缓解率超55%!国研现货型SK-NK细胞新药IND获批,全面攻克肺癌、胰腺癌、肠癌、淋巴瘤等
国研现货型SK-NK注射液新药临床试验获批,NK细胞疗法全面攻克肺癌、胰腺癌、肠癌、淋巴瘤等
2025年12月4日,由赛奥斯博生物科技与赛奥斯博生物联合申报的SK-NK注射液,顺利获得国家药品监督管理局药品审评中心的临床试验默示许可(IND),适应症为晚期或转移性恶性实体肿瘤伴恶性腹水。
SK-NK注射液作为通用现货型NK细胞产品,针对晚期恶性肿瘤的临床需求,采用非基因改造技术处理同种异体来源的NK细胞,在提升NK细胞制剂有效性的同时,进一步强化了安全性保障,可广泛适用于晚期多种恶性肿瘤伴腹水患者。目前,该注射液的有效性与安全性IIT临床试验已在天津市肿瘤医院正式启动;临床前研究更进一步证实,其能显著提升晚期恶性实体肿瘤伴恶性腹水的治疗效果,为不同类型、不同阶段的此类患者,带来了细胞治疗的新选择与新希望。

▲截图源自“NMPA”
NK细胞联合方案暴击胃肠道肿瘤肝转移,胰腺腺癌病灶消退、结直肠癌缓解
NK细胞是先天免疫的组成部分,能够识别和杀死肿瘤或病毒感染的细胞,并产生各种细胞因子,这些细胞因子在塑造免疫反应中发挥着重要作用。
《肿瘤免疫学》杂志报道了一项“应用异体自然杀伤细胞(NK)联合西妥昔单抗,治疗胃肠道肿瘤肝转移的I期临床试验(NCT02845999)”的振奋数据。
该研究共纳入9例中位年龄为60岁(范围50-66岁)的胃肠道肿瘤患者,其中6名患者患有转移性结直肠癌,3名患者患有胰腺腺癌。入组后所有患者先接受淋巴清除化疗(环磷酰胺+氟达拉滨),之后接受NK细胞注射治疗。
结果显示:NK细胞过继转移后4周,研究团队通过CT扫描评估患者肿瘤反应,整体疗效显著:共有3例患者实现客观临床缓解,另有2例结直肠癌患者病情维持稳定(SD)。另有1例伴有3个肝转移灶的胰腺腺癌患者,出现“分离性反应(Rd)”:虽有两个病灶进展,但右肝最小的病灶完全消退。
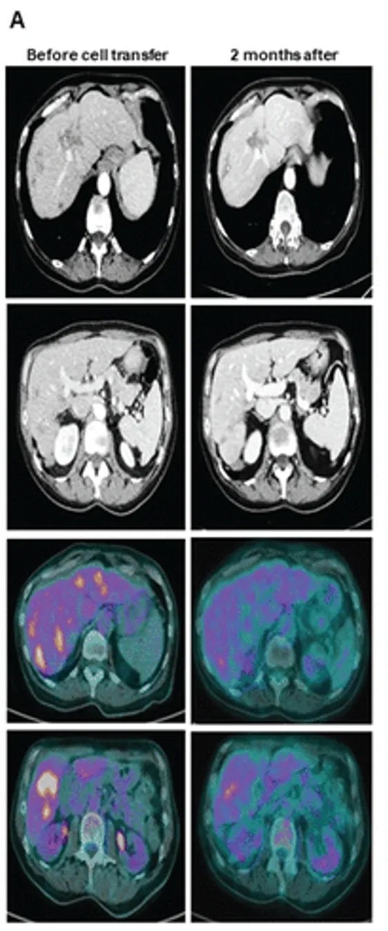
值得一提的是,其中1例(6号患者)的疗效表现尤为亮眼——该患者确诊为KRAS2号外显子野生型结直肠癌,且仅存在肝转移病灶,此前接受包括抗EGFR治疗在内的多种方案均无应答;接受NK细胞治疗后,成功达到部分缓解(PR),FDG-PET扫描进一步证实,其大部分肝转移灶的代谢活性显著降低(详见下图)。
▼该6号患者在接受NK细胞治疗前2个月(左图)、治疗后(右图)的CT及PET对比

▲图源“Oncoimmunology”,版权归原作者所有,如无意中侵犯了知识产权,请联系我们删除
NK细胞联合西妥昔单抗:晚期肺癌放化疗替代方案,生存期/疗效双突破,一例肿瘤缩小超50%
肺癌是全球癌症确诊及癌症相关死亡的首要原因之一,其中约80%为非小细胞肺癌(NSCLC)。多数患者初始治疗依赖手术与化疗,但这些传统方案不仅延长生存期的效果有限,还常伴随多种不良副作用,因此临床对新治疗手段的需求极为迫切。
近年来研究发现,免疫疗法为不适合手术的晚期NSCLC患者提供了新方向,尤其过继性自然杀伤(NK)细胞疗法表现亮眼——其在乳腺癌、肝癌、消化道肿瘤中的临床结果已令人鼓舞。基于此,我国开展了一项“NK细胞疗法联合西妥昔单抗,用于EGFR表达晚期NSCLC二线/三线治疗”的临床研究(NCT02845856),相关数据已同步发表于《美国癌症研究杂志》。
该研究共纳入54例EGFR表达的晚期非小细胞肺癌(NSCLC)患者,按随机分组原则分为两组:A组(27例,西妥昔单抗联合NK细胞治疗)、B组(27例,西妥昔单抗单药治疗)。
治疗结果显示,A组的综合获益显著优于B组,具体表现为:
1、疗效响应:根据RECIST标准评价,A组临床疗效显著优于B组(P<0.05)。3个月随访结果显示,A组疗效优势突出:4例患者实现部分缓解(PR),17例保持病情稳定(SD)。此外,A组患者的免疫功能及生活质量均得到显著改善(P<0.05)。
2、生存数据:A组患者的生存期明显长于B组,中位无进展生存期(PFS)分别为6个月(A组) vs 4.5个月(B组,详见下图);中位总生存期(OS)分别为9.5个月(A组) vs 7.5个月(B组,详见下图)。

▲图源“Am J Cancer Res”,版权归原作者所有,如无意中侵犯了知识产权,请联系我们删除
值得一提的是,其中一位53岁IVA期男性患者的治疗效果尤为突出:经NK细胞联合西妥昔单抗治疗后,肿瘤显著缩小。CT扫描显示,其右肺肿瘤从治疗前的3.5×3.5cm,缩小至治疗后的1.7×1.3cm(详见下图)。

▲图源“Am J Cancer Res”,版权归原作者所有,如无意中侵犯了知识产权,请联系我们删除
MG4101 NK细胞联合利妥昔单抗,攻坚复发难治非霍奇金淋巴瘤,55.6%缓解率让多线治疗失败者重燃希望
全球知名期刊《Blood》报道了一项“应用MG4101(体外扩增的同种异体NK细胞)+利妥昔单抗,联合治疗复发或难治性非霍奇金淋巴瘤”的I期临床研究(NCT03778619)的振奋数据。
该研究共纳入9例中位年龄为64岁(范围:38-80岁)的患者,包括6例弥漫性大B细胞淋巴瘤(DLBCL)、2例套细胞淋巴瘤(MCL)和1例边缘区淋巴瘤(MZL),既往接受的中位全身治疗方案数为4种(范围2-6种),其中必须包含至少一种含利妥昔单抗的治疗方案。
结果显示:客观缓解率为55.6%,其中5例为部分缓解(PR,包括3例弥漫性大B细胞淋巴瘤,1例套细胞淋巴瘤,1例边缘区淋巴瘤;详见下图)。通过嵌套聚合酶链式反应(PCR)检测发现,MG4101可持续存在长达14天。

▲图源“Blood”,版权归原作者所有,如无意中侵犯了知识产权,请联系我们删除
综上,MG4101联合利妥昔单抗治疗方案耐受性良好,在复发或难治性非霍奇金淋巴瘤(NHL)患者中显示出令人鼓舞的抗肿瘤疗效。
小编寄语
NK细胞可在第一时间发现并启动人体的免疫防御机制,及时发现并将癌细胞扼杀在“摇篮”里,是公认的抗癌第一道防线。多项临床研究也表明,NK细胞疗法具有很高的安全性和有效性,可以实现强效、通用和现成的免疫细胞疗法的前景,克服CAR-T 疗法的部分缺点,是抗癌疗法中冉冉升起的新星!
小编也希望通过这篇文章能让更多病友,了解到NK细胞疗法的前沿进展及其在实体瘤和血液肿瘤中的应用,为广大癌友带来新的希望与选择!如果您对现有治疗方案不满意,或想寻求NK细胞疗法、CAR-NK疗法等抗癌新技术的帮助,可将治疗经历、近期病理检查报告、出院小结等,提交至医学部,进行初步评估。
参考资料
[1]Adotevi O,et al.In situ delivery of allogeneic natural killer cell (NK) combined with Cetuximab in liver metastases of gastrointestinal carcinoma: A phase I clinical trial. Oncoimmunology. 2018 Mar 19;7(5):e1424673.
http://pubmed.ncbi.nlm.nih.gov/29721386/
[2]Liang S,et al.Cetuximab combined with natural killer cells therapy: an alternative to chemoradiotherapy for patients with advanced non-small cell lung cancer (NSCLC). Am J Cancer Res. 2018 May 1;8(5):879-891.
https://pmc.ncbi.nlm.nih.gov/articles/PMC5992505/
[3]Yoon D H,et al.A phase 1 study of the combination of MG4101, ex vivo-expanded allogeneic NK cells and rituximab for relapsed or refractory non-hodgkin lymphoma[J]. Blood, 2020, 136: 14-15.
https://ashpublications.org/blood/article/136/Supplement%201/14/472589/A-Phase-1-Study-of-the-Combination-of-MG4101-Ex
扫描进患者病友群
肺癌|胃癌|肝癌|结直肠癌|胰腺癌
乳腺癌|脑瘤|淋巴瘤|儿童肿瘤等
相关推荐
结肠癌肝转移抗复发添重磅方案!DC疫苗让
EGFR突变型患者在非小细胞肺癌中约占30%,在欧美患者中约占10%~20%,在亚洲患者中占比超过50%,是非小细胞肺癌的第二大致癌驱动因素。...
全球肿瘤医生网 2020-08-05
国研H药创全球首例!胃癌围手术期免化疗适
EGFR突变型患者在非小细胞肺癌中约占30%,在欧美患者中约占10%~20%,在亚洲患者中占比超过50%,是非小细胞肺癌的第二大致癌驱动因素。...
全球肿瘤医生网 2020-08-05
【GPC3靶向药】新一代靶向药QLS31
EGFR突变型患者在非小细胞肺癌中约占30%,在欧美患者中约占10%~20%,在亚洲患者中占比超过50%,是非小细胞肺癌的第二大致癌驱动因素。...
全球肿瘤医生网 2020-08-05
乙肝相关肝癌有救了!SCG101 TCR
EGFR突变型患者在非小细胞肺癌中约占30%,在欧美患者中约占10%~20%,在亚洲患者中占比超过50%,是非小细胞肺癌的第二大致癌驱动因素。...
全球肿瘤医生网 2020-08-05
重磅!全球首个口服CDK2/4/6抑制剂
EGFR突变型患者在非小细胞肺癌中约占30%,在欧美患者中约占10%~20%,在亚洲患者中占比超过50%,是非小细胞肺癌的第二大致癌驱动因素。...
全球肿瘤医生网 2020-08-05
2025医保目录重磅更新:16款谈判药拓
EGFR突变型患者在非小细胞肺癌中约占30%,在欧美患者中约占10%~20%,在亚洲患者中占比超过50%,是非小细胞肺癌的第二大致癌驱动因素。...
全球肿瘤医生网 2020-08-05




![[field:title/]](/uploads/allimg/20200224/1-2002241I5262J.jpg)
![[field:title/]](/uploads/allimg/20200224/1-2002241I3461D.jpg)
![[field:title/]](/uploads/allimg/20200224/1-2002241H94LK.jpg)
![[field:title/]](/uploads/allimg/20200224/1-2002241HKW34.jpg)
![[field:title/]](/uploads/allimg/20200224/1-2002241H619327.jpg)
![[field:title/]](/uploads/allimg/20200224/1-2002241H34H52.jpg)
![[field:title/]](/uploads/allimg/20200224/1-2002241H22IH.jpg)
![[field:title/]](/uploads/allimg/20200224/1-2002241G93O18.jpg)

