破困境,普
EGFR突变型患者在非小细胞肺癌中约占30%,在欧美患者中约占10%~20%,在亚洲患者中占比超过50%,是非小细胞肺癌的第二大致癌驱动因素。...
全球肿瘤医生网 2020-08-05
2026年这些肺癌疫苗正悄然改变患者的生
EGFR突变型患者在非小细胞肺癌中约占30%,在欧美患者中约占10%~20%,在亚洲患者中占比超过50%,是非小细胞肺癌的第二大致癌驱动因素。...
全球肿瘤医生网 2020-08-05
新一代NTRK基因融合突变靶向药TL11
EGFR突变型患者在非小细胞肺癌中约占30%,在欧美患者中约占10%~20%,在亚洲患者中占比超过50%,是非小细胞肺癌的第二大致癌驱动因素。...
全球肿瘤医生网 2020-08-05
实现33个月长生存!中国团队成功攻克&q
EGFR突变型患者在非小细胞肺癌中约占30%,在欧美患者中约占10%~20%,在亚洲患者中占比超过50%,是非小细胞肺癌的第二大致癌驱动因素。...
全球肿瘤医生网 2020-08-05
破解术后复发噩梦!NK细胞疗法让晚期胃癌
EGFR突变型患者在非小细胞肺癌中约占30%,在欧美患者中约占10%~20%,在亚洲患者中占比超过50%,是非小细胞肺癌的第二大致癌驱动因素。...
全球肿瘤医生网 2020-08-05




![[field:title/]](/uploads/allimg/20200224/1-2002241I5262J.jpg)
![[field:title/]](/uploads/allimg/20200224/1-2002241I3461D.jpg)
![[field:title/]](/uploads/allimg/20200224/1-2002241H94LK.jpg)
![[field:title/]](/uploads/allimg/20200224/1-2002241HKW34.jpg)
![[field:title/]](/uploads/allimg/20200224/1-2002241H619327.jpg)
![[field:title/]](/uploads/allimg/20200224/1-2002241H34H52.jpg)
![[field:title/]](/uploads/allimg/20200224/1-2002241H22IH.jpg)
![[field:title/]](/uploads/allimg/20200224/1-2002241G93O18.jpg)

