苦撑5年命悬一线,TIL细胞疗法带患者绝处逢生
苦撑5年命悬一线,TIL细胞疗法带患者绝处逢生
这么多年以来,见过太多因患癌而支离破碎的家庭,也见过无数在绝望中苦苦挣扎的眼泪。很多晚期实体瘤患者在经历了手术、放疗、化疗的“三板斧”后,往往会面临无药可用的绝境。
然而,今天我想告诉大家的是:医学的疆域正在被无限拓宽,哪怕是那些曾经被判了“死刑”的极晚期转移性癌症,如今也迎来了逆转命运的曙光。 这并非科幻小说中的情节,而是正在各大顶级医院真实发生的医学奇迹。今天,我们就来深度聊一聊,这项让全球肿瘤界为之沸腾的新型武器,TIL细胞疗法。
至暗时刻的曙光,一位绝症孕妈的五年抗争史

时间拨回2020年的夏天,38岁的牛女士正沉浸在即将迎来第二个宝宝的巨大喜悦中。但在怀孕8个月时,她突然开始出现频繁的腹痛、排便不规律以及粪便带粘液。起初,无论是她自己还是家庭医生,都将这归咎于正常的妊娠反应或是孕期常见的痔疮。
然而,生命的警钟却在暗中疯狂敲响。随着症状的急剧恶化,牛女士不得不进行了极其详细的全面检查。当肠镜和影像学报告放在医生的办公桌上时,仿佛一道晴天霹雳劈中了这个家庭——直肠癌,且癌细胞已经大规模扩散至肝脏。这是最让人绝望的Ⅳ期(晚期)癌症!

“我回到家,看着襁褓中刚刚出生的孩子,脑海里只有一个念头:我可能等不到看他长大了。”牛女士在后来接受采访时,眼中依然泛着泪光。“那种撕心裂肺的痛楚,伴随着命运不公的无力感,几乎要将我彻底吞没。”
为了活下去,为了能多陪孩子一天,牛女士开启了长达五年的“炼狱”模式。五年间,她咬牙接受了原发肿瘤切除手术、三次风险极高的肝脏转移灶切除手术,以及整整48轮摧残身心的化疗。她的身体在毒性药物的反复冲刷下变得极度虚弱,但癌症的阴霾却从未散去。
到了2025年初,可怕的复发还是来了。牛女士回忆道:“3月份的时候,我的CEA(癌胚抗原)数值是43,扫描结果显示病情还算稳定。但仅仅一个月后,癌细胞就像疯了一样扩散到了我的骨头和全身几乎所有的淋巴结,我的CEA指标直接飙升到了203!”
这里给大家科普一下,CEA(癌胚抗原)是结直肠癌等恶性肿瘤极其重要的一种肿瘤标志物。它的短时间内成倍飙升,意味着体内的癌细胞正在呈指数级疯狂复制和扩散。四周内发生如此剧烈的恶化,对任何一位肿瘤医生来说,都意味着患者的生命已经进入了倒计时。
就在牛女士几乎要放弃治疗,准备安排后事之时,美国国立卫生研究院(NIH)的一项正在进行的创新免疫疗法临床试验,如同一根从天而降的救命稻草,将她从悬崖边缘拉了回来。这项疗法,就是我们今天的主角:TIL(肿瘤浸润淋巴细胞)疗法。
目前,牛女士已经成功入组并完成了免疫细胞的抽血采集与前期准备。一旦她的肿瘤病灶生长到符合实验室提取的标准(至少1厘米),那些隐藏在她体内的“超级战士”将被唤醒,为她带来改变命运的终极一战。
揭秘抗癌“敢死队”,TIL疗法究竟神在哪里

很多患者常常会问:“化疗我都做了几十次了,靶向药也吃耐药了,这个TIL疗法和它们到底有什么不一样?”
为了让大家听懂,我们打个生动的比方。
传统的化疗,就像是往敌占区(身体)投放“无差别杀伤性炸弹”。它在炸死癌细胞的同时,也会把正常的头发毛囊细胞、胃肠道黏膜细胞、造血干细胞炸得面目全非,这就是为什么化疗会导致疯狂掉发、呕吐和白细胞骤降,正所谓“杀敌一千,自损八百”。
靶向治疗,像是配备了“狙击枪”,只打那些带有特定基因突变的癌细胞。但癌细胞极其狡猾,它挨了几枪之后就会“伪装”或者“变异”(医学上称为耐药机制),这时候狙击枪就找不到目标了。
而TIL疗法,则是一支完全由你身体内部抽调、经过顶级军事化训练的“王牌特种敢死队”。
TIL,全称是“肿瘤浸润淋巴细胞(Tumor-Infiltrating Lymphocytes)”。在每一个肿瘤组织内部,其实都潜伏着一批极其勇敢的免疫淋巴细胞。它们是人体免疫系统中对癌细胞最敏感、杀伤力最强的先头部队,甚至已经深入到了敌军(肿瘤)的腹地。
但遗憾的是,由于肿瘤微环境极其恶劣,它们会释放各种毒素和免疫抑制信号,导致这批“敢死队”往往被压制、陷入休眠,或者因为寡不敌众而溃败。
TIL疗法的核心逻辑,就是“借力打力,王者归来”:
●精准搜救:外科医生通过微创或常规手术,从患者体内取出一小块肿瘤组织。科研人员在超净实验室里,小心翼翼地将这些深陷敌阵、奄奄一息但却精准认识敌人模样的TIL细胞“解救”出来。
●扩增武装:在体外实验室里,科学家利用各种细胞因子(如IL-2)对这些TIL细胞进行激活和疯狂扩增。在短短几周内,原本只有几万个的残兵败将,会被繁育扩增成一支数量高达数百亿甚至上千亿的“超级特种兵集团军”。
●王者回输:最后,医生将这支兵强马壮、杀气腾腾且100%认识患者专属癌细胞的免疫大军,通过静脉重新输回患者体内。
由于这些细胞原本就来自患者自身,它们不存在强烈的排异反应;且因为它们自带“GPS定位系统”(具备多克隆化、高度特异性),它们能在体内迅速追踪到隐藏在各个角落的转移灶,进行斩首行动。更神奇的是,TIL细胞在完成任务后,一部分会转化为“记忆T细胞”在体内长期巡逻,一旦癌细胞敢露头,立刻将其剿灭,从而实现长期的持久抗癌效果。
泰斗领衔,权威期刊《Nature》实锤,晚期实体瘤的“坚冰”被打破

在医学界,数据才是检验真理的唯一标准。近期,由免疫学泰斗、美国国立卫生研究院(NIH)国家癌症研究所首席研究员 Steven A. Rosenberg 博士领导的一项2期临床研究(NCT01174121),在国际顶级医学期刊《自然医学》(Nature Medicine)上重磅发表,直接在整个肿瘤病友圈引发了超级大地震。
Rosenberg博士是何许人也?他是人类癌症免疫治疗领域的开山鼻祖。早在1986年,他的团队就首次在小鼠身上证明了TIL细胞能让肝肺转移瘤消退;1988年,他将这项技术首次应用于人类黑色素瘤患者,让一半以上的患者肿瘤显著消退,震惊了当时的医学界。
这一次,他将目光对准了治疗难度极高、号称“癌症之王”频出的消化道恶性肿瘤(胃肠道实体癌)。

这项试验极为严苛,总共纳入了91例转移性胃肠道癌症患者。这些患者涵盖了食管癌、胃癌、胰腺癌、结肠癌和直肠癌。请注意,他们既往平均已经接受过4种极其猛烈的治疗方案,病情却依旧在恶化。在传统的肿瘤内科理念中,这部分患者几乎已经没有了任何标准治疗的可能,属于真正的“山穷水尽”。
但奇迹就在这里发生了。我们来看看这组震撼人心的数据(为方便阅读,已将复杂数据整理):
| 试验阶段 | 治疗方案 | 患者人数 | 客观缓解(显著缩小)人数 | 客观缓解率 | 缓解持续时间 |
| 第一阶段 | 未经精准筛选的初代TIL治疗 | 18例 | 0例 | 0% | - |
| 第二阶段 | 经过精准筛选的二代TIL疗法 | 39例 | 3例 | 7.7% | 8个月 - 5.8年以上 |
| 第三阶段 | 特定筛选TIL疗法 + 帕博利珠单抗(PD-1) | 34例 | 8例 | 23.5% | 4个月 - 3.5年 |
结果显示,总体患者根据严格的医学影像学标准(RECIST),确认的部分缓解率达到了15.1%。在联合了免疫检查点抑制剂(帕博利珠单抗)后,客观缓解率直接飙升至23.5%!

数据可能是冰冷的,但背后的真实案例却让人热血沸腾:
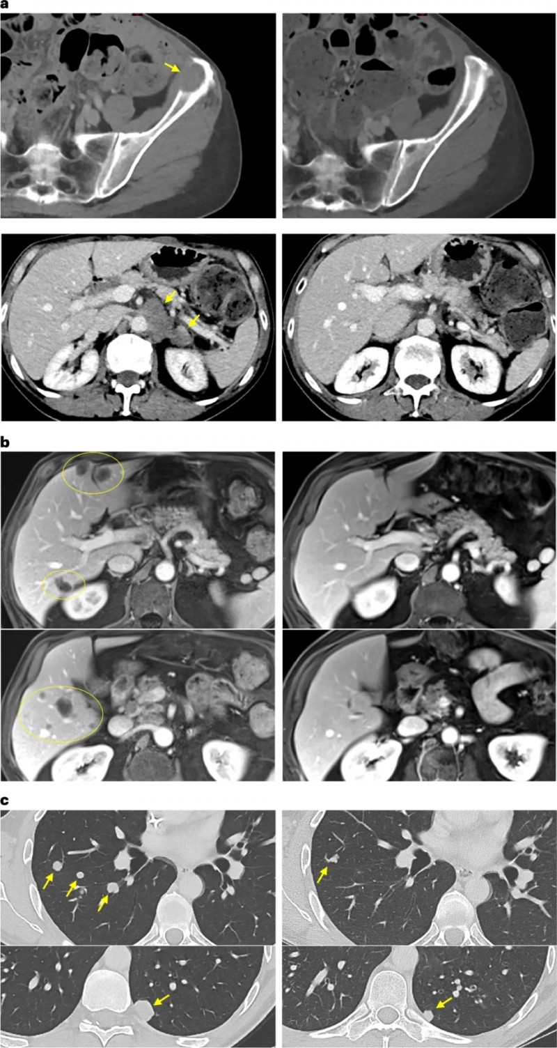
在随访中,有一位患有胰腺癌(被称为癌症之王,致死率极高)且已经转移至肝脏、淋巴结和腹膜的晚期患者。在接受了特定的TIL疗法联合治疗仅仅7个月后,他体内的1个肝转移病灶完全凭空消失,全身整体肿瘤面积大幅缩小了44.1%!

更令人拍案叫绝的是另一位胰腺癌晚期患者,在接受TIL回输后的仅仅6周内,影像学检查震惊了所有的主治医生——他肝脏上密密麻麻的数十个转移瘤,竟然不可思议地全部完全消退!

正如Rosenberg博士兴奋指出的那样:“这是我们首次见证TIL细胞疗法在常见实体癌中的成功应用,这是癌症治疗领域的重大里程碑!我们终于在坚不可摧的实体瘤‘城墙’上砸开了一道裂缝!”
中国力量弯道超车,国研创新疗法带来“免受罪”新希望
看到美国的惊人数据,很多国内的病友可能会感到焦虑:“这么好的技术,难道我们只能望洋兴叹,去美国花天价治病吗?”
答案是:绝对不是!在TIL疗法这条赛道上,中国不仅没有落后,反而在某些关键技术上实现了极其惊艳的“弯道超车”!
过去,传统的TIL疗法虽然效果神奇,但门槛极高。患者在回输细胞前,必须接受高强度的“清淋化疗”(把体内的旧免疫细胞全部杀死腾出空间),回输后还要大剂量注射IL-2(白介素-2)来维持细胞存活。这种操作极易引发严重的毛细血管渗漏综合征、败血症甚至多器官衰竭,许多原本身体就虚弱的晚期患者根本承受不住这种折腾,甚至需要在ICU里抢救。
但如今,这一切正在被中国科学家重写。目前国内已有近20家顶尖生物科技企业在布局TIL疗法,并取得了让世界瞩目的突破。
突破一:全球首款“免清淋、免IL-2”的天然TIL疗法(GC101)
这绝对是中国医学界的一大骄傲。上海某顶尖生物企业成功研发出全球首款无需清淋、无需注射IL-2的创新型TIL疗法——GC101。该技术已获国家药监局批准,正在国内多家权威三甲医院开展临床试验。
这意味着什么?这意味着患者只需要住在普通病房里,像挂吊瓶一样把细胞输进去,就完成了治疗!极大地避免了高风险的副作用,让无数原本身体虚弱、无法耐受猛烈化疗的老年患者和极晚期患者,重新获得了治疗资格。
最新的临床数据显示:针对肺癌、黑色素瘤、宫颈癌等多种晚期实体瘤,GC101的客观缓解率(ORR)超过38%!目前已有4例患者的肿瘤被彻底清除(达到完全缓解CR),最长的一位无瘤生存时间已经超过了2年半!
突破二:宫颈癌等实体瘤的“大杀器”(GT101)
作为我国首个获批临床的TIL细胞药物,GT101在刚刚过去的2024年美国临床肿瘤学会(ASCO)年会上大放异彩。在针对复发或转移性晚期实体瘤的临床试验中,特别是面对难治性宫颈癌,GT101打出了极其亮眼的战绩:在11名极晚期宫颈癌患者中,客观缓解率高达45.5%,而疾病控制率更是达到了恐怖的90.9%!几乎让九成的晚期患者病情得到了实质性的控制。
无论是国际上已经获批上市治疗极晚期黑色素瘤的Lifileucel(其使得近80%极晚期患者肿瘤得到控制,甚至2年后肿瘤持续缩小直至完全消失),还是国内如火如荼的创新研究,TIL疗法已经被证实对结肠癌、胆管癌、乳腺癌、非小细胞肺癌、卵巢癌、头颈部肿瘤等一系列广泛的实体瘤展现出了不可估量的治疗潜力。
如何抓住这根“救命稻草”?绝境之中,请别轻言放弃
从医学的宏观角度来看,TIL疗法的日渐成熟,正在彻底颠覆我们对晚期恶性肿瘤的传统认知。它告诉我们:哪怕到了最后一刻,你自身的免疫系统依然潜藏着足以摧毁癌细胞的巨大能量,缺的只是一次科学的“唤醒”。
很多病友看到这里,内心一定重新燃起了希望的火苗。目前,国内针对多种晚期恶性肿瘤的创新TIL疗法临床试验(如前面提到的GC101、GT101等)正在部分权威三甲医院紧锣密鼓地开展,且许多患者已经通过成功入组,抓住了改变命运的机会。
如果你身边的患者目前符合以下基本条件:
●年龄在18-75周岁之间,身体一般状况较好,无严重的心脑血管等基础疾病;
●确诊为单一恶性实体肿瘤(如恶性黑色素瘤、肺癌、头颈部鳞癌、食管癌、宫颈癌、肠癌等优先);
●经过传统标准治疗(手术、放化疗)后失败,或者目前缺乏有效的常规治疗手段;
●体内至少有2个病灶,且身体条件允许通过微创或小手术提取一小块肿瘤组织。
面对癌症,时间就是生命,信息差往往决定了治疗的结局。对于许多在传统治疗中苦苦挣扎的患者而言,前沿的免疫疗法可能是打破僵局的最后一把钥匙。
如果您在抗癌路上感到迷茫,或是传统方案已经无法控制病情,想要了解自身是否符合上述最前沿的TIL疗法或其他国内外新药的入组条件,可以先将详细的病历资料、近期的影像学检查报告以及病理报告,提交到医学部进行评估。一旦符合临床试验标准,患者将有机会获得这种代表未来医学方向的尖端疗法的免费救治机会!
“癌症”二字固然可怕,但它绝不是生命的终点,而仅仅是一道难关。随着全球科学家前赴后继的攻坚克难,医学的壁垒正在一层层被击穿。保持乐观,相信科学,积极寻找最新的医疗资讯,哪怕身处绝境,也定能搏出一条生机盎然的通途!
扫描进患者病友群
肺癌|胃癌|肝癌|结直肠癌|胰腺癌
乳腺癌|脑瘤|淋巴瘤|儿童肿瘤等
相关推荐
癌症治疗本就不应千篇一律,揭秘mRNA癌
EGFR突变型患者在非小细胞肺癌中约占30%,在欧美患者中约占10%~20%,在亚洲患者中占比超过50%,是非小细胞肺癌的第二大致癌驱动因素。...
全球肿瘤医生网 2020-08-05
“不限癌种”新突破,NTRK基因融合的靶
EGFR突变型患者在非小细胞肺癌中约占30%,在欧美患者中约占10%~20%,在亚洲患者中占比超过50%,是非小细胞肺癌的第二大致癌驱动因素。...
全球肿瘤医生网 2020-08-05
肺癌疫苗重大突破,晚期患者多了一个新的选
EGFR突变型患者在非小细胞肺癌中约占30%,在欧美患者中约占10%~20%,在亚洲患者中占比超过50%,是非小细胞肺癌的第二大致癌驱动因素。...
全球肿瘤医生网 2020-08-05
“手术成功”不等于万事大吉,新型癌症疫苗
EGFR突变型患者在非小细胞肺癌中约占30%,在欧美患者中约占10%~20%,在亚洲患者中占比超过50%,是非小细胞肺癌的第二大致癌驱动因素。...
全球肿瘤医生网 2020-08-05
2026年靶向治疗抗癌风暴,突破困境,普
EGFR突变型患者在非小细胞肺癌中约占30%,在欧美患者中约占10%~20%,在亚洲患者中占比超过50%,是非小细胞肺癌的第二大致癌驱动因素。...
全球肿瘤医生网 2020-08-05
2026年这些肺癌疫苗正悄然改变患者的生
EGFR突变型患者在非小细胞肺癌中约占30%,在欧美患者中约占10%~20%,在亚洲患者中占比超过50%,是非小细胞肺癌的第二大致癌驱动因素。...
全球肿瘤医生网 2020-08-05




![[field:title/]](/uploads/allimg/20200224/1-2002241I5262J.jpg)
![[field:title/]](/uploads/allimg/20200224/1-2002241I3461D.jpg)
![[field:title/]](/uploads/allimg/20200224/1-2002241H94LK.jpg)
![[field:title/]](/uploads/allimg/20200224/1-2002241HKW34.jpg)
![[field:title/]](/uploads/allimg/20200224/1-2002241H619327.jpg)
![[field:title/]](/uploads/allimg/20200224/1-2002241H34H52.jpg)
![[field:title/]](/uploads/allimg/20200224/1-2002241H22IH.jpg)
![[field:title/]](/uploads/allimg/20200224/1-2002241G93O18.jpg)

