史上最难癌基因被搞定?全球首款KRAS靶向药sotorasib突出重围!
全球首款KRAS靶向药物,Kras G12C抑制剂Sotorasib(Lumakras中文名索托拉西布)获批上市
过去医学家们由于医疗条件的落后,可能对某些基因突变束手无策,然而要说KRAS突变绝对号称史上最难癌基因!不仅是医学界最早发现的癌基因之一,也是众多常见实体瘤中最常见的癌基因之一,被称为“魔王”突变当之无愧!
作为靶向治疗中的“钉子户”一般的存在,近40年来,几乎所有靶向药都在KRAS基因突变的面前纷纷折戟。作为实体瘤中最常见的癌基因之一,大约30%的肿瘤都存在KRAS突变,包括90%的胰腺癌,30%~40%的结肠癌和15%~20%的肺癌。

人类癌症中RAS基因突变的频率和分布
然而就在最近,在医学研究者们的不断努力下,KRAS这座碉堡终于被攻下了,首当其冲的是蛰伏9年的KRAS靶向药Sotorasib(AMG510),作为2013年研发成功的首款进入临床试验的KRAS抑制剂,一直都备受业内和癌友们的广泛关注。
5月28日,FDA批准Lumakras (sotorasib)用于治疗携带KRAS G12C突变且至少接受过一次全身性治疗的非小细胞肺癌(NSCLC)患者。这是目前唯一一款获得批准用于KRAS突变的靶向药,也称为科学人员突破KRAS“不可成药”的里程碑!
Lumakras的获批,使得非小细胞肺癌靶向精准治疗又向前迈进一大步!

KRAS突变肺癌的救星!sotorasib爆最新数据,生存期超1年
肺癌是发病率最高的肿瘤之一,但得益于其治疗策略的不断突破,例如靶向药物治疗和免疫治疗,让非小细胞肺癌(NSCLC)患者的生存率大大提高,尤其是近年来有靶向药可用的基因突变越来越多。
靶向 KRAS p.G12C 的sotorasib,就又给一批晚期非小细胞肺癌患者带来了新希望。KRAS 突变约占非小细胞肺癌突变的25%。KRAS G12C突变约占非小细胞肺癌突变的13%。
这项批准基于CodeBreaK 100的II期临床试验最新数据不仅在2021年美国临床肿瘤学会(ASCO)上更新,并且发表于国际知名医学杂志《新英格兰医学杂志(NEJM)》上。

此研究共纳入126例先前接受标准疗法的KRAS p.G12C突变晚期患者,81%的患者既往接受过铂类化疗和PD-1/PD-L1抑制剂的治疗。
而124例患者可评估反应。其中完全缓解4例(3.2%),部分缓解42例(33.9%),客观缓解率达37.1%,疾病控制率为80.6%(100/124)。中位缓解持续时间为11.1个月,中位无进展生存期为6.8个月。
令人惊喜的是,结果显示,接受sotorasib治疗患者的中位总生存期(mOS)达12.5个月,并且缓解效果又快又持久,未出现新的安全问题。对于这些接受过多轮治疗的患者来说,sotorasib带来是一条全新的生路。
经典病例
病例1
这是一位非小细胞肺癌患者,男,55岁,既往尝试过所有的治疗方案,包括化疗、厄洛替尼、PD1、dasatinib、M3541,均以失败告终,使用AMG510(360mg)后,肿瘤缩小67%。在用药18周后病灶消退到无法测量,已达到完全缓解状态!

病例2
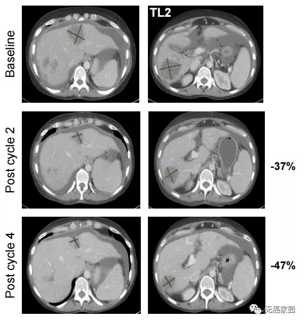
这是一位55岁非小细胞肺癌女性患者,据计算机断层扫描两个目标病变可以看出,与初始时间相比,使用sotorasib治疗10周、16周后的肿瘤的长度和宽度都有明显缩小。

KRAS新锐MRTX849瞄准多种实体瘤,疾病控制率高达96%
Adagrasib(MRTX849)是一款针对KRAS G12C突变体的特异性优化口服抑制剂,在非小细胞肺癌和结直肠癌及其他实体肿瘤治疗中展现出良好的疗效,有望成为继AMG510之后第二款获批上市的KRAS抑制剂。
1、非小细胞肺癌:疾病控制率高达96%
51名KRAS G12C突变非小细胞肺癌患者中,客观缓解率高达45%,这意味着将近一半的患者在接受Adagrasib(MRTX849)治疗后,肿瘤病灶缩小了30%以上,并且没有进展或扩散。
51名患者中的49例实现了部分(PR)或完全缓解(CR)或疾病稳定(SD),疾病控制率高达96%。

使用 adagrasib 治疗前后的患者 CT 扫描。黄色箭头标记主要肿瘤的位置
2、结直肠癌:疾病控制率94%
在可以评估的18名大肠癌患者中,3例患者达到客观缓解,客观缓解率为17%,其中两例仍在接受治疗。
其中17例患者(94%)疾病得到控制,其中12例患者仍在接受治疗。18名患者中有10例已经接受了4个月以上的治疗。
3、其他实体肿瘤:疾病控制率100%
在可评估的其他实体瘤的6名患者中,其中1例子宫内膜癌,1例胰腺癌,1例卵巢癌和1例胆管癌达到部分缓解。2名阑尾癌患者病情稳定。
所有6名患者仍在接受治疗。这意味着疾病控制率达到了100%!
典型病例
病例1
61岁晚期肺癌女性患者,接受过6种方案的化疗、1种MEK抑制剂靶向治疗、1种PD-1抗体治疗(K药),均失败告终,不得不说是极端难治的“无药可救”的状态,入组临床试验后,肿瘤缩小62%,疗效一直很稳定。

病例2
45岁晚期肺腺癌女性患者,接受过K药联合化疗、单独多西他赛、MEK抑制剂联合CDK4/6抑制剂双靶向药治疗,治疗均失败后接受了MRTX-849治疗,第一次扫描肿瘤缩小33%,第二次扫描肿瘤缩小43%,临床症状明显改善。

病例3
47岁晚期结直癌女性患者,合并肝脏、腹膜、卵巢和淋巴结转移,无吸烟史,先前接受过贝伐+FOLFOX方案化疗、卡培他滨单药化疗、贝伐+FOLFIRI方案化疗以及一个临床试验性的抗体耦联新药,疾病进展后接受了MRTX-849治疗,第一次扫描肿瘤缩小37%,第二次扫描肿瘤缩小47%,疗效一直维持。

用不到sotorasib、Adagrasib怎么办?国药D-1553强势来袭
鉴于sotorasib刚刚获批上市,国人还处于一药难求的迫切阶段,我国的药企也加大了关于KRAS靶点的新药研发进程。
好消息是,针对KRAS g12c突变的各类实体瘤患者,一款国产新药物——D-1553已经正式开始招募患者了!希望参加的患者可以咨询无癌家园医学部(400-626-9916)了解该试验。

小编有话说
sotorasib(AMG510)的上市只是一个开始,医学研究者们对于KRAS突变肿瘤的靶向药的研究从未停歇,除了更多KRAS G12C靶向药,还有针对KRAS G12D的靶向药,针对SHP2的靶向药,针对KRAS/SOS1相互作用的靶向药,针对KRAS降解的靶向药等。
此外,有研究表明,KRAS G12C靶向药与其他免疫药、靶向药的联用效果会更佳!这说明,联合用药或许可以让更多的癌症患者从中获益。小编也相信,在未来将会有众多KRAS靶向药不断涌现,让更多患者有药用,用好药!
参考文献
1.https://www.nejm.org/doi/pdf/10.1056/NEJMoa2103695?listPDF=true2.https://www.ncbi.nlm.nih.gov/pmc/articles/PMC6954325/figure/F4/
扫描进患者病友群
肺癌|胃癌|肝癌|结直肠癌|胰腺癌
乳腺癌|脑瘤|淋巴瘤|儿童肿瘤等
相关推荐
【胃癌CAR-T细胞疗法】IMC002注
EGFR突变型患者在非小细胞肺癌中约占30%,在欧美患者中约占10%~20%,在亚洲患者中占比超过50%,是非小细胞肺癌的第二大致癌驱动因素。...
全球肿瘤医生网 2020-08-05
晚期肺癌实现完全缓解!2026非小细胞肺
EGFR突变型患者在非小细胞肺癌中约占30%,在欧美患者中约占10%~20%,在亚洲患者中占比超过50%,是非小细胞肺癌的第二大致癌驱动因素。...
全球肿瘤医生网 2020-08-05
【淋巴瘤疫苗招募】WGc-043疫苗剑指
EGFR突变型患者在非小细胞肺癌中约占30%,在欧美患者中约占10%~20%,在亚洲患者中占比超过50%,是非小细胞肺癌的第二大致癌驱动因素。...
全球肿瘤医生网 2020-08-05
4个月婴儿确诊致命脑瘤被判死刑,革命性抗
EGFR突变型患者在非小细胞肺癌中约占30%,在欧美患者中约占10%~20%,在亚洲患者中占比超过50%,是非小细胞肺癌的第二大致癌驱动因素。...
全球肿瘤医生网 2020-08-05
胰腺癌实现完全缓解!2026癌症疫苗,T
EGFR突变型患者在非小细胞肺癌中约占30%,在欧美患者中约占10%~20%,在亚洲患者中占比超过50%,是非小细胞肺癌的第二大致癌驱动因素。...
全球肿瘤医生网 2020-08-05
22款肺癌新药扎堆上市!2026这些基因
EGFR突变型患者在非小细胞肺癌中约占30%,在欧美患者中约占10%~20%,在亚洲患者中占比超过50%,是非小细胞肺癌的第二大致癌驱动因素。...
全球肿瘤医生网 2020-08-05




![[field:title/]](/uploads/allimg/20200224/1-2002241I5262J.jpg)
![[field:title/]](/uploads/allimg/20200224/1-2002241I3461D.jpg)
![[field:title/]](/uploads/allimg/20200224/1-2002241H94LK.jpg)
![[field:title/]](/uploads/allimg/20200224/1-2002241HKW34.jpg)
![[field:title/]](/uploads/allimg/20200224/1-2002241H619327.jpg)
![[field:title/]](/uploads/allimg/20200224/1-2002241H34H52.jpg)
![[field:title/]](/uploads/allimg/20200224/1-2002241H22IH.jpg)
![[field:title/]](/uploads/allimg/20200224/1-2002241G93O18.jpg)

