全球首例肺癌CR!CAR-T让免疫沙漠病灶消失超1年!三箭齐发重创肺癌/肾癌/肝癌等
全球首例肺癌完全缓解!CAR-T细胞疗法让免疫沙漠病灶消失超1年!三箭齐发重创肺癌/肾癌/肝癌等
2025年11月7日,第40届癌症免疫治疗学会(SITC)年会上公布了一项重磅成果——全球首例非小细胞肺癌患者接受CAR-T细胞疗法后实现完全缓解的临床报道,该报道还成功入选大会“150佳摘要”。
这一突破为CAR-T疗法在实体瘤领域(尤其是肺癌这一高发癌种)的落地“打开了一条关键门缝”。尽管后续仍需通过扩大患者样本量、开展多中心研究及延长随访时间,进一步验证该疗法的长期有效性与安全性,但此次从“0到1”的跨越已属极具价值的积极信号,成功填补了CAR-T疗法在肺癌临床应用中的数据空白。而随着CAR-T疗法在实体瘤领域的研究不断深耕,我们有理由相信,将会有越来越多让临床束手无策的实体瘤,被精准免疫疗法攻克!

▲截图源自“businesswire”
里程碑!双受体A2B694 CAR-T攻克"免疫沙漠"肺癌,首例CR稳定超12个月
A2B694凭双受体设计,给CAR-T装上“智能安全锁”,精准杀瘤不“误伤”
A2B694是一款基于A2Bio公司专有Tmod™平台开发的自体逻辑门控研究性细胞疗法,其核心优势在于平台独特的双受体设计——由靶向肿瘤细胞的激活剂与保护正常细胞的阻断剂组成,能精准实现对肿瘤细胞的选择性杀伤,同时避免损伤正常细胞。
具体来看,A2B694的激活剂靶向肿瘤相关抗原间皮素(MSLN),相当于精准识别肿瘤的“靶向武器”,一旦识别到肿瘤细胞便立刻启动攻击;而阻断剂则靶向HLA-A*02,如同保护正常细胞的“安全开关”,碰到表达该分子的正常细胞就马上“刹车”停手。
符合该疗法治疗条件的患者,其肿瘤细胞恰好缺失HLA-A02表达,正常细胞却稳定表达该分子。这就意味着,只有满足“MSLN阳性+缺失HLA-A02”双重条件的肿瘤细胞会被精准清除,保留HLA-A*02的正常细胞则能安然无恙。这一特性大幅提升了疗法的精准性,也显著拓宽了CAR-T疗法在实体瘤治疗中的应用安全窗口。若后续研究持续推进并成功落地,这款名为A2B694的CAR-T产品,有望成为靶向间皮素表达实体瘤(涵盖非小细胞肺癌、间皮瘤、胰腺癌、卵巢癌、结直肠癌等)的新型精准细胞治疗利器。

▲图源“A2 BIO官网”,版权归原作者所有,如无意中侵犯了知识产权,请联系我们删除
A2B694 CAR-T实现首例KRAS双突变肺癌完全缓解,疗效持续稳定超12个月
EVEREST-2研究(NCT06051695)是一项I/II期临床研究,核心目的在于评估CAR-T产品A2B694的安全性与有效性,该研究不仅纳入了9例不同类型的实体瘤患者,包括3例卵巢癌患者、2例胰腺癌患者,以及非小细胞肺癌、结直肠癌、胃食管癌和间皮瘤各1例,更诞生了首例非小细胞肺癌(NSCLC)患者接受CAR-T疗法后获得完全缓解的突破性案例,极具临床参考价值。
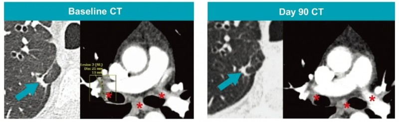
此案例是一位携带KRAS G12V+STK11“双突变”的进展性转移性非小细胞肺癌患者,属于免疫沙漠型肿瘤。该亚型本身就与化疗免疫疗法耐药及不良预后密切相关,患者此前接受卡铂+培美曲塞+帕博利珠单抗(K药)的一线标准治疗后,病情依旧进展,陷入治疗困境。同时,该患者还满足两项严苛的入组条件——肿瘤间皮素(MSLN)高表达与HLA-A02基因缺失(LOH),而在肺癌患者中,同时符合这两项标准的人群占比不足10%,这让该案例的成功更显珍贵。患者入组接受全剂量CAR-T细胞回输治疗后,后续疗效节点呈现出持续向好的态势。
结果显示:在A2B694输注第90天,CT检查显示靶病灶全部消失(详见下图),达到RECIST1.1标准下的完全缓解(CR);第180天,经中央影像复核,正式确认这一完全缓解状态;第190天的PET-CT扫描未见疾病复发迹象。治疗后第6个月和第8个月,ctDNA检测结果持续显示KRAS G12V突变呈阴性,意味着肿瘤残留风险极低。
治疗期间仅出现一次特殊情况,在第243天患者出现孤立性脑转移,但颅外病灶仍维持完全缓解状态。针对这一情况,患者接受了地塞米松+根治性伽马刀放射外科手术联合,术后第284天复查PET-CT显示,病灶持续消失;直至治疗满12个月时,CT检查仍未发现新的病灶,疗效保持稳定。

▲图源“A2 BIO官网”,版权归原作者所有,如无意中侵犯了知识产权,请联系我们删除
曾经,CAR-T这项先进的治疗技术一直掌握在医疗水平发达的国家,很多病友在苦苦等待中遗憾离开。值得中国病友们振奋的是,“天价”疗法不再遥不可及,中国已成功研发出多款针对多款血液肿瘤及实体瘤的CAR-T疗法,并在国内多家知名癌症中心启动临床,主要针对CD70、GPC3、CEA、Claudin18.2等多种靶点,以及结直肠癌、非小细胞肺癌、肾癌、宫颈癌、卵巢癌等多款癌种。
做过基因检测的患者,可自行查看基因检测报告,一旦发现存在上述突变,可将近期病理报告、基因检测报告等资料汇总后,提交至医学部,初步评估是否有机会参加相关临床试验。一旦审核通过,有机会获得”天价“疗法免费治疗的机会。看不懂检测报告或想要明确相关靶点的患者,也可联系医学部,详细解读报告或了解检测详情。
同种异体CD70 CAR-T疗法CTX130暴击肾细胞癌,中位总生存超20个月,1例无病生存3年
肾细胞癌(RCC)约占所有癌症的3%,其中透明细胞肾细胞癌(ccRCC)是最常见的亚型。局限性肾细胞癌通常可通过部分或根治性肾切除术实现治愈,但约30%的患者会发生转移,需接受全身治疗。目前透明细胞肾细胞癌的治疗手段仍较为有限,而嵌合抗原受体(CAR)T细胞疗法的出现,为这类患者提供了全新的治疗方向。
CTX130是一款在研的首创性靶向CD70的同种异体CAR-T细胞疗法,基于CRISPR-Cas9基因编辑技术改造而成,核心研发目标是治疗晚期或难治性ccRCC。其基因编辑改造包含三大关键目标:一是将抗CD70 CAR表达盒插入T细胞受体α恒定区(TRAC)基因座;二是破坏β2-微球蛋白(β2M),消除主要组织相容性复合体(MHC)I类分子的表面表达;三是抑制CD70表达,以此减少同源杀伤并提升治疗效果。
首次人体I期COBALT-RCC临床试验(NCT04438083)进一步验证了其临床价值,截至2023年10月9日,共有16例复发/难治性不可切除或转移性透明细胞肾细胞癌(ccRCC)患者(中位年龄63岁,年龄范围53-77岁)入组,所有患者均先接受了为期3天的淋巴清除治疗(氟达拉滨+抗利尿激素),随后接受CTX130 CAR-T细胞治疗。
结果显示:16例纳入完整疗效分析集的患者中,无一人出现剂量限制性毒性,疾病控制率(DCR)高达81.3%。其中12例(75%)达到疾病稳定(SD),1例(6%)实现完全缓解(CR);患者中位无进展生存期(PFS)为2.9个月(95%CI,1.7–6.0),中位总生存期(OS)长达20.5个月(95%CI,14.3–未达到)。

▲图源“Cancer Discov”,版权归原作者所有,如无意中侵犯了知识产权,请联系我们删除
尤为值得关注的是,其中一例完全缓解的患者在治疗后未接受任何其他抗癌治疗,且3年后仍保持无病状态。
该患者是一位64岁男性,确诊ccRCC后接受阿替珠单抗联合卡博替尼治疗,病情仍复发并转移至肺部、胸膜,随后入组该临床试验。接受CTX130治疗后,患者先达到部分缓解(PR),治疗第3个月便实现完全缓解(CR),且这一状态持续稳定,至治疗第18个月复查时,完全缓解状态仍未改变。

▲图源“BMJ”,版权归原作者所有,如无意中侵犯了知识产权,请联系我们删除
此次临床试验首次报道了肾细胞癌患者通过CAR-T疗法获得完全缓解的案例,不仅印证了CTX130的显著疗效,更进一步证实了CAR-T细胞疗法在实体瘤治疗领域的巨大潜力。
GPC3 CAR-T疗法C-CAR031首次人体研究震撼公布!肝癌疾病控制率飙至90.9%
磷脂酰肌醇蛋白聚糖-3(GPC3)是一种参与调控细胞迁移、增殖与存活的硫酸肝素蛋白聚糖,其独特的表达特性使其成为肝癌靶向治疗的理想靶点。该蛋白在72%的晚期肝细胞癌(HCC)组织中呈高表达,且与患者术后转移风险显著相关;而在正常肝脏、肝硬化肝脏以及发育不良结节、肝腺瘤等良性病变组织中,GPC3均无表达。这一特性让靶向GPC3的治疗既能精准识别并打击癌细胞,又能避免损伤健康肝组织。基于此,阿斯利康针对性研发了靶向GPC3的自体CAR-T疗法——C-CAR031。
2024年美国临床肿瘤学会(ASCO)年会上,C-CAR031的首次人体临床研究(IIT)数据惊艳亮相。该研究针对的是多线治疗失败的晚期肝癌患者(既往接受过1-6线治疗),结果充分展现了C-CAR031可控的安全性与显著的抗肿瘤活性。
本次研究共入组24例BCLC分期晚期的肝细胞癌患者,基线病情复杂且治疗难度大:其中83.3%(20/24)的患者伴随肝外转移,既往治疗中位线数达3.5线(范围1-6线),更有95.8%(23例)的患者此前接受过免疫检查点抑制剂(ICI)联合酪氨酸激酶抑制剂(TKI)治疗。入组患者分别接受了4个不同剂量水平(DL)的C-CAR031输注治疗。
临床结果十分亮眼:在22例可评估疗效的患者中,客观缓解率(ORR)达到50.0%,疾病控制率(DCR)更是高达90.9%,肝内及肝外病灶中位缩小率高达44.0%,缩小范围覆盖3.4%-94.4%。截至中位随访5.82个月,经Kaplan-Meier估计,患者的中位无进展生存期(PFS)为4.27个月(95%CI,2.86-8.90)。

▲图源“ASCO”,版权归原作者所有,如无意中侵犯了知识产权,请联系我们删除
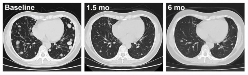
其中,剂量水平4组的C023号患者治疗效果尤为引人注目。接受C-CAR031治疗后,该患者的肿瘤呈现持续退缩的积极态势,仅治疗1.5个月时,肺部转移病灶便出现深度应答,影像学检查清晰显示肿瘤显著缩小,充分彰显了C-CAR031令人振奋的临床潜力。

▲图源“ASCO”,版权归原作者所有,如无意中侵犯了知识产权,请联系我们删除
小编寄语
CAR-T细胞疗法在血液系统恶性肿瘤的治疗领域已取得突破性进展,众多患者从中受益。令人欣慰的是,近年来全球的研究人员从未停止探索的脚步,持续钻研各种新型策略,致力于降低肿瘤抗原异质性,打破免疫抑制的困境,并在胃癌、脑瘤、胰腺癌、肝癌、结直肠癌等实体瘤领域取得了突破性进展!
医学部小编也期望随着越来越多明星靶点的涌现、技术的不断革新,CAR-T疗法可以早日突破价格和癌症治疗的瓶颈,造福更多的癌症晚期患者,实现长期带瘤生存、提高生存质量、降低复发风险的美好愿景!想寻求CAR-T、TCR-T、TIL疗法等国内外抗癌新技术帮助的患者,可将病理检查报告、治疗经历、近期影像学检查等资料汇总后,提交至医学部,进行初步评估,或申请国内外抗癌专家会诊。
参考资料
[1]Pal SK,et al.CD70-Targeted Allogeneic CAR T-Cell Therapy for Advanced Clear Cell Renal Cell Carcinoma. Cancer Discov. 2024 Jul 1;14(7):1176-1189.
https://pmc.ncbi.nlm.nih.gov/articles/PMC11215406/
[2]Pal S,et al.558 CTX130 allogeneic CRISPR-Cas9–engineered chimeric antigen receptor (CAR) T cells in patients with advanced clear cell renal cell carcinoma: results from the phase 1 COBALT-RCC study[J]. 2022.
https://jitc.bmj.com/content/10/Suppl_2/A584
[3]Zhang Q,et al.Phase I study of C-CAR031, a GPC3-specific TGFβRIIDN armored autologous CAR-T, in patients with advanced hepatocellular carcinoma (HCC)[J]. 2024.
https://meetings.asco.org/abstracts presentations/234377
[4]https://www.businesswire.com/news/home/20251031980313/en/A2-Biotherapeutics-Presents-Initial-Safety-and-Efficacy-Data-from-Ongoing-Phase-12-EVEREST-2-Study-Including-First-Report-of-a-Complete-Response-to-CAR-T-Cell-Therapy-in-a-Patient-with-NSCLC
扫描进患者病友群
肺癌|胃癌|肝癌|结直肠癌|胰腺癌
乳腺癌|脑瘤|淋巴瘤|儿童肿瘤等
相关推荐
【会议通知】12月13日第一届重阳论坛:
EGFR突变型患者在非小细胞肺癌中约占30%,在欧美患者中约占10%~20%,在亚洲患者中占比超过50%,是非小细胞肺癌的第二大致癌驱动因素。...
全球肿瘤医生网 2020-08-05
CAR-GPC3 T细胞首次人体临床试验
EGFR突变型患者在非小细胞肺癌中约占30%,在欧美患者中约占10%~20%,在亚洲患者中占比超过50%,是非小细胞肺癌的第二大致癌驱动因素。...
全球肿瘤医生网 2020-08-05
《Nature》:个体化新抗原疫苗让六成
EGFR突变型患者在非小细胞肺癌中约占30%,在欧美患者中约占10%~20%,在亚洲患者中占比超过50%,是非小细胞肺癌的第二大致癌驱动因素。...
全球肿瘤医生网 2020-08-05
【TIL疗法免费招募】BEN201注射液
EGFR突变型患者在非小细胞肺癌中约占30%,在欧美患者中约占10%~20%,在亚洲患者中占比超过50%,是非小细胞肺癌的第二大致癌驱动因素。...
全球肿瘤医生网 2020-08-05
源于专注,细胞新生|南方医院血液内科急淋
EGFR突变型患者在非小细胞肺癌中约占30%,在欧美患者中约占10%~20%,在亚洲患者中占比超过50%,是非小细胞肺癌的第二大致癌驱动因素。...
全球肿瘤医生网 2020-08-05
首次人体试验告捷!CAR-NK疗法让80
EGFR突变型患者在非小细胞肺癌中约占30%,在欧美患者中约占10%~20%,在亚洲患者中占比超过50%,是非小细胞肺癌的第二大致癌驱动因素。...
全球肿瘤医生网 2020-08-05




![[field:title/]](/uploads/allimg/20200224/1-2002241I5262J.jpg)
![[field:title/]](/uploads/allimg/20200224/1-2002241I3461D.jpg)
![[field:title/]](/uploads/allimg/20200224/1-2002241H94LK.jpg)
![[field:title/]](/uploads/allimg/20200224/1-2002241HKW34.jpg)
![[field:title/]](/uploads/allimg/20200224/1-2002241H619327.jpg)
![[field:title/]](/uploads/allimg/20200224/1-2002241H34H52.jpg)
![[field:title/]](/uploads/allimg/20200224/1-2002241H22IH.jpg)
![[field:title/]](/uploads/allimg/20200224/1-2002241G93O18.jpg)

