总生存期突破418天!抗癌新锐γδT细胞强势对抗非小细胞肺癌
抗癌新锐γδT细胞强势对抗非小细胞肺癌,总生存期突破418天
肺癌在我国居恶性肿瘤发病与死亡之首,严重危害到人民生命健康。在过去十年间,大量分子靶向药物和免疫检查点阻断剂相继投入临床应用,这极大地改写了非小细胞肺癌(NSCLC)的治疗格局,我国肺癌的5年生存率也从16.1%提高到19.7%。然而遗憾的是,并非所有非小细胞肺癌患者都存在药物能够靶向作用的驱动突变,而且免疫检查点阻断疗法的响应率也始终未能达到令人满意的程度。所以,迫切需要寻求新的替代治疗方案或补充治疗手段,而γδT细胞的问世,为这类患者带来了新的希望与选择!
近期,《免疫治疗癌症杂志》发布了一项“应用唑来膦酸扩增的自体Vγ9Vδ2T细胞,治疗非小细胞肺癌(NSCLC)2期临床试验”的振奋数据!

▲截图源自“PMC”
γδ T细胞是什么意思
γδ T细胞是一类天然免疫T细胞,同时也是T淋巴细胞的一个特殊亚群,因其T细胞受体(TCR)中的γ和δ链而得名,处于适应性免疫系统和先天免疫系统之间的过渡状态。
成熟的γδT细胞在皮肤、消化道、呼吸道、生殖道等上皮黏膜组织中含量丰富,而这些部位正是各种实体肿瘤的高发部位。虽然γδT细胞在所有免疫细胞中占比较小,约占人类外周血单核细胞(PBMC)中T细胞的1%~5%。但近年该细胞疗法却在癌症免疫治疗领域引起了广泛关注,原因如下:
1、γδ T细胞是作为先天免疫和适应性免疫之间的管道,可引发强大的抗肿瘤反应,为癌症治疗领域带来了新的希望与选择!
2、γδT细胞可不受主要组织相容性复合体(MHC)限制,直接识别肿瘤相关抗原,实现对肿瘤细胞的快速直接杀伤。
3、γδT细胞具有很强的细胞毒性,可对大多数肿瘤细胞发挥细胞毒作用,同时又有很高的安全性,因此被视为一种很好的癌症替代治疗方法。
4、γδT细胞没有自体限制,可来自健康供体,扩增过程简单,在体外具有强大的杀伤功能,因此,被认为是免疫治疗的最佳候选细胞之一。
自体Vγ9Vδ2T细胞为难治性非小细胞肺癌带来转机,中位总生存期长达418.0天
自体Vγ9Vδ2T细胞治疗,这是一种独特的淋巴细胞群,能够介导机体对各种免疫挑战、传染病以及癌症的反应。

▲图源“J Immunother Cancer”,版权归原作者所有,如无意中侵犯了知识产权,请联系我们删除
《免疫治疗癌症杂志》发布的这项研究,共纳入25例难治性非小细胞肺癌患者(包括20例腺癌、4例鳞状细胞癌、1例大细胞癌),这些患者均接受过至少两种方案的标准化疗(针对无法切除的病症),或者接受过至少一次包括化疗或放疗(针对手术后复发的病症)。全部25例患者入组后,均接受了自体Vγ9Vδ2T细胞治疗,其中16名患者完成了预定的6次培养细胞注射疗程。
结果显示:疾病控制率(DCR)达到68.0%(46.5%–85.1%)。最佳总体缓解率为1例达到部分缓解(PR),16例达到病情稳定(SD)。
此外,全部25例入组患者的中位无进展生存期(PFS)为95.0天(95%CI:73.0~132.0天)(详见下图A)。中位总生存期(OS)为418.0天(95%CI179.0至479.0天)(详见下图B)。


▲图源“J Immunother Cancer”,版权归原作者所有,如无意中侵犯了知识产权,请联系我们删除
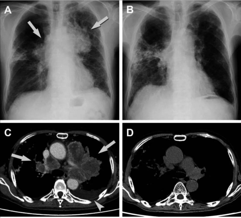
特别值得关注的是一位66岁的男性患者(TU-2844),他患有左上叶原发性肺癌并伴有脑转移,同时还出现了肺炎症状。通过支气管肺活检,结果显示为腺癌;然而在进行脑转移切除术之后,病理诊断却为大细胞神经内分泌癌。尽管对其实施了全脑照射以及CDDP+VP-16全身化疗方案,但患者的病情仍在持续进展。鉴于该患者有间质性肺炎病史,医生为其采用TS-1进行二线化疗,可最终因患者出现腹泻症状而被迫停止。于是,该患者入组接受Vγ9Vδ2T细胞治疗。
在第一次注射Vγ9Vδ2T细胞的5天后,患者出现了低烧、轻微咳嗽以及呼吸困难的症状。CT检查显示出间质性肺炎加重的迹象;对此,医疗团队立即给予患者全身性类固醇和抗生素治疗,患者随后很快康复。在第一次治疗的5周后,患者接受了第二次Vγ9Vδ2T细胞治疗,3天后,发热、咳嗽、呼吸困难等症状再次出现,再次给予全身激素及抗生素治疗,患者症状得以好转。令人惊喜的是,在整个治疗期间,患者肺部肿瘤及淋巴结肿大情况明显缩小(详见下图)。

▲图源“J Immunother Cancer”,版权归原作者所有,如无意中侵犯了知识产权,请联系我们删除
小编寄语
总之,上述研究数据初步显示,Vγ9Vδ2 T 细胞疗法具备良好的耐受性与较高的安全性。即便是在两例肺功能储备低、无法耐受化疗的重度慢性阻塞性肺疾病(COPD)患者身上,该疗法也展现出了这一特性。
作为抗癌领域的新星,γδT细胞因具有强大的肿瘤杀伤活性、独特的肿瘤抗原识别能力、卓越的免疫监视特性、易于体外操作等优势,而成为治疗多种癌症的新型候选细胞。它还可与现有抗癌手段(如手术、化疗和分子靶向药物)“强强联合”,从而改善癌症患者的预后!
如果您对目前的治疗方案不满意,或想寻求γδT细胞等国内外新兴抗癌疗法的帮助,可以将近期病理检查结果、影像学报告、治疗经历、出院小结等资料,提交至全球肿瘤医生网医学部,详细评估病情,或申请国内外抗癌专家会诊。
参考资料
[1]Kakimi K,et al.Adoptive transfer of zoledronate-expanded autologous Vγ9Vδ2 T-cells in patients with treatment-refractory non-small-cell lung cancer: a multicenter, open-label, single-arm, phase 2 study. J Immunother Cancer. 2020 Sep;8(2):e001185.
https://pmc.ncbi.nlm.nih.gov/articles/PMC7511646/
扫描进患者病友群
肺癌|胃癌|肝癌|结直肠癌|胰腺癌
乳腺癌|脑瘤|淋巴瘤|儿童肿瘤等
相关推荐
【胃癌CAR-T细胞疗法】IMC002注
EGFR突变型患者在非小细胞肺癌中约占30%,在欧美患者中约占10%~20%,在亚洲患者中占比超过50%,是非小细胞肺癌的第二大致癌驱动因素。...
全球肿瘤医生网 2020-08-05
晚期肺癌实现完全缓解!2026非小细胞肺
EGFR突变型患者在非小细胞肺癌中约占30%,在欧美患者中约占10%~20%,在亚洲患者中占比超过50%,是非小细胞肺癌的第二大致癌驱动因素。...
全球肿瘤医生网 2020-08-05
【淋巴瘤疫苗招募】WGc-043疫苗剑指
EGFR突变型患者在非小细胞肺癌中约占30%,在欧美患者中约占10%~20%,在亚洲患者中占比超过50%,是非小细胞肺癌的第二大致癌驱动因素。...
全球肿瘤医生网 2020-08-05
4个月婴儿确诊致命脑瘤被判死刑,革命性抗
EGFR突变型患者在非小细胞肺癌中约占30%,在欧美患者中约占10%~20%,在亚洲患者中占比超过50%,是非小细胞肺癌的第二大致癌驱动因素。...
全球肿瘤医生网 2020-08-05
胰腺癌实现完全缓解!2026癌症疫苗,T
EGFR突变型患者在非小细胞肺癌中约占30%,在欧美患者中约占10%~20%,在亚洲患者中占比超过50%,是非小细胞肺癌的第二大致癌驱动因素。...
全球肿瘤医生网 2020-08-05
22款肺癌新药扎堆上市!2026这些基因
EGFR突变型患者在非小细胞肺癌中约占30%,在欧美患者中约占10%~20%,在亚洲患者中占比超过50%,是非小细胞肺癌的第二大致癌驱动因素。...
全球肿瘤医生网 2020-08-05




![[field:title/]](/uploads/allimg/20200224/1-2002241I5262J.jpg)
![[field:title/]](/uploads/allimg/20200224/1-2002241I3461D.jpg)
![[field:title/]](/uploads/allimg/20200224/1-2002241H94LK.jpg)
![[field:title/]](/uploads/allimg/20200224/1-2002241HKW34.jpg)
![[field:title/]](/uploads/allimg/20200224/1-2002241H619327.jpg)
![[field:title/]](/uploads/allimg/20200224/1-2002241H34H52.jpg)
![[field:title/]](/uploads/allimg/20200224/1-2002241H22IH.jpg)
![[field:title/]](/uploads/allimg/20200224/1-2002241G93O18.jpg)

