关乎到头等大事!绝不含糊!质子治疗精准爆破癌细胞,宣战颅底肿瘤
脊索瘤质子治疗,颅底软骨肉瘤质子治疗,颅底锁骨脊索瘤质子放射治疗
达斯蒂·贝利(Dusty Bailey)从事教育工作已有16年,担任过中学图书管理员有8年,除了教孩子们如何学习外,也熟悉如何在网上搜寻资料。不幸的是,她的丈夫马克(Mark)在2018年被诊断出患有罕见的颅底肿瘤(即锁骨脊索瘤)后,她开始不断在网上查询相关肿瘤的专业知识。
当时她和丈夫在阿拉巴马州看到的任何专家和医生都无法告诉这是什么肿瘤,更不用说如何治疗了。他们判定Mark的肿瘤无药可治,并认为无法通过手术将其切除,并建议回家休养,因为不管他做什么,都有可能使病情恶化。
当时他们的儿子才三岁,很担心儿子以后没有父亲的陪伴。于是贝利开始查询网上的相关资料,直到知晓MD安德森(MD Anderson)出色的医疗团队后,便会见了神经外科医师Shaan Raza博士。完成检查后,他说:“您是我本周第二次见过的患者,虽然肿瘤很罕见,但有治疗的方法。”

Raza博士说Mark的肿瘤是锁骨脊索瘤。他讲需要进行10个小时的手术才能将其从颅骨底部移除,然后需要在大卫·格罗斯汉斯(David Grosshans)博士的陪同下进行8个星期的质子治疗。
Mark于2019年2月28日完成了所有的癌症治疗,从那以后没有表现出任何疾病的迹象。只需要每4个月回去检查身体。
靠近颅底区域的颅底肿瘤很棘手,选择质子治疗不会错
上文中提到的Mark所患的锁骨脊索瘤是一种颅底肿瘤,包括脊索瘤和软骨肉瘤。颅底区域的肿瘤难以治疗,因为它们通常靠近关键结构,如脑干、脊髓、颅神经和视神经。这些肿瘤的位置通常使得手术切除困难并且限制了标准X射线所能提供的辐射剂量。质子治疗可能特别适合这些肿瘤,因为它可以最大限度地减少对周围健康组织的辐射暴露。

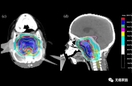
图像取自“点扫描质子放射疗法
质子治疗的更高精确度使健康器官不受影响,允许更高剂量的辐射传递到颅底肿瘤。剂量越高,肿瘤控制得越好。
当质子束以高能高速进入人体,穿透力强,能量可以自由控制调节使射束达到人体组织任意深度。对于有重要组织器官包绕的肿瘤,其它治疗方法束手无策,用质子治疗则显示出了其巨大的优越性。
颅底软骨肉瘤:99%的肿瘤覆盖率,低复发率、高局部控制率
除了脊髓瘤外,另外一种颅底肿瘤是软骨肉瘤。这是一种罕见的恶性肿瘤,通常源于骨骼。它们是由形成软骨基质的转化细胞所定义的多种肿瘤。尽管通常生长缓慢,但是由于其位置和局部侵袭性,这些轴外肿瘤与高发病率有关。如果没有有效的治疗方法,则进行性肿瘤增大会导致局部结构受压或侵入,包括颅神经、脑干和视神经通路。患者通常会出现头痛和复视(双眼)。
Johns Hopkins颅底神经外科医师对一名40岁的右撇子男性进行了初步评估。高分辨率MR成像显示颅骨侵犯了颅骨、累及锁骨和左海绵窦,提示软骨肉瘤,患者接受了手术切除,病理证实为原发性软骨肉瘤。
与单纯手术相比,术后辅助放疗显著降低了复发率(44%至9%)。给定关键位置,整体有利的结局以及治疗颅骨软骨肉瘤所必需的高辐射剂量,将尽一切努力减少对附近关键结构(包括脑干和视神经通路)的辐射剂量。
【评估质子治疗的益处】
一队临床医生、物理学家和放射剂量师对质子和光子辐射治疗进行了仔细的比较计划。
在目前的情况下,质子治疗能够实现更好的肿瘤覆盖率,大约为99%(规定剂量为72 Gy),而光子治疗为91%。相比之下,质子治疗对脑干的最大剂量为57 Gy,光子治疗计划为63 Gy。质子计划实现的脑干平均剂量为4.8 Gy,显著低于光子治疗的24 Gy。

上图:质子治疗的辐射覆盖范围;没有出口剂量;下图:光子疗法的辐射覆盖率;存在出口剂量该患者在8周内接受了40质子放射治疗分数的72Gy的生物等效剂量。没有给予额外的全身治疗。患者对药物的耐受性良好,毒性有限,目前正接受常规随访。
最后对159例颅底软骨肉瘤患者进行的研究证实,全身高剂量辅助质子治疗可实现高局部控制率且毒性最小。低残疾风险,然后进行大剂量质子束治疗,似乎可以在颅底软骨肉瘤中获得最佳的长期效果。
小编有话说
随着医疗技术的日益更新,对于不能手术的患者,不耐受化疗和放疗的患者,没有其他治疗选择的患者,质子治疗将会给更多的实体瘤患者带来希望,由于几乎零副作用的优势,质子治疗将会备受关注,我们共同期待质子治疗在癌症领域大放异彩。若想关注质子治疗国内外前沿最新研究进展或者评估是否适用此疗法可咨询无癌家园(400-626-9916)。
参考文献
1.https://www.mdanderson.org/cancerwise/
2.https://clinicalconnection.hopkinsmedicine.org/news/
扫描进患者病友群
肺癌|胃癌|肝癌|结直肠癌|胰腺癌
乳腺癌|脑瘤|淋巴瘤|儿童肿瘤等
相关推荐
【胃癌CAR-T细胞疗法】IMC002注
EGFR突变型患者在非小细胞肺癌中约占30%,在欧美患者中约占10%~20%,在亚洲患者中占比超过50%,是非小细胞肺癌的第二大致癌驱动因素。...
全球肿瘤医生网 2020-08-05
晚期肺癌实现完全缓解!2026非小细胞肺
EGFR突变型患者在非小细胞肺癌中约占30%,在欧美患者中约占10%~20%,在亚洲患者中占比超过50%,是非小细胞肺癌的第二大致癌驱动因素。...
全球肿瘤医生网 2020-08-05
【淋巴瘤疫苗招募】WGc-043疫苗剑指
EGFR突变型患者在非小细胞肺癌中约占30%,在欧美患者中约占10%~20%,在亚洲患者中占比超过50%,是非小细胞肺癌的第二大致癌驱动因素。...
全球肿瘤医生网 2020-08-05
4个月婴儿确诊致命脑瘤被判死刑,革命性抗
EGFR突变型患者在非小细胞肺癌中约占30%,在欧美患者中约占10%~20%,在亚洲患者中占比超过50%,是非小细胞肺癌的第二大致癌驱动因素。...
全球肿瘤医生网 2020-08-05
胰腺癌实现完全缓解!2026癌症疫苗,T
EGFR突变型患者在非小细胞肺癌中约占30%,在欧美患者中约占10%~20%,在亚洲患者中占比超过50%,是非小细胞肺癌的第二大致癌驱动因素。...
全球肿瘤医生网 2020-08-05
22款肺癌新药扎堆上市!2026这些基因
EGFR突变型患者在非小细胞肺癌中约占30%,在欧美患者中约占10%~20%,在亚洲患者中占比超过50%,是非小细胞肺癌的第二大致癌驱动因素。...
全球肿瘤医生网 2020-08-05




![[field:title/]](/uploads/allimg/20200224/1-2002241I5262J.jpg)
![[field:title/]](/uploads/allimg/20200224/1-2002241I3461D.jpg)
![[field:title/]](/uploads/allimg/20200224/1-2002241H94LK.jpg)
![[field:title/]](/uploads/allimg/20200224/1-2002241HKW34.jpg)
![[field:title/]](/uploads/allimg/20200224/1-2002241H619327.jpg)
![[field:title/]](/uploads/allimg/20200224/1-2002241H34H52.jpg)
![[field:title/]](/uploads/allimg/20200224/1-2002241H22IH.jpg)
![[field:title/]](/uploads/allimg/20200224/1-2002241G93O18.jpg)

