8月重磅!药监局批准3款NK细胞,为肝癌、胃癌、肺癌等带来生命火种,最长无病生存近4年
8月重磅!药监局批准3款NK细胞疗法,为肝癌、胃癌、肺癌等带来生命火种,最长无病生存近4年
对癌症患者而言,每一个全新的治疗选择都可能意味着重生的机会。2025年8月7日,国家药监局正式审批通过3款异体NK细胞注射液,其适应症覆盖肝癌、肺癌、胃癌等多种实体肿瘤。这一审批结果,标志着我国NK免疫细胞治疗技术已正式走出实验室,迈入规模化临床应用的新阶段。
此前,田志刚院士曾明确指出:“未来5-10年,NK免疫细胞治疗将会成为癌症治疗的一线治疗方式。”此次国家层面的批准,不仅与院士的预判高度契合,更凸显了NK免疫细胞治疗在医学领域的重要发展价值。这不仅是我国生物医疗技术的一次突破性跨越,更给万千抗癌患者递去希望的火种,为他们撑起坚实的“防护盾”,照亮对抗病魔的前行之路!

▲截图源自“NMPA”
NK细胞精准打击肿瘤的"天然武器"
自然杀伤细胞(Natural killer cells,简称NK细胞)是由造血干细胞分化而来的先天免疫细胞,也是人体第三类淋巴细胞。它不仅是对抗癌细胞的“天然斗士”,能直接杀伤肿瘤细胞;还可通过调节肿瘤微环境,发挥抗癌与抗病毒的双重作用。
长期以来,手术、放化疗等传统癌症治疗手段虽能暂时控制肿瘤进展,却无法清除微小残留癌细胞,也难以逆转肿瘤的免疫逃逸状态——这使得约60%的中晚期患者面临癌症转移风险。不仅如此,这类治疗还会无差别攻击正常细胞,诱发骨髓抑制、器官损伤等严重毒副作用,反而可能加重患者病情。
相比之下,NK细胞疗法的突破意义尤为显著:通过外源性补充NK细胞,既能恢复机体对癌细胞的清除能力,又不会损伤正常细胞,尤其适合身体耐受性较差的患者;同时,依托NK细胞作为免疫监视“第一道防线”的特性,其持续监视功能可有效预防癌细胞扩散转移;更关键的是,NK细胞堪称抗癌“先行军”,无需依赖抗原递呈过程即可直接激活,通过释放颗粒酶、穿孔素等杀伤介质快速精准地消灭癌细胞。
90%疾病控制率!NK细胞联合IRE疗法为晚期肝癌撑起"保护伞",既控肿瘤又延生存期
不可逆电穿孔(IRE)是一种新型非热消融技术,通过毫秒级电脉冲在细胞膜上诱发纳米级缺陷以增加其通透性,既能诱导细胞凋亡,又不损伤细胞外基质,可有效保留组织结构完整性。自然杀伤(NK)细胞则是先天免疫系统的核心组成部分,在宿主早期抗癌防御中发挥关键作用。随着NK细胞生物学研究的深入及功能机制的阐明,已有研究证实NK细胞疗法在肝癌等多种癌症治疗中展现出令人鼓舞的抗肿瘤效果。
基于此,研究团队开展了一项“同种异体NK细胞联合IRE治疗IV期肝细胞癌(HCC)”的临床研究,旨在对比联合治疗与单独IRE治疗的疗效差异。
研究共纳入40例IV期肝细胞癌患者,年龄范围31-77岁,平均55岁。其中25例有乙肝感染史,3例有丙肝感染史。患者被平均分为两组:IRE组(仅接受不可逆电穿孔治疗)、IRE-NK组(接受IRE+同种异体NK细胞联合治疗)。此外,25例肝肿瘤直径>5cm的患者需先接受经导管动脉化疗栓塞术(TACE),待肿瘤明显缩小后再进行IRE治疗。结果显示如下:
1、AFP水平变化:40例患者治疗前1天的甲胎蛋白(AFP)水平均高于正常范围;治疗后呈持续下降趋势。治疗后1个月、3个月:IRE-NK组AFP水平显著低于IRE组(P<0.01),且IRE-NK组中有11例患者的AFP水平降至正常范围。
2、肿瘤体积:两组治疗后肿瘤体积均明显缩小,治疗3个月后,IRE-NK组的最大肿瘤直径显著小于IRE组(P<0.01)。
3、疾病控制率(DCR):IRE-NK组DCR为90%,显著高于IRE组的75%(P<0.01)。

▲数据源自“Cell Physiol Biochem”,医学部整理汇总
4、中位总生存期(OS):末次随访时,IRE-NK组的中位总生存期(OS)为10.1个月,显著长于IRE组的8.9个月(P<0.01,详见下图)。

▲图源“Cell Physiol Biochem”,版权归原作者所有,如无意中侵犯了知识产权,请联系我们删除
研究中两例IRE-NK组患者的疗效尤为突出,治疗3个月后经磁共振成像(MRI)评估均达到完全缓解(CR),具体情况如下:
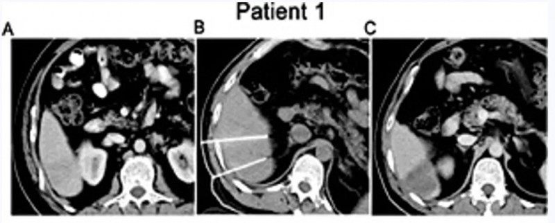
患者1:男性,44岁,2016年4月确诊IV期肝细胞癌,初始HCC结节最大直径3.5cm(详见下图A)。IRE+同种异体NK细胞联合治疗后MRI显示:占位性病变无强化(详见下图C),病灶区域轻度萎缩。

▲图源“Cell Physiol Biochem”,版权归原作者所有,如无意中侵犯了知识产权,请联系我们删除
患者2:女性,52岁,2016年7月入住复大肿瘤医院,IV期肝细胞癌,初始HCC结节最大直径3.0cm(详见下图A)。IRE+同种异体NK细胞联合治疗后MRI显示:病灶内可见大面积坏死(详见下图C)。

▲图源“Cell Physiol Biochem”,版权归原作者所有,如无意中侵犯了知识产权,请联系我们删除
NK细胞+PD-1抑制剂:新一代治疗"黄金组合",让晚期胃癌患者生存期再提2.2个月,客观缓解率翻倍
《Medicine》杂志曾报道一则具有里程碑意义的临床案例:一位晚期胃印戒细胞癌患者,经NK细胞辅助治疗联合手术、化疗后实现了长达46个月的无病生存——这是首个以临床实例证实NK细胞辅助治疗对晚期胃印戒细胞癌具有显著价值的突破。
该案例中的患者为41岁女性,确诊为胃窦小弯侧溃疡性低分化腺癌(以印戒细胞癌为主,伴少量黏液腺癌),肿瘤大小达7×6×1.8cm,已侵犯胃壁全层,脉管内可见癌栓,且胃大弯侧部分淋巴结转移,术后病理分期为ⅢC期(T4a,N3a,M0)。患者接受根治性(R0)胃切除术后,又完成6个周期以奥沙利铂为基础的化疗。
治疗初期,患者糖类抗原(CA)72-4水平显著下降,但随着化疗推进,CA72-4快速升至86.34U/mL;同时免疫功能检测显示,其CD3⁺T细胞及NK细胞百分比均降低,提示免疫功能受损。2016年11月起,患者开始接受NK细胞免疫治疗(静脉注射,每年3次)。
治疗结果显示:NK细胞介入后,患者的肿瘤标志物水平及腹部CT扫描均恢复正常,CA72-4逐步降至正常范围。截至末次随访,患者已实现46个月(约3.8年)的无病生存,且身体状态良好,未发现疾病进展迹象。

▲截图源自“Medicine”
对抗肺癌"黄金组合":NK细胞+PD-1抑制剂,让晚期患者生存期再提2.2个月,客观缓解率翻倍
肺癌年增7.5%,已成为全球最常见恶性肿瘤,严重威胁健康。其中约80%为非小细胞肺癌(NSCLC),5年生存率仅15%。晚期NSCLC一线标准治疗为铂类化疗,但毒副作用大、疗效有限;靶向药虽改善部分患者疗效,但适用人群少且易耐药,因此,迫切需要寻求新的治疗方法。近期研究显示,同种异体NK细胞可抑制肿瘤生长,且其表面表达PD-1。据此开展的“同种异体NK细胞联合帕博利珠单抗治疗晚期NSCLC”研究(NCT02843204),旨在评估该方案作为二/三线治疗的安全性与有效性。
该研究共入组109例既往接受过治疗、PD-L1肿瘤比例评分(TPS)≥1%的晚期非小细胞肺癌(NSCLC)患者,将其分为两组:A组(n=55,接受帕博利珠单抗联合NK细胞治疗)、B组(n=54,仅接受帕博利珠单抗单药治疗)。结果显示如下:
1、客观缓解率(ORR):总人群ORR为27.5%,其中A组ORR达36.4%,显著高于B组的18.5%。
2、中位总生存期(OS):A组中位OS为15.5个月,显著长于B组的13.3个月(详见下图)。进一步分析显示,A组中接受多疗程NK细胞输注患者的OS为18.5个月,优于接受单疗程输注患者的13.5个月。

▲图源“JCI”,版权归原作者所有,如无意中侵犯了知识产权,请联系我们删除
3、中位无进展生存期(PFS):A组中位PFS为6.5个月,明显优于B组的4.3个月,差异具有统计学意义(P<0.05)。

▲图源“JCI”,版权归原作者所有,如无意中侵犯了知识产权,请联系我们删除
值得一提的是,A组2例典型患者,在治疗后均达到部分缓解(PR)。
患者1:是一位68岁女性,患IVA期非小细胞肺癌(NSCLC),治疗前左肺下叶可见3.8×1.8×2.4cm片状肿瘤;治疗90天后CT显示肿瘤缩小至2.5×1.2×2.1cm(详见下图)。

▲图源“JCI”,版权归原作者所有,如无意中侵犯了知识产权,请联系我们删除
患者2:是一位57岁男性,患IVA期非小细胞肺癌(NSCLC),治疗前左肺下叶存在6.6×5.5×6.2cm肿块;治疗90天后肿瘤缩小至6.1×4.1×4.8cm(红色箭头示肿瘤位置)。

▲图源“JCI”,版权归原作者所有,如无意中侵犯了知识产权,请联系我们删除
复发性乳腺癌新突破!我国首创同种异体NK细胞疗效显著优于自体,淋巴结肿大消退、肿块缩小
近期,我国启动了首个对比自体与同种异体NK细胞治疗复发性乳腺癌的临床试验(NCT02853903),初步结果显示:部分患者肿瘤显著缩小,生活质量亦得到提升。
该研究共纳入36例经组织病理学确诊的复发性乳腺癌患者,随机分为两组:I组(自体NK细胞免疫治疗组,n=18)、II组(同种异体NK细胞免疫治疗组,n=18)。
结果显示:依据RECIST评价标准,Ⅱ组临床疗效优于Ⅰ组:Ⅱ组中3例(16.67%)患者达到部分缓解(PR),12例(66.67%)达到疾病稳定(SD);而Ⅰ组终仅1例(5.56%)达到PR(两组PR率比较,P<0.05),10例(55.56%)达到SD(两组SD率比较,P>0.05)。此外,两组患者在末次治疗后1、2个月,肿瘤体积及CT值均呈下降趋势;且Ⅱ组的肿瘤最大横径与CT值均显著小于Ⅰ组(P<0.05)。
值得关注的是,其中一例46岁乳腺癌患者的治疗效果尤为显著:在NK细胞治疗前,CT显示右乳可见8.0×3.8×5.7cm边界不清的软组织肿块,增强CT示肿块中度不均匀强化;腋窝多发肿大淋巴结,较大者约2.9×1.7×3.8cm(详见下图A)。NK细胞治疗后2个月,肿块缩小至6.8×3.5×5.8cm,强化程度减弱为轻度不均匀强化,且较大肿大淋巴结明显缩小(详见下图B)。

▲图源“Dovepress”,版权归原作者所有,如无意中侵犯了知识产权,请联系我们删除
小编寄语
NK细胞可在第一时间发现并启动人体的免疫防御机制,及时发现并将癌细胞扼杀在“摇篮”里,是公认的抗癌第一道防线。多项临床研究也表明,NK细胞疗法具有很高的安全性和有效性,可以实现强效、通用和现成的免疫细胞疗法的前景,克服CAR-T疗法的部分缺点,是抗癌疗法中冉冉升起的新星!
小编也希望通过这篇文章能让更多病友,了解到NK细胞疗法的前沿进展及其在实体瘤和血液肿瘤中的应用,为广大癌友带来新的希望与选择!如果您对现有治疗方案不满意,或想寻求NK细胞疗法、CAR-NK疗法等抗癌新技术的帮助,可将治疗经历、近期病理检查报告、出院小结等,提交至医学部,进行初步评估。
参考资料
[1]Alnaggar M,et al.Allogenic natural killer cell immunotherapy combined with irreversible electroporation for stage IV hepatocellular carcinoma: survival outcome[J]. Cellular Physiology and Biochemistry, 2018, 48(5): 1882-1893.
https://karger.com/cpb/article/48/5/1882/237/Allogenic-Natural-Killer-Cell-Immunotherapy
[2]Jin YY,et al.NK cells adjuvant therapy shows survival benefits in a gastric mixed signet ring cell carcinoma patient: A case report. Medicine (Baltimore). 2021 Mar 12;100(10):e24979.
https://journals.lww.com/md-journal/fulltext/2021/03120/nk_cells_adjuvant_therapy_shows_survival_benefits.61.aspx
[3]Liang S,et al.Comparison of autogeneic and allogeneic natural killer cells immunotherapy on the clinical outcome of recurrent breast cancer. Onco Targets Ther. 2017 Aug 28;10:4273-4281.
https://www.dovepress.com/comparison-of-autogeneic-and-allogeneic-natural-killer-cells-immunothe-peer-reviewed-fulltext-article-OTT
扫描进患者病友群
肺癌|胃癌|肝癌|结直肠癌|胰腺癌
乳腺癌|脑瘤|淋巴瘤|儿童肿瘤等
相关推荐
“手术成功”不等于万事大吉,新型癌症疫苗
EGFR突变型患者在非小细胞肺癌中约占30%,在欧美患者中约占10%~20%,在亚洲患者中占比超过50%,是非小细胞肺癌的第二大致癌驱动因素。...
全球肿瘤医生网 2020-08-05
2026年靶向治疗抗癌风暴,突破困境,普
EGFR突变型患者在非小细胞肺癌中约占30%,在欧美患者中约占10%~20%,在亚洲患者中占比超过50%,是非小细胞肺癌的第二大致癌驱动因素。...
全球肿瘤医生网 2020-08-05
2026年这些肺癌疫苗正悄然改变患者的生
EGFR突变型患者在非小细胞肺癌中约占30%,在欧美患者中约占10%~20%,在亚洲患者中占比超过50%,是非小细胞肺癌的第二大致癌驱动因素。...
全球肿瘤医生网 2020-08-05
新一代NTRK基因融合突变靶向药TL11
EGFR突变型患者在非小细胞肺癌中约占30%,在欧美患者中约占10%~20%,在亚洲患者中占比超过50%,是非小细胞肺癌的第二大致癌驱动因素。...
全球肿瘤医生网 2020-08-05
实现33个月长生存!中国团队成功攻克&q
EGFR突变型患者在非小细胞肺癌中约占30%,在欧美患者中约占10%~20%,在亚洲患者中占比超过50%,是非小细胞肺癌的第二大致癌驱动因素。...
全球肿瘤医生网 2020-08-05
破解术后复发噩梦!NK细胞疗法让晚期胃癌
EGFR突变型患者在非小细胞肺癌中约占30%,在欧美患者中约占10%~20%,在亚洲患者中占比超过50%,是非小细胞肺癌的第二大致癌驱动因素。...
全球肿瘤医生网 2020-08-05




![[field:title/]](/uploads/allimg/20200224/1-2002241I5262J.jpg)
![[field:title/]](/uploads/allimg/20200224/1-2002241I3461D.jpg)
![[field:title/]](/uploads/allimg/20200224/1-2002241H94LK.jpg)
![[field:title/]](/uploads/allimg/20200224/1-2002241HKW34.jpg)
![[field:title/]](/uploads/allimg/20200224/1-2002241H619327.jpg)
![[field:title/]](/uploads/allimg/20200224/1-2002241H34H52.jpg)
![[field:title/]](/uploads/allimg/20200224/1-2002241H22IH.jpg)
![[field:title/]](/uploads/allimg/20200224/1-2002241G93O18.jpg)

